ISO 9001:2015 Certified
Live Customer Support
4.5/5 on Trustpilot
100% Quality Guarantee

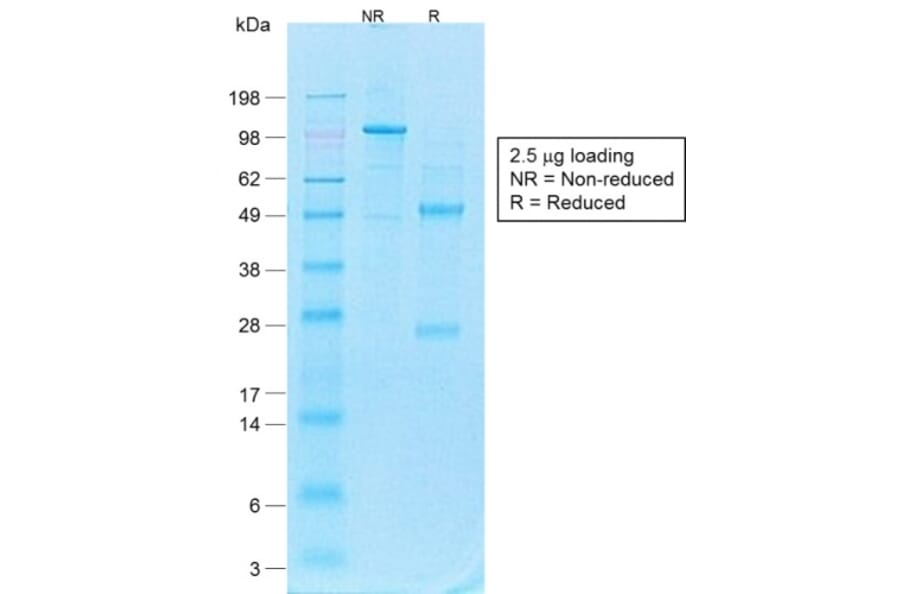
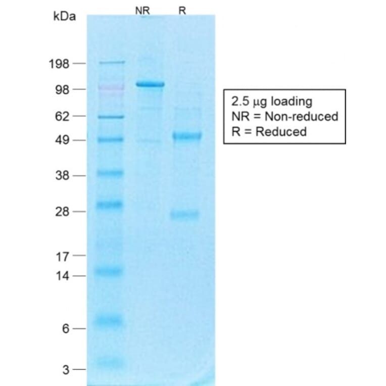
Recombinant Anti-CD44v4 Antibody [CD44v4/1700R] - BSA and Azide free (A253902)

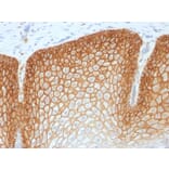
Recombinant rabbit monoclonal [CD44v4/1700R] antibody to CD44v4 for IHC-P.

Alternative Formats and ConjugatesAlternative Formats

Shipping Information

$40
Dispatched from St. Louis, MO.
Lead Time: 5-8 business days.
Name
Anti-CD44v4 Antibody [CD44v4/1700R] - BSA and Azide free
Description
Recombinant rabbit monoclonal [CD44v4/1700R] antibody to CD44v4.
Specificity
This antibody recognizes an epitope encoded by exon v4 on the variant portion of human CD44. The CD44 molecule belongs to a family of cellular adhesion molecules found on a wide range of normal and malignant cells in epithelial, mesothelial and hemopoiesis tissues. CD44 is a single gene with 20 exons, of which 10 are normally expressed to encode the basic CD44 (H-CAM) molecule. The additional 10 exons (v1 to v10) are only expressed by alternative splicing of the nuclear RNA.The expression of specific cell adhesion molecule CD44 splice variants has been reported to be associated with metastasis in certain human malignancies.
Applications
IHC-P
Dilutions
IHC-P: 1-2 µg/ml
Reactivity
Human
Immunogen
Recombinant fragment corresponding to the v4 domain of human CD44.
Host
Rabbit
Clonality
Monoclonal
Clone ID
CD44v4/1700R
Isotype
IgG
Conjugate

Unconjugated

Purification
Protein A chromatography.
Concentration
1 mg/ml
Molecular Weight
80-95 kDa
Product Form
Liquid
Formulation
Supplied in 10mM Phosphate Buffered Saline; without Sodium Azide and carrier free.
Storage
Shipped at 4°C. Upon delivery aliquot and store at -20°C. Avoid freeze / thaw cycles.
General Notes
This monoclonal antibody is also available in a different formulation with BSA and Sodium Azide - Anti-CD44v4 Antibody [CD44v4/1700R] (A250722).
Disclaimer
This product is for research use only. It is not intended for diagnostic or therapeutic use.
Publishing research using Recombinant Anti-CD44v4 Antibody [CD44v4/1700R] - BSA and Azide free (A253902)? Please let us know so that we can list the citation on this page.

Alternative products to Anti-CD44v4 Antibody [CD44v4/1700R] - BSA and Azide free (A253902)