Western blot analysis of extracts of various cell lines, using Anti-CD33 Antibody (A13841) at 1:1,000 dilution. The secondary antibody was Goat Anti-Rabbit IgG H&L Antibody (HRP) at 1:10,000 dilution. Lysates/proteins were present at 25µg per lane. The blocking buffer used was 3% non-fat dry milk in TBST. Detection was with a ECL Basic Kit. Exposure time: 3s.
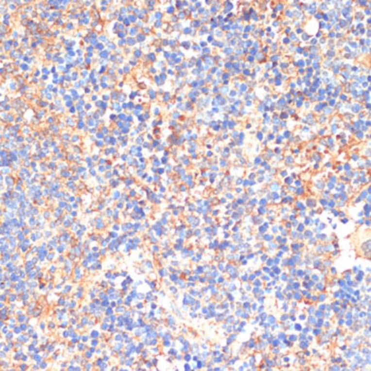
Immunohistochemistry analysis of paraffin-embedded mouse spleen using Anti-CD33 Antibody (A13841) at a dilution of 1:200 (40x lens). Perform microwave antigen retrieval with 10 mM PBS buffer pH 7.2 before commencing with IHC staining protocol.
Immunofluorescence analysis of K-562 cells using Anti-CD33 Antibody (A13841) at a dilution of 1:100 (40x lens). DAPI was used to stain the cell nuclei (blue).
Immunofluorescence analysis of RAW264. 7 cells using Anti-CD33 Antibody (A13841) at a dilution of 1:100 (40x lens). DAPI was used to stain the cell nuclei (blue).
Immunofluorescence analysis of TF-1 cells using Anti-CD33 Antibody (A13841) at a dilution of 1:100 (40x lens). DAPI was used to stain the cell nuclei (blue).
Recombinant humanized monoclonal antibody to CD33 for use as a research grade Gemtuzumab biosimilar for ELISA, Flow Cytometry, Functional Studies and in vivo Research.
Recombinant humanized monoclonal antibody to CD33 for use as a research grade Lintuzumab biosimilar for ELISA, Flow Cytometry, Functional Studies and in vivo Research.
Recombinant human monoclonal antibody to CD33 for use as a research grade Anti-Human CD33 [BI 836858 for ELISA, Flow Cytometry, Functional Studies and in vivo Research.
Recombinant humanized monoclonal antibody to CD33 for use as a research grade Gemtuzumab biosimilar for ELISA, Flow Cytometry, Functional Studies and in vivo Research.
Recombinant humanized monoclonal antibody to CD33 for use as a research grade Lintuzumab biosimilar for ELISA, Flow Cytometry, Functional Studies and in vivo Research.
Recombinant human monoclonal antibody to CD33 for use as a research grade Anti-Human CD33 [BI 836858 for ELISA, Flow Cytometry, Functional Studies and in vivo Research.