Western Blot - Anti-CD63 Antibody [ARC51703] (A305333)
Western blot analysis of A375, using Anti-CD63 Antibody [ARC51703] (A305333) at 1:1,000 dilution. The secondary antibody was Goat Anti-Rabbit IgG H&L Antibody (HRP) at 1:10,000 dilution. Lysates/proteins were present at 25µg per lane. The blocking buffer used was 3% non-fat dry milk in TBST. Detection was with a ECL Basic Kit. Exposure time: 30s.
Western Blot - Anti-CD63 Antibody [ARC51703] (A305333)
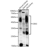
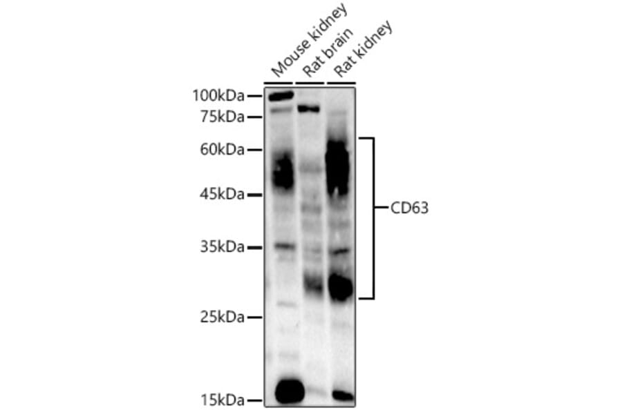
Western blot analysis of various lysates, using Anti-CD63 Antibody [ARC51703] (A305333) at 1:1,000 dilution. The secondary antibody was Goat Anti-Rabbit IgG H&L Antibody (HRP) at 1:10,000 dilution. Lysates/proteins were present at 25µg per lane. The blocking buffer used was 3% non-fat dry milk in TBST. Detection was with a ECL Enhanced Kit (RM00021). Exposure time: 90s.
Western Blot - Anti-CD63 Antibody [ARC51703] (A305333)
Western blot analysis of extracts from wild type(WT) and CD63 knockout (KO) 293T cells, using Anti-CD63 Antibody [ARC51703] (A305333) at 1:500 dilution. The secondary antibody was Goat Anti-Rabbit IgG H&L Antibody (HRP) at 1:10,000 dilution. Lysates/proteins were present at 25µg per lane. The blocking buffer used was 3% non-fat dry milk in TBST. Detection was with a ECL Basic Kit. Exposure time: 180s.
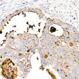
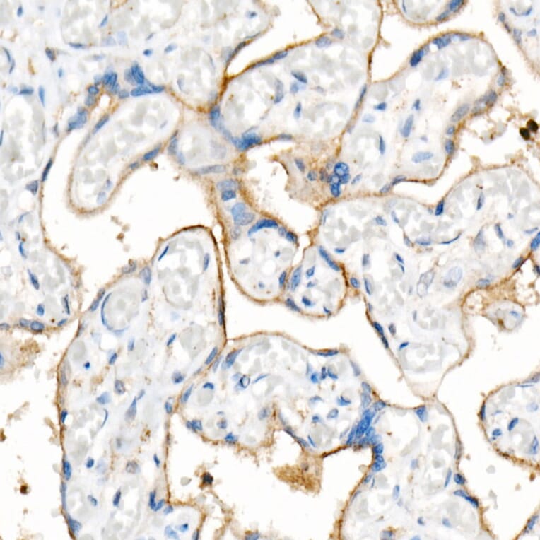
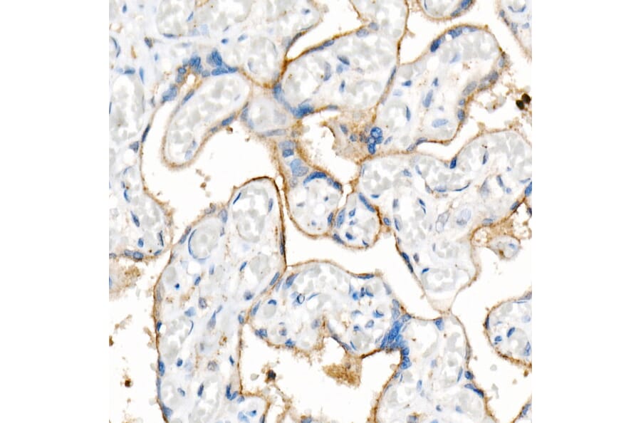
Immunohistochemistry analysis of paraffin-embedded human placenta using Anti-CD63 Antibody [ARC51703] (A305333) at a dilution of 1:200 (40x lens). Perform high pressure antigen retrieval with 10 mM citrate buffer pH 6.0 before commencing with IHC staining protocol.
Immunohistochemistry analysis of paraffin-embedded rat lung using Anti-CD63 Antibody [ARC51703] (A305333) at a dilution of 1:200 (40x lens). Perform high pressure antigen retrieval with 10 mM citrate buffer pH 6.0 before commencing with IHC staining protocol.
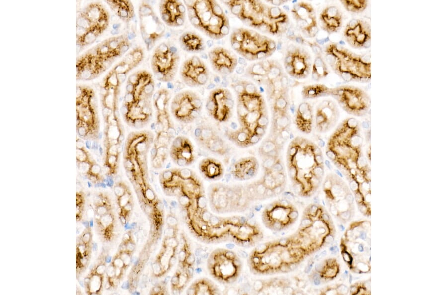
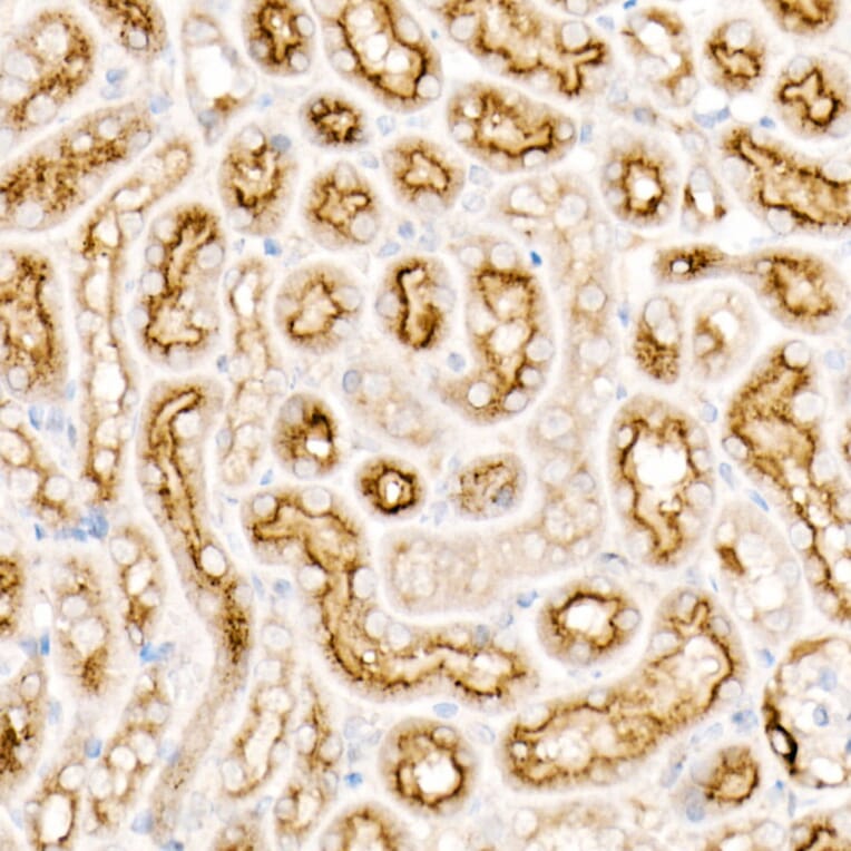
Immunohistochemistry analysis of paraffin-embedded mouse kidney using Anti-CD63 Antibody [ARC51703] (A305333) at a dilution of 1:200 (40x lens). Perform high pressure antigen retrieval with 10 mM citrate buffer pH 6.0 before commencing with IHC staining protocol.
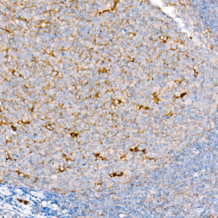
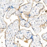
Immunohistochemistry analysis of paraffin-embedded human tonsil using Anti-CD63 Antibody [ARC51703] (A305333) at a dilution of 1:200 (40x lens). Perform high pressure antigen retrieval with 10 mM citrate buffer pH 6.0 before commencing with IHC staining protocol.