ISO 9001:2015 Certified
Live Customer Support
4.5/5 on Trustpilot
100% Quality Guarantee

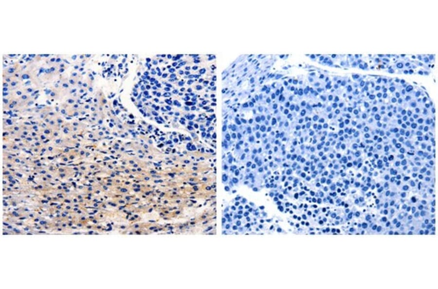
Anti-CDC20 Antibody (A48095)

Rabbit polyclonal antibody to CDC20 for ELISA, WB and IHC.

Shipping Information

$40
Dispatched from St. Louis, MO.
Lead Time: 6-9 business days.
Name
Anti-CDC20 Antibody
Description
Rabbit polyclonal antibody to CDC20
Specificity
The antibody detects endogenous level of total CDC20 protein.
Applications
ELISA, WB, IHC
Reactivity
Human
Immunogen
Fusion protein corresponding to a region derived from 182-480 amino acids of Human Cell division cycle protein 20 homolog
Host
Rabbit
Clonality
Polyclonal
Conjugate

Unconjugated

Formulation
Supplied in phosphate-buffered saline (without Mg²? and Ca²?), pH 7.3, containing 150 mM NaCl, 0.05% sodium azide, and 50% glycerol.
Storage
Shipped at 4°C. Upon delivery aliquot and store at -20°C. Avoid freeze/thaw cycles.
Synonyms
Cell division cycle protein 20 homolog, p55CDC
Disclaimer
This product is for research use only. It is not intended for diagnostic or therapeutic use.
Publishing research using Anti-CDC20 Antibody (A48095)? Please let us know so that we can list the citation on this page.

Alternative products to Anti-CDC20 Antibody (A48095)

Proteins predicted to interact with CDC20

Predicted protein interactions based upon String database. Revelancy score correlates with probability of interaction.
99.9% Relevancy Score
99.9% Relevancy Score
99.9% Relevancy Score
99.9% Relevancy Score
99.9% Relevancy Score
99.9% Relevancy Score
99.9% Relevancy Score
99.9% Relevancy Score
99.9% Relevancy Score