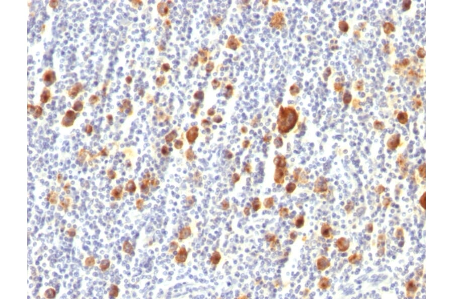
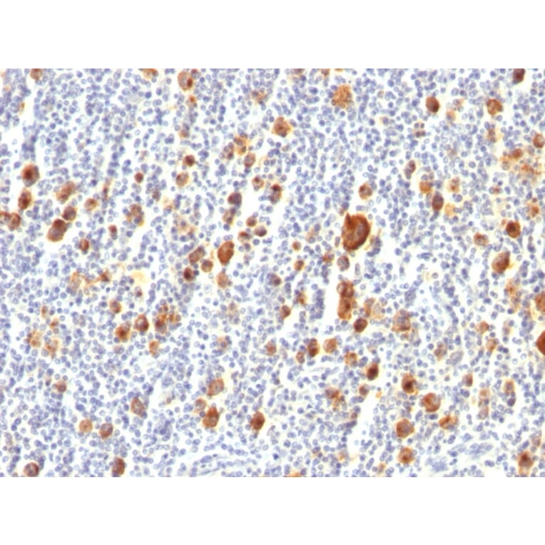
This antibody recognizes a single chain glycoprotein of 105/120kDa, identified as CD30/Ki-1. Its epitope is located between aa112-412. CD30 is synthesized as a 90kDa precursor, which is processed in the Golgi complex into a membrane-bound phosphorylated mature 105/120kDa glycoprotein. In Hodgkins disease, CD30/Ki-1 antigen is expressed by mononuclear-Hodgkin and multinucleated Reed-Sternberg cells. It is also expressed by the tumor cells of a majority of anaplastic large cell lymphomas as well as by a varying proportion of activated T and B cells. This MAb distinguishes large cell lymphomas derived from activated lymphoid cells from histiocytic malignancies and lymphomas derived from resting and precursor lymphoid cells or from anaplastic carcinomas. About one third of the Ki-1 positive lymphomas lack the leukocyte common antigen (CD45).
Applications
IHC-P
Dilutions
IHC-P: 1:50-1:100
Reactivity
Human
Immunogen
Co cell line established from a patient with Hodgkin's disease of T-cell lineage.
Host
Mouse
Clonality
Monoclonal
Clone ID
Ber-H2
Isotype
IgG1
Light Chains
kappa
Conjugate
Unconjugated
Molecular Weight
105-120 kDa
Purity
Tissue culture supernatant.
Product Form
Liquid
Formulation
Supplied as an aliquot of tissue culture supernatant with 0.05% Sodium Azide.
Storage
Shipped at 4°C. Upon delivery aliquot and store at -20°C. Avoid freeze / thaw cycles.
Recombinant human monoclonal antibody to CD30 for use as a research grade Iratumumab biosimilar for ELISA, Flow Cytometry, Functional Studies and in vivo Research.
Recombinant chimeric monoclonal antibody to CD30 for use as a research grade Brentuximab biosimilar for ELISA, Flow Cytometry, Functional Studies and in vivo Research.
Recombinant human monoclonal antibody to CD30 for use as a research grade Anti-Human CD30 [MDX-1401] for ELISA, Flow Cytometry, Functional Studies and in vivo Research.
Recombinant human monoclonal antibody to CD30 for use as a research grade Anti-Human CD30 [SGN-30] b for ELISA, Flow Cytometry, Functional Studies and in vivo Research.
Recombinant human monoclonal antibody to CD30 for use as a research grade Anti-Human CD30 [XmAb 2513 for ELISA, Flow Cytometry, Functional Studies and in vivo Research.
Recombinant human monoclonal antibody to CD30 for use as a research grade Anti-Human CD30 [TUB 010] for ELISA, Flow Cytometry, Functional Studies and in vivo Research.
Recombinant human monoclonal antibody to CD30 for use as a research grade Iratumumab biosimilar for ELISA, Flow Cytometry, Functional Studies and in vivo Research.
Recombinant chimeric monoclonal antibody to CD30 for use as a research grade Brentuximab biosimilar for ELISA, Flow Cytometry, Functional Studies and in vivo Research.
Recombinant human monoclonal antibody to CD30 for use as a research grade Anti-Human CD30 [MDX-1401] for ELISA, Flow Cytometry, Functional Studies and in vivo Research.
Recombinant human monoclonal antibody to CD30 for use as a research grade Anti-Human CD30 [SGN-30] b for ELISA, Flow Cytometry, Functional Studies and in vivo Research.
Recombinant human monoclonal antibody to CD30 for use as a research grade Anti-Human CD30 [XmAb 2513 for ELISA, Flow Cytometry, Functional Studies and in vivo Research.
Recombinant human monoclonal antibody to CD30 for use as a research grade Anti-Human CD30 [TUB 010] for ELISA, Flow Cytometry, Functional Studies and in vivo Research.