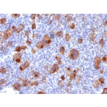
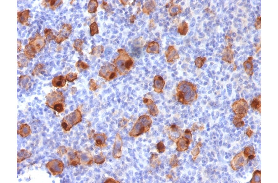
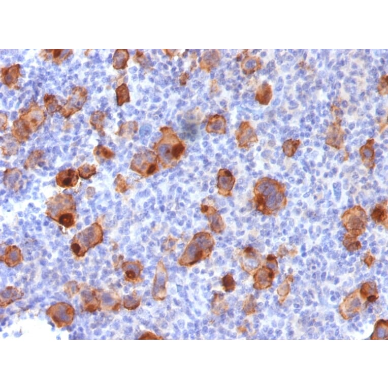
Anti-CD30 Antibody [Ki-1/1747R] - BSA and Azide free
Description
Recombinant rabbit monoclonal [Ki-1/1747R] antibody to CD30.
Specificity
This antibody recognizes a single chain glycoprotein of 105/120kDa, identified as CD30/Ki-1. CD30 is synthesized as a 90kDa precursor, which is processed in the Golgi complex into a membrane-bound phosphorylated mature 105/120kDa glycoprotein. In Hodgkins disease, CD30/Ki-1 antigen is expressed by mononuclear-Hodgkin and multinucleated Reed-Sternberg cells. It is also expressed by the tumor cells of a majority of anaplastic large cell lymphomas as well as by a varying proportion of activated T and B cells. This MAb distinguishes large cell lymphomas derived from activated lymphoid cells from histiocytic malignancies and lymphomas derived from resting and precursor lymphoid cells or from anaplastic carcinomas. About one third of the Ki-1 positive lymphomas lack the leukocyte common antigen (CD45).
Applications
IHC-P
Dilutions
IHC-P: 1-2 µg/ml
Reactivity
Human
Immunogen
Recombinant full-length human CD30 protein.
Host
Rabbit
Clonality
Monoclonal
Clone ID
Ki-1/1747R
Isotype
IgG
Conjugate
Unconjugated
Purification
Protein A chromatography.
Concentration
1 mg/ml
Molecular Weight
105-120 kDa
Product Form
Liquid
Formulation
Supplied in 10mM Phosphate Buffered Saline; without Sodium Azide and carrier free.
Storage
Shipped at 4°C. Upon delivery aliquot and store at -20°C. Avoid freeze / thaw cycles.
SDS-PAGE analysis of Anti-CD30 Antibody [Ki-1/1747R] under non-reduced and reduced conditions; showing intact IgG and intact heavy and light chains, respectively. SDS-PAGE analysis confirms the integrity and purity of the antibody.
Publishing research using Recombinant Anti-CD30 Antibody [Ki-1/1747R] - BSA and Azide free (A253836)? Please let us know so that we can list the citation on this page.
Alternative products to Anti-CD30 Antibody [Ki-1/1747R] - BSA and Azide free (A253836)
Recombinant human monoclonal antibody to CD30 for use as a research grade Iratumumab biosimilar for ELISA, Flow Cytometry, Functional Studies and in vivo Research.
Recombinant chimeric monoclonal antibody to CD30 for use as a research grade Brentuximab biosimilar for ELISA, Flow Cytometry, Functional Studies and in vivo Research.
Recombinant human monoclonal antibody to CD30 for use as a research grade Anti-Human CD30 [HRS3] bio for ELISA, Flow Cytometry, Functional Studies and in vivo Research.
Recombinant human monoclonal antibody to CD30 for use as a research grade Anti-Human CD30 [HeFi-1] b for ELISA, Flow Cytometry, Functional Studies and in vivo Research.
Recombinant human monoclonal antibody to CD30 for use as a research grade Anti-Human CD30 [MDX-1401] for ELISA, Flow Cytometry, Functional Studies and in vivo Research.
Recombinant human monoclonal antibody to CD30 for use as a research grade Anti-Human CD30 [SGN-30] b for ELISA, Flow Cytometry, Functional Studies and in vivo Research.
Recombinant human monoclonal antibody to CD30 for use as a research grade Anti-Human CD30 [XmAb 2513 for ELISA, Flow Cytometry, Functional Studies and in vivo Research.
Recombinant human monoclonal antibody to CD30 for use as a research grade Anti-Human CD30 [TUB 010] for ELISA, Flow Cytometry, Functional Studies and in vivo Research.
Recombinant human monoclonal antibody to CD30 for use as a research grade Iratumumab biosimilar for ELISA, Flow Cytometry, Functional Studies and in vivo Research.
Recombinant chimeric monoclonal antibody to CD30 for use as a research grade Brentuximab biosimilar for ELISA, Flow Cytometry, Functional Studies and in vivo Research.
Recombinant human monoclonal antibody to CD30 for use as a research grade Anti-Human CD30 [HRS3] bio for ELISA, Flow Cytometry, Functional Studies and in vivo Research.
Recombinant human monoclonal antibody to CD30 for use as a research grade Anti-Human CD30 [HeFi-1] b for ELISA, Flow Cytometry, Functional Studies and in vivo Research.
Recombinant human monoclonal antibody to CD30 for use as a research grade Anti-Human CD30 [MDX-1401] for ELISA, Flow Cytometry, Functional Studies and in vivo Research.
Recombinant human monoclonal antibody to CD30 for use as a research grade Anti-Human CD30 [SGN-30] b for ELISA, Flow Cytometry, Functional Studies and in vivo Research.
Recombinant human monoclonal antibody to CD30 for use as a research grade Anti-Human CD30 [XmAb 2513 for ELISA, Flow Cytometry, Functional Studies and in vivo Research.
Recombinant human monoclonal antibody to CD30 for use as a research grade Anti-Human CD30 [TUB 010] for ELISA, Flow Cytometry, Functional Studies and in vivo Research.