ISO 9001:2015 Certified
Live Customer Support
4.5/5 on Trustpilot
100% Quality Guarantee

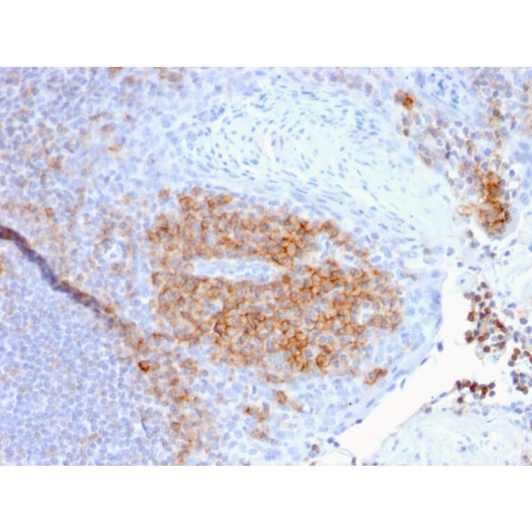
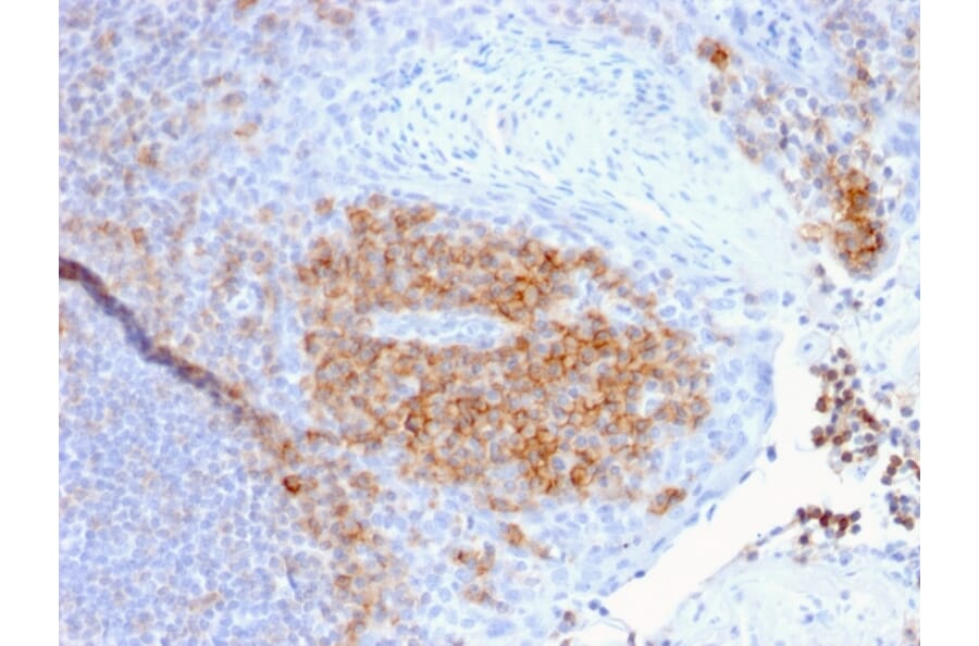
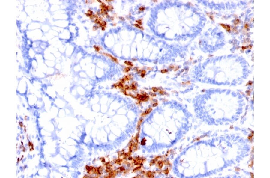
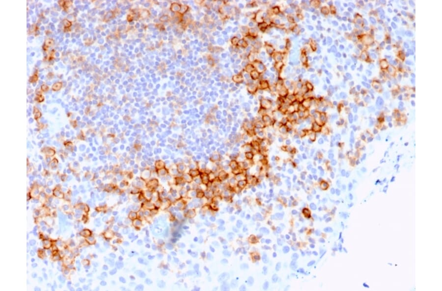
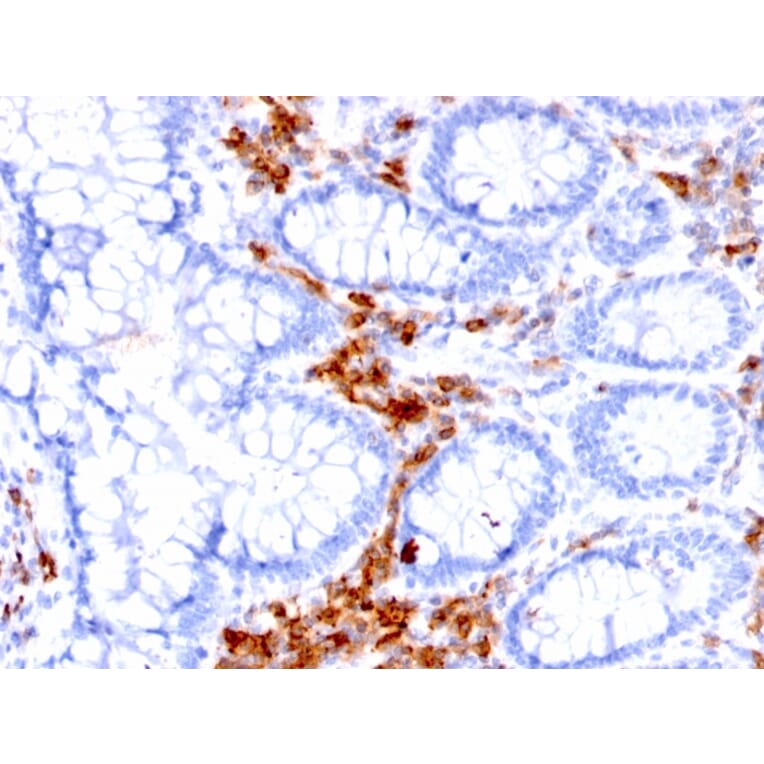
Anti-CD27 Antibody [LPFS2/1611] - BSA and Azide free (A253799)

Mouse monoclonal [LPFS2/1611] antibody to CD27 for ELISA, Flow Cytometry, IF and IHC-P.

Alternative Formats and ConjugatesAlternative Formats

Shipping Information

$40
Dispatched from St. Louis, MO.
Lead Time: 5-8 business days.
Name
Anti-CD27 Antibody [LPFS2/1611] - BSA and Azide free
Description
Mouse monoclonal [LPFS2/1611] antibody to CD27.
Specificity
This antibody recognizes a protein of a disulfide-linked 120kDa dimer, identified as CD27. It is expressed on the majority of peripheral T cells, medullary thymocytes, memory-type B cells, and natural killer cells. It is a transmembrane phosphoglycoprotein that belongs to the tumor necrosis factor receptor (TNFR) superfamily. CD27 binds to its ligand CD70, a member of the TNF family, and induces T-cell co-stimulation and B-cell activation. It also interacts with TRAFs and is involved in activation of NFB and SAPK/JNK and induces apoptosis.
Applications
ELISA, Flow Cytometry, IF, IHC-P
Dilutions
Flow Cytometry: 1-2 µg/million cells, IF: 1-2 µg/ml, IHC-P: 1-2 µg/ml
Reactivity
Human
Immunogen
Recombinant full-length human CD27 protein.
Host
Mouse
Clonality
Monoclonal
Clone ID
LPFS2/1611
Isotype
IgG1
Light Chains
kappa
Conjugate

Unconjugated

Purification
Protein A/G chromatography.
Concentration
1 mg/ml
Molecular Weight
120 kDa
Product Form
Liquid
Formulation
Supplied in 10mM Phosphate Buffered Saline; without Sodium Azide and carrier free.
Storage
Shipped at 4°C. Upon delivery aliquot and store at -20°C. Avoid freeze / thaw cycles.
General Notes
This monoclonal antibody is also available in a different formulation with BSA and Sodium Azide - Anti-CD27 Antibody [LPFS2/1611] (A250619).
Synonyms
CD27 antigen, CD27L receptor, T-cell activation antigen CD27, T14, TNFRSF7, Tumor necrosis factor receptor superfamily member 7
Disclaimer
This product is for research use only. It is not intended for diagnostic or therapeutic use.
Publishing research using Anti-CD27 Antibody [LPFS2/1611] - BSA and Azide free (A253799)? Please let us know so that we can list the citation on this page.

Alternative products to Anti-CD27 Antibody [LPFS2/1611] - BSA and Azide free (A253799)

Proteins predicted to interact with CD27

Predicted protein interactions based upon String database. Revelancy score correlates with probability of interaction.
99.9% Relevancy Score
99.2% Relevancy Score
98.9% Relevancy Score
98.6% Relevancy Score
98.3% Relevancy Score
97.2% Relevancy Score
96.4% Relevancy Score
95.5% Relevancy Score
93.7% Relevancy Score