ISO 9001:2015 Certified
Live Customer Support
4.5/5 on Trustpilot
100% Quality Guarantee

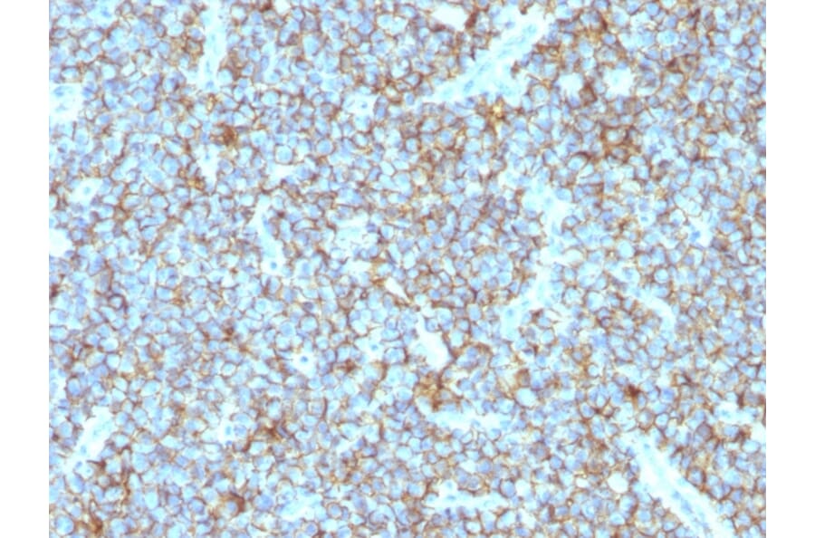
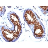
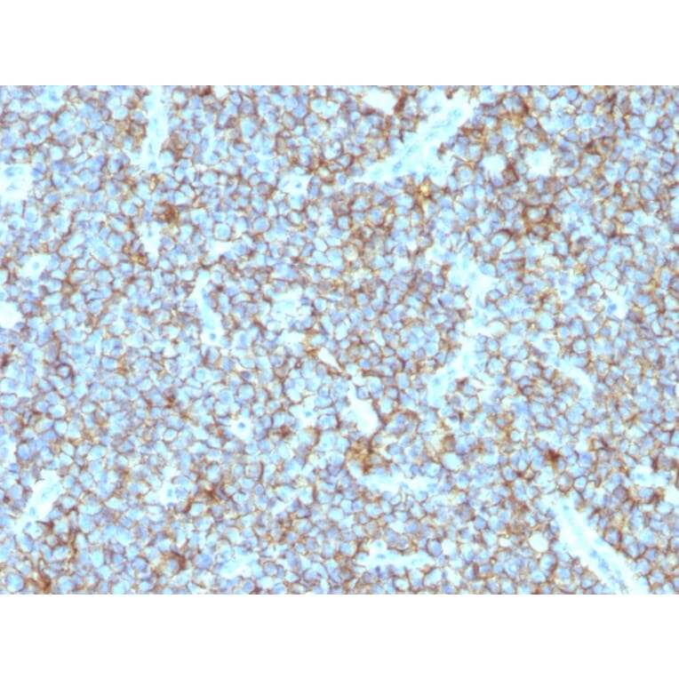
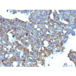
Anti-CD99 Antibody [MIC2/877] - BSA and Azide free (A252510)

Mouse monoclonal [MIC2/877] antibody to CD99 for Flow Cytometry, IF and IHC-P.

Alternative Formats and ConjugatesAlternative Formats

Shipping Information

$40
Dispatched from St. Louis, MO.
Lead Time: 5-8 business days.
Name
Anti-CD99 Antibody [MIC2/877] - BSA and Azide free
Description
Mouse monoclonal [MIC2/877] antibody to CD99.
Specificity
This antibody recognizes a sialoglycoprotein of 27-32kDa, identified as CD99, or MIC2 gene product, or E2 antigen. MIC2 gene is located in the pseudo-autosomal region of the human X and Y chromosome. MIC2 gene encodes two distinct proteins, which are produced by alternative splicing of the CD99 gene transcript and are identified as bands of 30 and 32kDa (p30/32).Although its function is not fully understood, CD99 is implicated in various cellular processes including homotypic aggregation of T cells, upregulation of T cell receptor and MHS molecules, apoptosis of immature thymocytes and leukocyte diapedesis.CD99 is expressed on the cell membrane of some lymphocytes, cortical thymocytes, and granulosa cells of the ovary. Most pancreatic islet cells, Sertoli cells of the testis, and some endothelial cells express this antigen. Mature granulocytes express very little or no CD99. MIC2 is strongly expressed on Ewings sarcoma cells and primitive peripheral neuroectodermal tumors.
Applications
Flow Cytometry, IF, IHC-P
Dilutions
Flow Cytometry: 1-2 µg/million cells, IF: 1-2 µg/ml, IHC-P: 1-2 µg/ml
Reactivity
Human
Cross Reactivity
This antibody does not cross react with Rat.
Immunogen
Recombinant full-length human MIC2 protein.
Host
Mouse
Clonality
Monoclonal
Clone ID
MIC2/877
Isotype
IgG1
Light Chains
kappa
Conjugate

Unconjugated

Purification
Protein A/G chromatography.
Concentration
1 mg/ml
Molecular Weight
27-32 kDa
Product Form
Liquid
Formulation
Supplied in 10mM Phosphate Buffered Saline; without Sodium Azide and carrier free.
Storage
Shipped at 4°C. Upon delivery aliquot and store at -20°C. Avoid freeze / thaw cycles.
General Notes
This monoclonal antibody is also available in a different formulation with BSA and Sodium Azide - Anti-CD99 Antibody [MIC2/877] (A249330).
Synonyms
12E7, CD99 antigen, E2 antigen, MIC2, MIC2X, MIC2Y, Protein MIC2, T-cell surface glycoprotein E2
Disclaimer
This product is for research use only. It is not intended for diagnostic or therapeutic use.
Publishing research using Anti-CD99 Antibody [MIC2/877] - BSA and Azide free (A252510)? Please let us know so that we can list the citation on this page.

Alternative products to Anti-CD99 Antibody [MIC2/877] - BSA and Azide free (A252510)

Proteins predicted to interact with CD99

Predicted protein interactions based upon String database. Revelancy score correlates with probability of interaction.
98.4% Relevancy Score
97.6% Relevancy Score
97.4% Relevancy Score
94.3% Relevancy Score
92.4% Relevancy Score
85.2% Relevancy Score
81.9% Relevancy Score
81.3% Relevancy Score
77.8% Relevancy Score