ISO 9001:2015 Certified
Live Customer Support
4.5/5 on Trustpilot
100% Quality Guarantee

Anti-CD36 Antibody [CD36/7217] - BSA and Azide free (A278442)

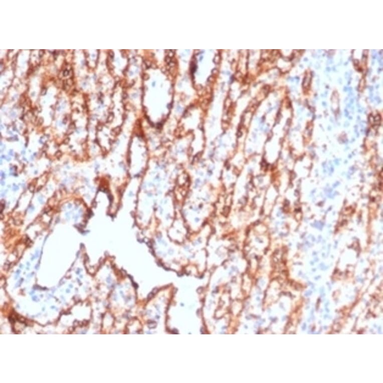
Mouse monoclonal [CD36/7217] antibody to CD36 for Functional Studies, WB and IHC-P.

Alternative Formats and ConjugatesAlternative Formats

Shipping Information

$40
Dispatched from St. Louis, MO.
Lead Time: 5-8 business days.
Name
Anti-CD36 Antibody [CD36/7217] - BSA and Azide free
Description
Mouse monoclonal [CD36/7217] antibody to CD36.
Specificity
This antibody recognizes a protein of 80kDa-90kDa, identified as CD36. It is expressed on platelets, monocytes and macrophages, microvascular endothelial cells, erythrocyte precursors, mammary epithelial cells, and some macrophage derived dendritic cells. CD36 acts as a receptor for thrombospondin (TSP), collagen types I, IV and V, P. falciparum malaria-infected erythrocytes, and sickle erythrocytes. It also functions as a scavenger receptor, mediating macrophage uptake of oxidized low-density lipoprotein (LDL) and recognition of apoptotic polymorphonuclear leukocytes (PMN). CD36 plays a role in platelet aggregation, macrophage foam cell development, inflammation, and the tissue ischemia observed in sickle cell disease and cerebral malaria. Note that 1-4% of Japanese and East Asia population lack CD36.
Applications
Functional Studies, WB, IHC-P
Dilutions
WB: 1-2 µg/ml, IHC-P: 1-2 µg/ml
Reactivity
Human
Immunogen
Recombinant full-length human CD36 protein.
Host
Mouse
Clonality
Monoclonal
Clone ID
CD36/7217
Isotype
IgG2c
Light Chains
kappa
Conjugate

Unconjugated

Purification
Protein A/G chromatography.
Concentration
1 mg/ml
Molecular Weight
80-90 kDa
Product Form
Liquid
Formulation
Supplied in 10mM Phosphate Buffered Saline; without Sodium Azide and carrier free.
Storage
Shipped at 4°C. Upon delivery aliquot and store at -20°C. Avoid freeze / thaw cycles.
General Notes
This monoclonal antibody is also available in a different formulation with BSA and Sodium Azide - Anti-CD36 Antibody [CD36/7217] (A277854).
Synonyms
FAT, Fatty acid translocase, Glycoprotein IIIb, GP3B, GP4, GPIIIB, Leukocyte differentiation antigen CD36, PAS IV, PAS-4, Platelet glycoprotein 4
Disclaimer
This product is for research use only. It is not intended for diagnostic or therapeutic use.
Publishing research using Anti-CD36 Antibody [CD36/7217] - BSA and Azide free (A278442)? Please let us know so that we can list the citation on this page.

Alternative products to Anti-CD36 Antibody [CD36/7217] - BSA and Azide free (A278442)

Proteins predicted to interact with CD36

Predicted protein interactions based upon String database. Revelancy score correlates with probability of interaction.
99.9% Relevancy Score
99.8% Relevancy Score
99.8% Relevancy Score
99.7% Relevancy Score
99.5% Relevancy Score
99.4% Relevancy Score
99.1% Relevancy Score
98.7% Relevancy Score
98.3% Relevancy Score