CD28 expression in Human Tonsil lysate analyzed by western blot. Cells were lysed in RIPA buffer and 35µg protein was run per lane. Primary antibody incubation was performed with Anti-CD28 Antibody (A83546) at 0.3µg/ml and detected by chemiluminescence.
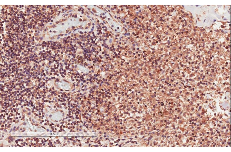
CD28 expression in Human Lymph Node analyzed by immunohistochemistry. Tissue was paraffin-embedded, and antigen retrieval was achieved by microwaving in citrate buffer, pH 6. Staining was performed with Anti-CD28 Antibody (A83546) at 2µg/ml and revealed with horseradish peroxidase (HRP).
Negative control for CD28 expression in Human Lymph Node analyzed by immunohistochemistry. Tissue was paraffin-embedded, and staining procedure was performed in the absence of primary antibody.
Publishing research using Anti-CD28 Antibody (A83546)? Please let us know so that we can list the citation on this page.
Alternative products to Anti-CD28 Antibody (A83546)
Recombinant human monoclonal antibody to CD28 for use as a research grade Anti-Human CD28 [FR-104] b for ELISA, Flow Cytometry, Functional Studies and in vivo Research.
Recombinant chimeric monoclonal antibody to CD28 for use as a research grade Pegrizeprument biosimil for ELISA, Flow Cytometry, Functional Studies and in vivo Research.
Recombinant humanized monoclonal antibody to CD28 for use as a research grade Theralizumab biosimila for ELISA, Flow Cytometry, Functional Studies and in vivo Research.
Recombinant human monoclonal antibody to CD28 for use as a research grade Anti-Human CD28 [FR-104] b for ELISA, Flow Cytometry, Functional Studies and in vivo Research.
Recombinant chimeric monoclonal antibody to CD28 for use as a research grade Pegrizeprument biosimil for ELISA, Flow Cytometry, Functional Studies and in vivo Research.
Recombinant humanized monoclonal antibody to CD28 for use as a research grade Theralizumab biosimila for ELISA, Flow Cytometry, Functional Studies and in vivo Research.