ISO 9001:2015 Certified
Live Customer Support
4.5/5 on Trustpilot
100% Quality Guarantee

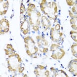
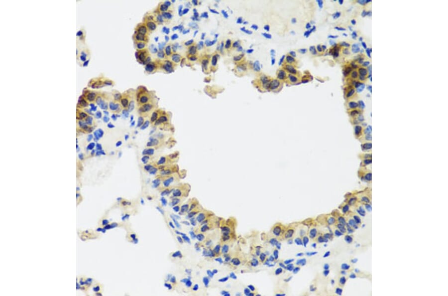
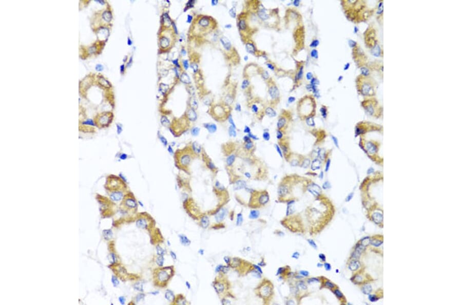
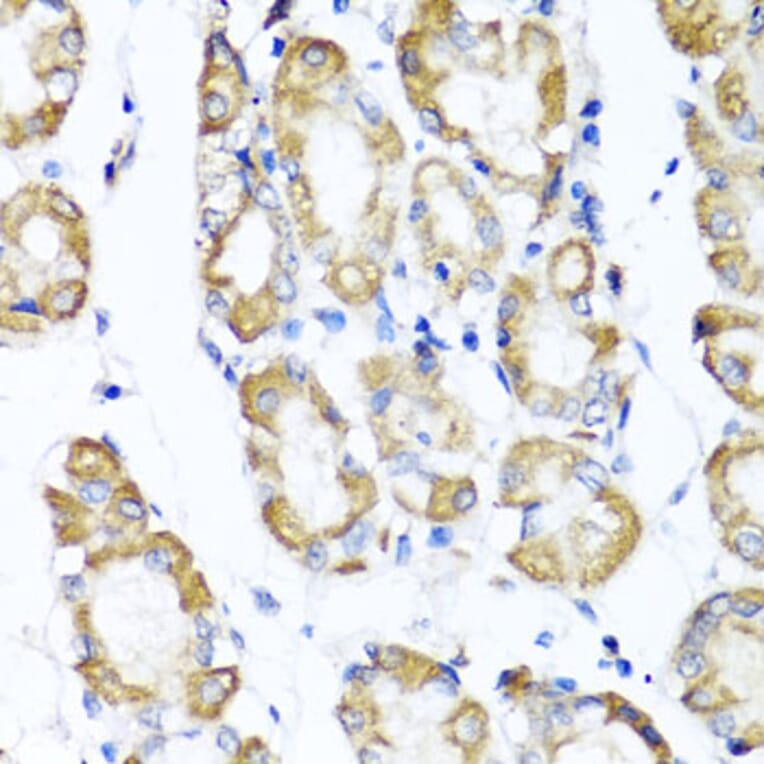
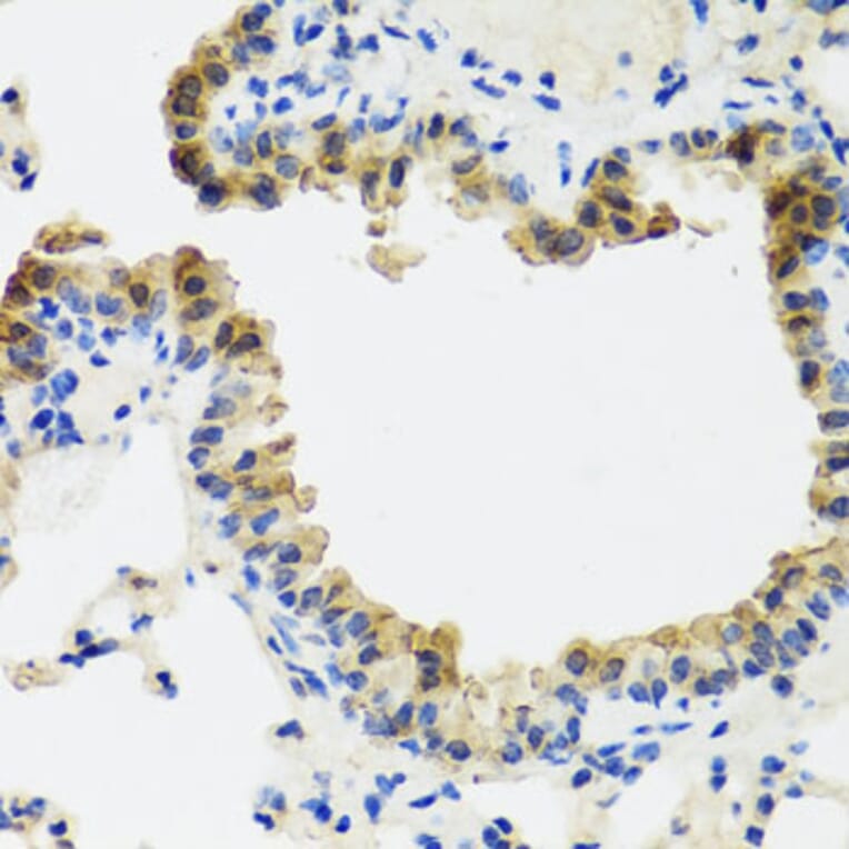
Anti-CD75 Antibody (A14952)

Rabbit polyclonal antibody to CD75 for WB, IHC and ICC/IF.

Shipping Information

$40
Dispatched from St. Louis, MO.
Lead Time: 7-10 business days.
Name
Anti-CD75 Antibody
Description
Rabbit polyclonal antibody to CD75.
Applications
WB, IHC, ICC/IF
Dilutions
WB: 1:500-1:2,000, IHC: 1:50-1:100, ICC/IF: 1:50-1:100
Reactivity
Human, Mouse, Rat
Immunogen
Recombinant fusion protein containing a sequence corresponding to amino acids 27-200 of human ST6GAL1 (NP_775323.1).
Sequence
KEKKKGSYYDSFKLQTKEFQVLKSLGKLAMGSDSQSVSSSSTQDPHRGRQTLGSLRGLAKAKPEASFQVWNKDSSSKNLIPRLQKIWKNYLSMNKYKVSYKGPGPGIKFSAEALRCHLRDHVNVSMVEVTDFPFNTSEWEGYLPKESIRTKAGPWGRCAVVSSAGSLKSSQLGR
Host
Rabbit
Clonality
Polyclonal
Isotype
IgG
Conjugate

Unconjugated

Purification
Affinity purification.
Concentration
Lot Specific
Molecular Weight
50 - 70 kDa
Product Form
Liquid
Formulation
Supplied in Phosphate Buffered Saline, pH 7.3, with 50% Glycerol and 0.02% Sodium Azide.
Storage
Shipped at 4°C. Upon delivery aliquot and store at -20°C. Avoid freeze/thaw cycles.
Synonyms
6 sialyltransferase, 6-sialyltransferase 1, 6-ST 1, Alpha 2, Alpha 2,6 ST, Alpha 2,6 ST 1, B cell antigen CD75, B-cell antigen CD75, Beta galactoside alpha 2,6 sialyltransferase 1, Beta-galactoside alpha-2, CMP N acetylneuraminate beta galactosamide alpha 2,6 sialyltransferase 1, CMP-N-acetylneuraminate-beta-galactosamide-alpha-2, MGC48859, Sialyltransferase 1, Sialyltransferase 1 (beta galactoside alpha 2,6 sialyltransferase), SIAT1, SIAT1_HUMAN, ST6 beta galactosamide alpha 2,6 sialyltranferase 1, ST6Gal I, ST6GAL1, ST6GalI, ST6N
Disclaimer
This product is for research use only. It is not intended for diagnostic or therapeutic use.
Publishing research using Anti-CD75 Antibody (A14952)? Please let us know so that we can list the citation on this page.

Alternative products to Anti-CD75 Antibody (A14952)