ISO 9001:2015 Certified
Live Customer Support
4.5/5 on Trustpilot
100% Quality Guarantee

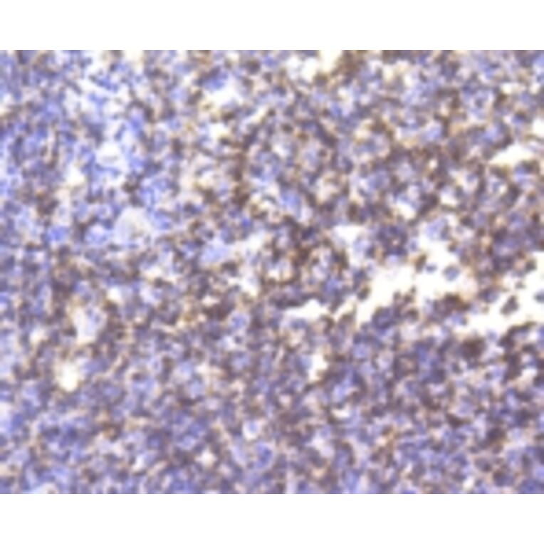
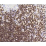
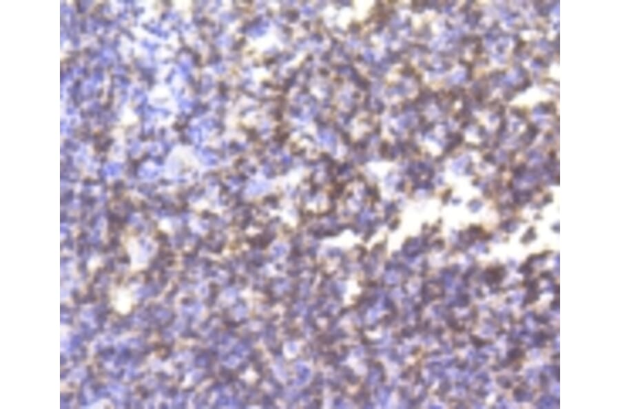
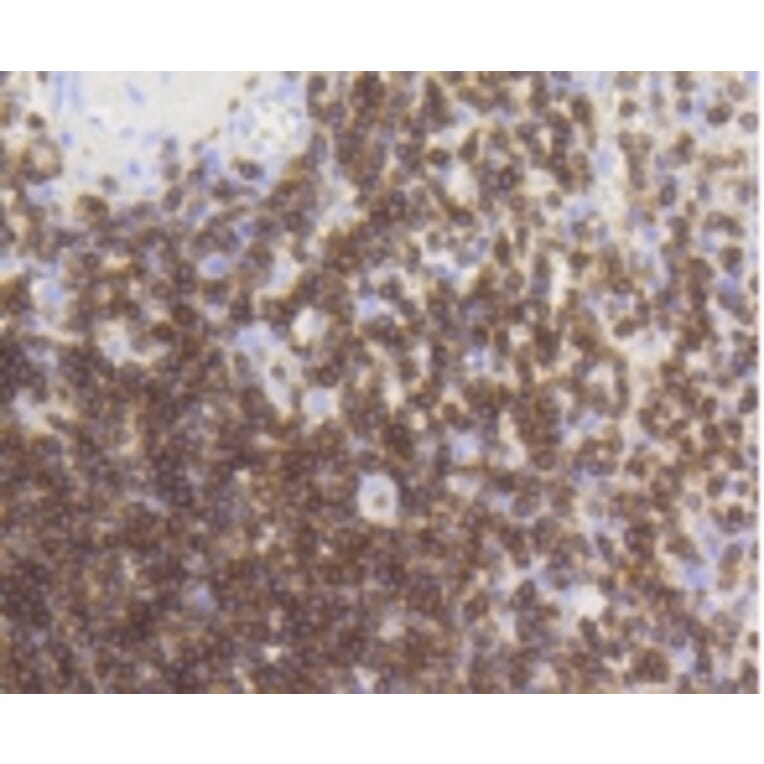
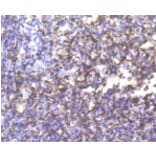
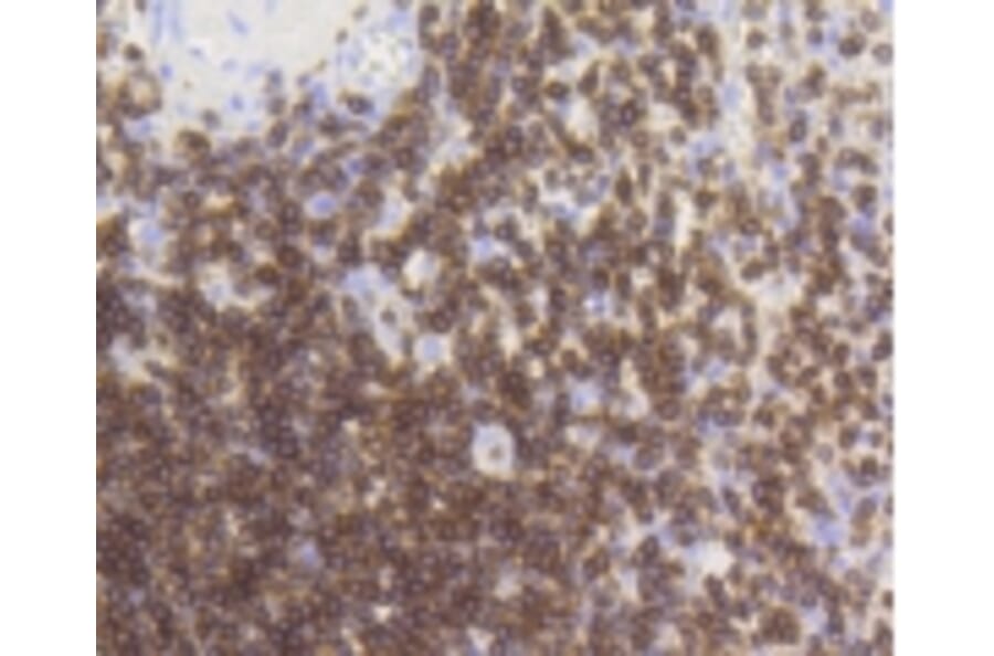
Anti-CD3-ε Antibody (A32358)

This product is discontinued

Anti-CD3-ε Antibody (A32358) has been discontinued and is no longer available.

View all available products.

Name
Anti-CD3-ε Antibody
Description
Rabbit monoclonal antibody to CD3-ε
Specificity
This antibody detects endogenous levels of CD3-ε and does not cross-react with related proteins.
Applications
WB, IHC, FC
Reactivity
Human
Immunogen
Recombinant antibody.
Host
Rabbit
Clonality
Monoclonal
Conjugate

Unconjugated

Molecular Weight
~ 21 kDa
Purity
Protein A affinity purified
Product Form
Recombinant Rabbit Monoclonal Antibody. 1*TBS (pH7.4), 1%BSA, 40%Glycerol. Preservative: 0.05% Sodium Azide.
Disclaimer
This product is for research use only. It is not intended for diagnostic or therapeutic use.