Anti-CD23 Antibody [FCER2/6887] - BSA and Azide free
Description
Mouse monoclonal [FCER2/6887] antibody to CD23.
Specificity
CD23 (FCE2) is a type II integral membrane glycoprotein that is expressed on mature B cells, monocytes, eosinophils, platelets and dendritic cells. CD23 is a low affinity IgE receptor that mediates IgE-dependent cytotoxicity and phagocytosis by macrophages and eosinophils. CD23 associates as an oligomer where cooperative binding of at least two lectin domains is required for high affinity IgE binding to CD23. It may play a role in antigen presentation by B cells by interacting with CD40. CD23 has been shown to be associated with the Fyn tyrosine kinase. The truncated molecule can be secreted, then function as a potent mitogenic growth factor. CD23 is expressed on a subpopulation of peripheral blood cells, B-lymphocytes and on EBV transformed B lymphoblastoid cell lines. CD23 is also detected in neoplastic cells from cases of B cell chronic lymphocytic leukemia and some cases on centroblastic/centrocytic lymphoma.
Applications
IHC-P
Dilutions
IHC-P: 1-2 µg/ml
Reactivity
Human
Immunogen
Recombinant fragment, around amino acids 48-321, of human CD23 protein. The exact sequence is proprietary.
SDS-PAGE analysis of Anti-CD23 Antibody [FCER2/6887] under non-reduced and reduced conditions; showing intact IgG and intact heavy and light chains, respectively. SDS-PAGE analysis confirms the integrity and purity of the antibody.
Immunohistochemical analysis of formalin-fixed, paraffin-embedded human tonsil using Anti-CD23 Antibody [FCER2/6887] at 2µg/ml in PBS for 30 minutes at room temperature. Inset: PBS instead of the primary antibody. Secondary antibody negative control.
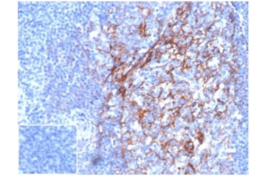
Immunohistochemical analysis of formalin-fixed, paraffin-embedded human lymph node using Anti-CD23 Antibody [FCER2/6887] at 2µg/ml in PBS for 30 minutes at room temperature.
Anti-CD23 Antibody [FCER2/6887] - BSA and Azide free (A278189)
Analysis of protein array containing more than 19,000 full-length human proteins using Anti-CD23 Antibody [FCER2/6887]. Z-Score and S- Score: The Z-score represents the strength of a signal that a monoclonal antibody (MAb) (in combination with a fluorescently-tagged anti-IgG secondary antibody) produces when binding to a particular protein on the HuProtTM array. Z-scores are described in units of standard deviations (SD's) above the mean value of all signals generated on that array. If targets on HuProtTM are arranged in descending order of the Z-score, the S-score is the difference (also in units of SD's) between the Z-score. S-score therefore represents the relative target specificity of a MAb to its intended target; a MAb is considered to be specific to its intended target, if the MAb has an S-score of at least 2.5. For example, if a MAb binds to protein X with a Z-score of 43 and to protein Y with a Z-score of 14, then the S-score for the binding of that MAb to protein X is equal to 29.
Publishing research using Anti-CD23 Antibody [FCER2/6887] - BSA and Azide free (A278189)? Please let us know so that we can list the citation on this page.
Alternative products to Anti-CD23 Antibody [FCER2/6887] - BSA and Azide free (A278189)
Recombinant chimeric monoclonal antibody to CD23 for use as a research grade Gomiliximab biosimilar for ELISA, Flow Cytometry, Functional Studies and in vivo Research.
Recombinant chimeric monoclonal antibody to CD23 for use as a research grade Lumiliximab biosimilar for ELISA, Flow Cytometry, Functional Studies and in vivo Research.
Recombinant chimeric monoclonal antibody to CD23 for use as a research grade Gomiliximab biosimilar for ELISA, Flow Cytometry, Functional Studies and in vivo Research.
Recombinant chimeric monoclonal antibody to CD23 for use as a research grade Lumiliximab biosimilar for ELISA, Flow Cytometry, Functional Studies and in vivo Research.