ISO 9001:2015 Certified
Live Customer Support
4.5/5 on Trustpilot
100% Quality Guarantee

Anti-CD35 Antibody [To5] - BSA and Azide free (A251442)

Mouse monoclonal [To5] antibody to CD35 for Flow Cytometry, IF and IHC-P.

Alternative Formats and ConjugatesAlternative Formats

Shipping Information

$40
Dispatched from St. Louis, MO.
Lead Time: 5-8 business days.
Name
Anti-CD35 Antibody [To5] - BSA and Azide free
Description
Mouse monoclonal [To5] antibody to CD35.
Specificity
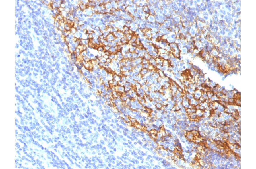
This antibody recognizes a protein of 210-220kDa, which is identified as the complement receptor 1 (CR1)/CD35. This MAb does not block CR1 activity. It is highly specific to CR1 and shows no cross-reaction with CR2. The primary function of CR1 is to serve as the cellular receptor for C3b and C4b, the most important components of the complement system leading to clearance of foreign macromolecules. The Knops blood group system is a system of antigens located on this protein.Follicular dendritic cells (FDC) are restricted to the B-cell regions of secondary lymphoid follicles. They are CD21+/CD35+/CD1a-. This MAb labels follicular dendritic cells and follicular dendritic cell sarcoma.
Applications
Flow Cytometry, IF, IHC-P
Dilutions
Flow Cytometry: 1-2 µg/million cells, IF: 1-2 µg/ml, IHC-P: 1-2 µg/ml
Reactivity
Human
Immunogen
Recombinant human CR1 protein.
Host
Mouse
Clonality
Monoclonal
Clone ID
To5
Isotype
IgG1
Light Chains
kappa
Conjugate

Unconjugated

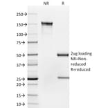
Purification
Protein A/G chromatography.
Concentration
1 mg/ml
Molecular Weight
210-220 kDa
Product Form
Liquid
Formulation
Supplied in 10mM Phosphate Buffered Saline; without Sodium Azide and carrier free.
Storage
Shipped at 4°C. Upon delivery aliquot and store at -20°C. Avoid freeze / thaw cycles.
General Notes
This monoclonal antibody is also available in a different formulation with BSA and Sodium Azide - Anti-CD35 Antibody [To5] (A248260).
Synonyms
C3b/C4b receptor, C3BR, Complement receptor type 1, CR1
Disclaimer
This product is for research use only. It is not intended for diagnostic or therapeutic use.
Publishing research using Anti-CD35 Antibody [To5] - BSA and Azide free (A251442)? Please let us know so that we can list the citation on this page.

Alternative products to Anti-CD35 Antibody [To5] - BSA and Azide free (A251442)

Proteins predicted to interact with CD35

Predicted protein interactions based upon String database. Revelancy score correlates with probability of interaction.
99.9% Relevancy Score
99.9% Relevancy Score
92.5% Relevancy Score
90.5% Relevancy Score
82.4% Relevancy Score
82% Relevancy Score
80.3% Relevancy Score
79.5% Relevancy Score
79.5% Relevancy Score