ISO 9001:2015 Certified
Live Customer Support
4.5/5 on Trustpilot
100% Quality Guarantee

Recombinant Anti-CD43 Antibody [rSPN/6563] - BSA and Azide free (A278511)

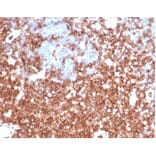
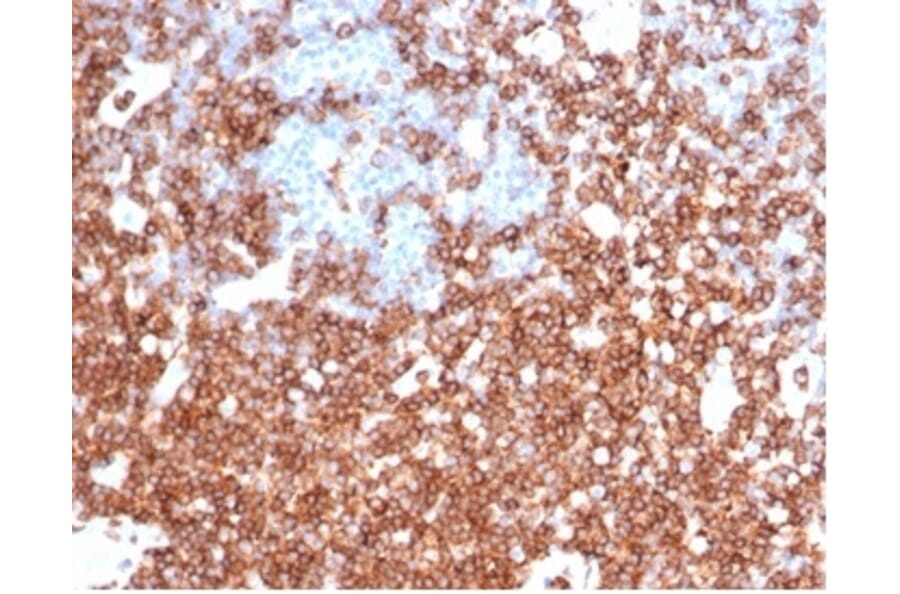
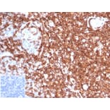
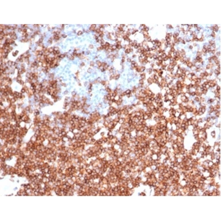
Recombinant mouse monoclonal [rSPN/6563] antibody to CD43 for IHC-P.

Alternative Formats and ConjugatesAlternative Formats

Shipping Information

$40
Dispatched from St. Louis, MO.
Lead Time: 5-8 business days.
Name
Anti-CD43 Antibody [rSPN/6563] - BSA and Azide free
Description
Recombinant mouse monoclonal [rSPN/6563] antibody to CD43.
Specificity
It recognizes a cell surface glycoprotein of 95/115/135kDa (depending upon the extent of glycosylation), identified as CD43 [Workshop IV]. 70-90% of T-cell lymphomas and from 22-37% of B-cell lymphomas express CD43. No reactivity has been observed with reactive B-cells. So a B-lineage population that co-expresses CD43 is highly likely to be a malignant lymphoma, especially a low-grade lymphoma, rather than a reactive B-cell population. When CD43 antibody is used in combination with anti-CD20, effective immunophenotyping of the lymphomas in formalin-fixed tissues can be obtained. Co-staining of a lymphoid infiltrate with anti-CD20 and anti-CD43 argues against a reactive process and favors a diagnosis of lymphoma.
Applications
IHC-P
Dilutions
IHC-P: 1-2 µg/ml
Reactivity
Human
Immunogen
Recombinant full-length human CD43 protein.
Host
Mouse
Clonality
Monoclonal
Clone ID
rSPN/6563
Isotype
IgG1
Light Chains
kappa
Conjugate

Unconjugated

Purification
Protein A/G chromatography.
Concentration
1 mg/ml
Molecular Weight
95 kDa / 115 kDa / 135 kDa
Product Form
Liquid
Formulation
Supplied in 10mM Phosphate Buffered Saline; without Sodium Azide and carrier free.
Storage
Shipped at 4°C. Upon delivery aliquot and store at -20°C. Avoid freeze / thaw cycles.
General Notes
This monoclonal antibody is also available in a different formulation with BSA and Sodium Azide - Anti-CD43 Antibody [rSPN/6563] (A277923).
Synonyms
Galactoglycoprotein, GALGP, GPL115, Leukocyte sialoglycoprotein, Leukosialin, Sialophorin, SPN
Disclaimer
This product is for research use only. It is not intended for diagnostic or therapeutic use.
Publishing research using Recombinant Anti-CD43 Antibody [rSPN/6563] - BSA and Azide free (A278511)? Please let us know so that we can list the citation on this page.

Alternative products to Anti-CD43 Antibody [rSPN/6563] - BSA and Azide free (A278511)

Proteins predicted to interact with CD43

Predicted protein interactions based upon String database. Revelancy score correlates with probability of interaction.
99.5% Relevancy Score
99.3% Relevancy Score
99% Relevancy Score
98.8% Relevancy Score
97.7% Relevancy Score
97.4% Relevancy Score
97.2% Relevancy Score
97% Relevancy Score
95.3% Relevancy Score