Western blot analysis of extracts of Mouse bone marrow, using Anti-CD52 Antibody (A93046) at 1:300 dilution. The secondary antibody was Goat Anti-Rabbit IgG H&L Antibody (HRP) at 1:10,000 dilution. Lysates/proteins were present at 25µg per lane. The blocking buffer used was 3% non-fat dry milk in TBST. Detection was with a ECL Enhanced Kit. Exposure time: 90s.
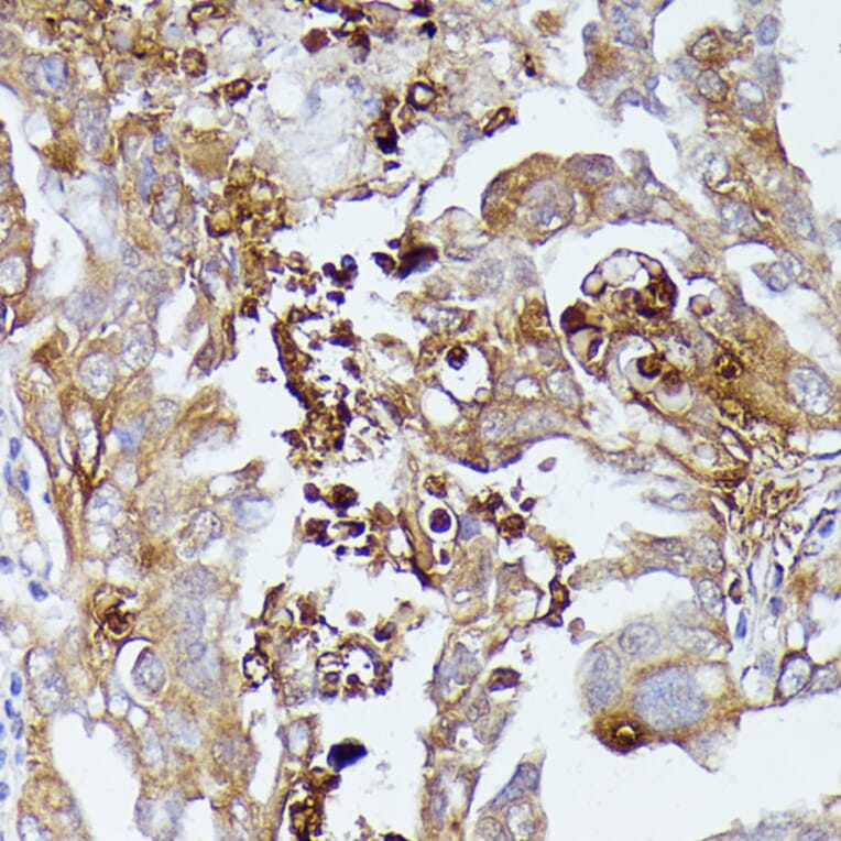
Immunohistochemistry analysis of paraffin-embedded human lung cancer using Anti-CD52 Antibody (A93046) at a dilution of 1:100 (40x lens). Perform microwave antigen retrieval with 10 mM PBS buffer pH 7.2 before commencing with IHC staining protocol.
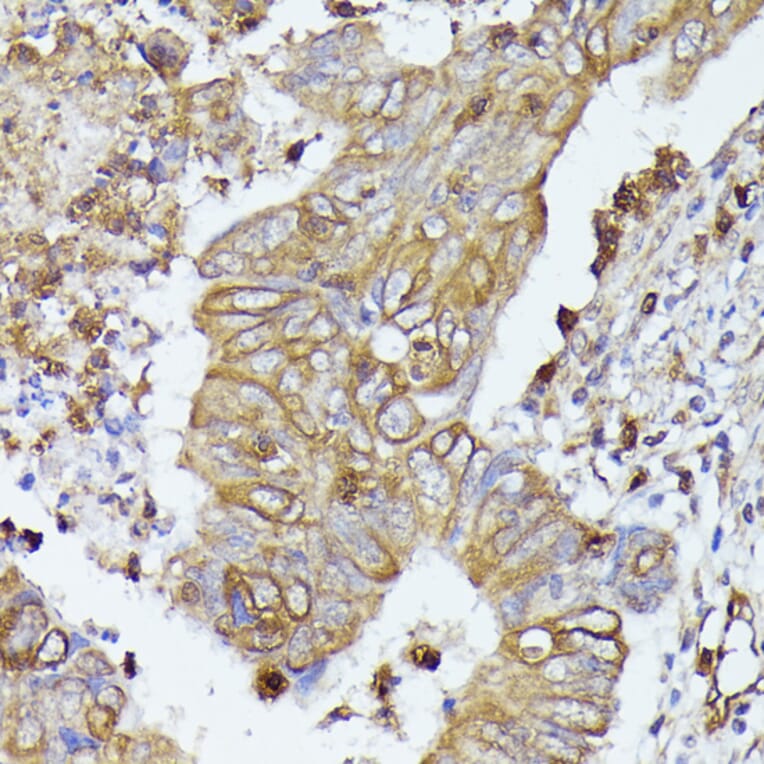
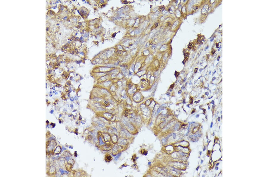
Immunohistochemistry analysis of paraffin-embedded human colon carcinoma tissue using Anti-CD52 Antibody (A93046) at a dilution of 1:100 (40x lens). Perform microwave antigen retrieval with 10 mM PBS buffer pH 7.2 before commencing with IHC staining protocol.
Publishing research using Anti-CD52 Antibody (A93046)? Please let us know so that we can list the citation on this page.
Alternative products to Anti-CD52 Antibody (A93046)
Recombinant humanized monoclonal antibody to CD52 for use as a research grade Alemtuzumab biosimilar for ELISA, Flow Cytometry, Functional Studies and in vivo Research.
Recombinant humanized monoclonal antibody to CD52 for use as a research grade Gatralimab biosimilar for ELISA, Flow Cytometry, Functional Studies and in vivo Research.
Recombinant caninized monoclonal antibody to CD52 for use as a research grade Tamtuvetmab biosimilar for ELISA, Flow Cytometry, Functional Studies and in vivo Research.
Recombinant human monoclonal antibody to CD52 for use as a research grade Anti-Human CD52 [ALLO-647] for ELISA, Flow Cytometry, Functional Studies and in vivo Research.
Recombinant humanized monoclonal antibody to CD52 for use as a research grade Alemtuzumab biosimilar for ELISA, Flow Cytometry, Functional Studies and in vivo Research.
Recombinant humanized monoclonal antibody to CD52 for use as a research grade Gatralimab biosimilar for ELISA, Flow Cytometry, Functional Studies and in vivo Research.
Recombinant caninized monoclonal antibody to CD52 for use as a research grade Tamtuvetmab biosimilar for ELISA, Flow Cytometry, Functional Studies and in vivo Research.
Recombinant human monoclonal antibody to CD52 for use as a research grade Anti-Human CD52 [ALLO-647] for ELISA, Flow Cytometry, Functional Studies and in vivo Research.