ISO 9001:2015 Certified
Live Customer Support
4.5/5 on Trustpilot
100% Quality Guarantee

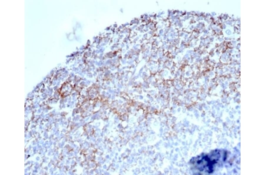
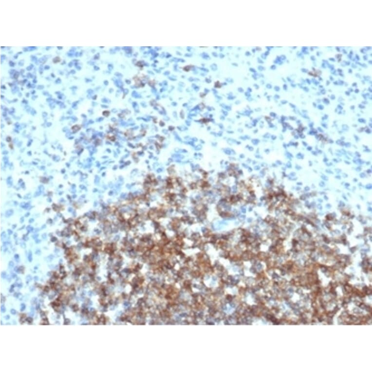
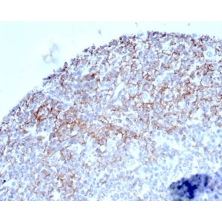
Anti-CD35 Antibody [CR1/6377] - BSA and Azide free (A278151)

Mouse monoclonal [CR1/6377] antibody to CD35 for IHC-P.

Alternative Formats and ConjugatesAlternative Formats

Shipping Information

$40
Dispatched from St. Louis, MO.
Lead Time: 5-8 business days.
Name
Anti-CD35 Antibody [CR1/6377] - BSA and Azide free
Description
Mouse monoclonal [CR1/6377] antibody to CD35.
Specificity
CD35, complement receptor 1, is a cell membrane-bound, monomeric glycoprotein on numerous cell types including erythrocytes, leukocytes, glomerular podocytes, and follicular dendritic cells. The primary function of CD35 is to serve as the cellular receptor for C3b and C4b, the most important components of the complement system leading to clearance of foreign macromolecules.CD35 antigen is found on erythrocytes, B cells, a subset of T cells, monocytes, as well as eosinophils, and neutrophils. Anti-CD35 is considered a mature B-cell marker which labels follicular dendritic reticulum cells and tumors derived from such cells such as follicular dendritic cell tumor/sarcoma.
Applications
IHC-P
Dilutions
IHC-P: 1-2 µg/ml
Reactivity
Human
Immunogen
Recombinant fragment, within amino acids 650-850, of human CD35 protein. The exact sequence is proprietary.
Host
Mouse
Clonality
Monoclonal
Clone ID
CR1/6377
Isotype
IgG1
Light Chains
kappa
Conjugate

Unconjugated

Purification
Protein A/G chromatography.
Concentration
1 mg/ml
Molecular Weight
224 kDa
Product Form
Liquid
Formulation
Supplied in 10mM Phosphate Buffered Saline; without Sodium Azide and carrier free.
Storage
Shipped at 4°C. Upon delivery aliquot and store at -20°C. Avoid freeze / thaw cycles.
General Notes
This monoclonal antibody is also available in a different formulation with BSA and Sodium Azide - Anti-CD35 Antibody [CR1/6377] (A277563).
Synonyms
C3b/C4b receptor, C3BR, Complement receptor type 1, CR1
Disclaimer
This product is for research use only. It is not intended for diagnostic or therapeutic use.
Publishing research using Anti-CD35 Antibody [CR1/6377] - BSA and Azide free (A278151)? Please let us know so that we can list the citation on this page.

Alternative products to Anti-CD35 Antibody [CR1/6377] - BSA and Azide free (A278151)

Proteins predicted to interact with CD35

Predicted protein interactions based upon String database. Revelancy score correlates with probability of interaction.
99.9% Relevancy Score
99.9% Relevancy Score
92.5% Relevancy Score
90.5% Relevancy Score
82.4% Relevancy Score
82% Relevancy Score
80.3% Relevancy Score
79.5% Relevancy Score
79.5% Relevancy Score