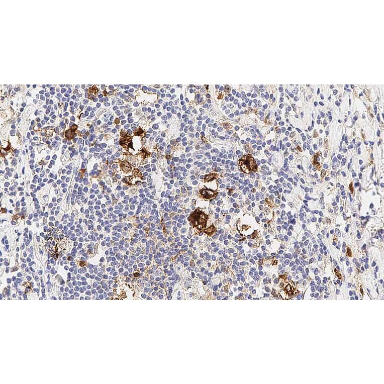
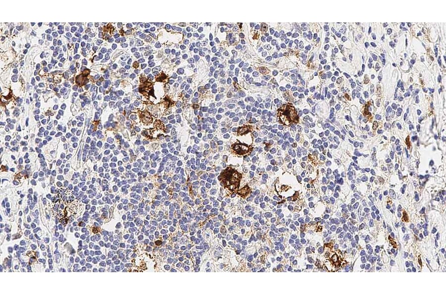
Immunohistochemical analysis of human lymph node, nodular sclerosing Hodgkin's disease tissue using Anti-CD30 Antibody [JCM182] (A320603). Note: Membrane and cytoplasmic staining of the neoplastic cells.
Publishing research using Anti-CD30 Antibody [JCM182] (A320603)? Please let us know so that we can list the citation on this page.
Alternative products to Anti-CD30 Antibody [JCM182] (A320603)
Recombinant human monoclonal antibody to CD30 for use as a research grade Iratumumab biosimilar for ELISA, Flow Cytometry, Functional Studies and in vivo Research.
Recombinant chimeric monoclonal antibody to CD30 for use as a research grade Brentuximab biosimilar for ELISA, Flow Cytometry, Functional Studies and in vivo Research.
Recombinant human monoclonal antibody to CD30 for use as a research grade Anti-Human CD30 [HeFi-1] b for ELISA, Flow Cytometry, Functional Studies and in vivo Research.
Recombinant human monoclonal antibody to CD30 for use as a research grade Anti-Human CD30 [MDX-1401] for ELISA, Flow Cytometry, Functional Studies and in vivo Research.
Recombinant human monoclonal antibody to CD30 for use as a research grade Anti-Human CD30 [SGN-30] b for ELISA, Flow Cytometry, Functional Studies and in vivo Research.
Recombinant human monoclonal antibody to CD30 for use as a research grade Anti-Human CD30 [XmAb 2513 for ELISA, Flow Cytometry, Functional Studies and in vivo Research.
Recombinant human monoclonal antibody to CD30 for use as a research grade Anti-Human CD30 [TUB 010] for ELISA, Flow Cytometry, Functional Studies and in vivo Research.
Recombinant human monoclonal antibody to CD30 for use as a research grade Iratumumab biosimilar for ELISA, Flow Cytometry, Functional Studies and in vivo Research.
Recombinant chimeric monoclonal antibody to CD30 for use as a research grade Brentuximab biosimilar for ELISA, Flow Cytometry, Functional Studies and in vivo Research.
Recombinant human monoclonal antibody to CD30 for use as a research grade Anti-Human CD30 [HeFi-1] b for ELISA, Flow Cytometry, Functional Studies and in vivo Research.
Recombinant human monoclonal antibody to CD30 for use as a research grade Anti-Human CD30 [MDX-1401] for ELISA, Flow Cytometry, Functional Studies and in vivo Research.
Recombinant human monoclonal antibody to CD30 for use as a research grade Anti-Human CD30 [SGN-30] b for ELISA, Flow Cytometry, Functional Studies and in vivo Research.
Recombinant human monoclonal antibody to CD30 for use as a research grade Anti-Human CD30 [XmAb 2513 for ELISA, Flow Cytometry, Functional Studies and in vivo Research.
Recombinant human monoclonal antibody to CD30 for use as a research grade Anti-Human CD30 [TUB 010] for ELISA, Flow Cytometry, Functional Studies and in vivo Research.