Anti-CD86 Antibody [C86/1146] - BSA and Azide free
Description
Mouse monoclonal [C86/1146] antibody to CD86.
Specificity
This antibody recognizes a protein of 70kDa, which is identified as CD86. CD86 is a type I transmembrane glycoprotein and a member of the immunoglobulin superfamily of cell surface receptors. It is expressed at high levels on resting peripheral monocytes and dendritic cells and at very low density on resting B and T lymphocytes. CD86 expression is rapidly upregulated by B cell specific stimuli with peak expression at 18 to 42 hours after stimulation. CD86, along with CD80/B71, is an important accessory molecule in T cell co-stimulation via its interaction with CD28 and CD152/CTLA4. Since CD86 has rapid kinetics of induction, it is the major CD28 ligand expressed early in the immune response. It is also found on malignant Hodgkin and Reed Sternberg (HRS) cells in Hodgkins disease.
Applications
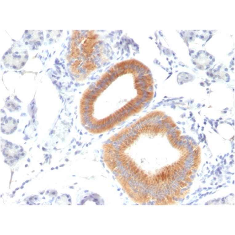
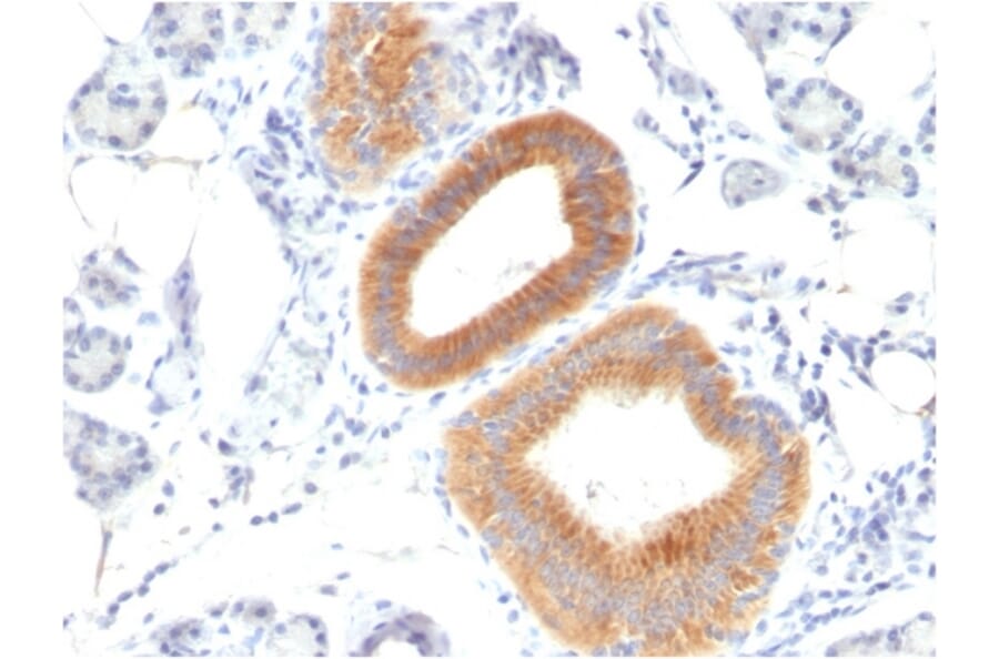
IF, WB, IHC-P
Dilutions
IF: 1-2 µg/ml, WB: 1-2 µg/ml, IHC-P: 2-4 µg/ml
Reactivity
Human, Mouse, Rat
Immunogen
Recombinant full-length human CD86 protein.
Host
Mouse
Clonality
Monoclonal
Clone ID
C86/1146
Isotype
IgG1
Light Chains
kappa
Conjugate
Unconjugated
Purification
Protein A/G chromatography.
Concentration
1 mg/ml
Molecular Weight
70 kDa
Product Form
Liquid
Formulation
Supplied in 10mM Phosphate Buffered Saline; without Sodium Azide and carrier free.
Storage
Shipped at 4°C. Upon delivery aliquot and store at -20°C. Avoid freeze / thaw cycles.
Immunofluorescent analysis of Raji cells stained with Anti-CD86 Antibody [C86/1146] followed by Goat Anti-Mouse IgG (CF® 488) (Green). Nuclei are stained with RedDot.
SDS-PAGE analysis of Anti-CD86 Antibody [C86/1146] under non-reduced and reduced conditions; showing intact IgG and intact heavy and light chains, respectively. SDS-PAGE analysis confirms the integrity and purity of the antibody.
Publishing research using Anti-CD86 Antibody [C86/1146] - BSA and Azide free (A253825)? Please let us know so that we can list the citation on this page.
Alternative products to Anti-CD86 Antibody [C86/1146] - BSA and Azide free (A253825)
Human monoclonal antibody to CD86 Research grade Anti-Human CD86 [PG140] biosimilar for ELISA, Flow Cytometry, Functional Studies and in vivo Research.
Human monoclonal antibody to CD86 Research grade Anti-Human CD86 [ES210] biosimilar for ELISA, Flow Cytometry, Functional Studies and in vivo Research.
Human monoclonal antibody to CD86 Research grade Anti-Human CD86 [INA02] biosimilar for ELISA, Flow Cytometry, Functional Studies and in vivo Research.
Human monoclonal antibody to CD86 Research grade Anti-Human CD86 [PG140] biosimilar for ELISA, Flow Cytometry, Functional Studies and in vivo Research.
Human monoclonal antibody to CD86 Research grade Anti-Human CD86 [ES210] biosimilar for ELISA, Flow Cytometry, Functional Studies and in vivo Research.
Human monoclonal antibody to CD86 Research grade Anti-Human CD86 [INA02] biosimilar for ELISA, Flow Cytometry, Functional Studies and in vivo Research.