Anti-CD47 Antibody [CD47/2937] - BSA and Azide free
Description
Mouse monoclonal [CD47/2937] antibody to CD47.
Specificity
This antibody reacts with Ig domain of CD47 protein. CD47, originally named integrin-associated protein (IAP), is a 50kDa protein containing five membrane-spanning sequences and a short cytoplasmic tail. CD47 plays a role in both cell adhesion by acting as an adhesion receptor for THBS1 on platelets, and in the modulation of integrins. It is important in memory formation and synaptic plasticity in the hippocampus. CD47 may play a role in membrane transport and/or integrin dependent signal transduction.
Applications
ELISA, WB, IHC-P
Dilutions
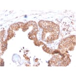
WB: 1-2 µg/ml, IHC-P: 1-2 µg/ml
Reactivity
Human
Immunogen
Recombinant fragment, within amino acids 18-135, of human CD47 protein. The exact sequence is proprietary.
Host
Mouse
Clonality
Monoclonal
Clone ID
CD47/2937
Isotype
IgG2c
Light Chains
kappa
Conjugate
Unconjugated
Purification
Protein A/G chromatography.
Concentration
1 mg/ml
Molecular Weight
~50 kDa
Product Form
Liquid
Formulation
Supplied in 10mM Phosphate Buffered Saline; without Sodium Azide and carrier free.
Storage
Shipped at 4°C. Upon delivery aliquot and store at -20°C. Avoid freeze / thaw cycles.
SDS-PAGE analysis of Anti-CD47 Antibody [CD47/2937] under non-reduced and reduced conditions; showing intact IgG and intact heavy and light chains, respectively. SDS-PAGE analysis confirms the integrity and purity of the antibody.
Anti-CD47 Antibody [CD47/2937] - BSA and Azide free (A253911)
Analysis of protein array containing more than 19,000 full-length human proteins using Anti-CD47 Antibody [CD47/2937]. Z-Score and S- Score: The Z-score represents the strength of a signal that a monoclonal antibody (MAb) (in combination with a fluorescently-tagged anti-IgG secondary antibody) produces when binding to a particular protein on the HuProtTM array. Z-scores are described in units of standard deviations (SD's) above the mean value of all signals generated on that array. If targets on HuProtTM are arranged in descending order of the Z-score, the S-score is the difference (also in units of SD's) between the Z-score. S-score therefore represents the relative target specificity of a MAb to its intended target; a MAb is considered to be specific to its intended target, if the MAb has an S-score of at least 2.5. For example, if a MAb binds to protein X with a Z-score of 43 and to protein Y with a Z-score of 14, then the S-score for the binding of that MAb to protein X is equal to 29.
Publishing research using Anti-CD47 Antibody [CD47/2937] - BSA and Azide free (A253911)? Please let us know so that we can list the citation on this page.
Alternative products to Anti-CD47 Antibody [CD47/2937] - BSA and Azide free (A253911)