Primary Antibodies
Secondary Antibodies
Proteins & Peptides
ELISA Kits
About Us
Contact Us
Sign In/Register
0
ISO 9001:2015 Certified
Live Customer Support
4.5/5 on Trustpilot
100% Quality Guarantee
Home
Primary Antibodies
CDC37L1 Antibodies
Anti-CDC37L1 Antibody (A45123)
Anti-CDC37L1 Antibody (A45123)
Overview
Specifications
Images
Enlarge Image
Enlarge Image
$430
Product Datasheet
Rabbit polyclonal antibody to CDC37L1 for IHC.
100% Guarantee
Price Match Guarantee
Product Size:
100µl
Quantity:
1
2
3
4
5
6
7
8
9
10
Add To Cart
Request a Quotation
Custom or Bulk Request
Shipping Information
Freight/Packing Charges:
$40
Dispatched from St. Louis, MO.
Lead Time: 6-9 business days.
Specifications
Name
Anti-CDC37L1 Antibody
Description
Rabbit polyclonal antibody to CDC37L1
Specificity
The antibody detects endogenous levels of total CDC37L1 protein.
Applications
IHC
Reactivity
Human
Immunogen
Full length fusion protein
Host
Rabbit
Clonality
Polyclonal
Conjugate
Unconjugated
Purification
Antigen affinity purification.
Concentration
2.9 mg/mL
Formulation
Supplied in PBS, pH 7.3, containing 0.05% sodium azide and 50% glycerol.
Storage
Shipped at 4°C. Upon delivery aliquot and store at -20°C. Avoid freeze/thaw cycles.
Synonyms
CDC37B, HARC, Hsp90 co-chaperone Cdc37-like 1, Hsp90-associating relative of Cdc37
Suitable Secondaries
Goat Anti-Rabbit IgG H&L Antibody (AP) (A294874)
Goat Anti-Rabbit IgG H&L Antibody (Biotin) (A294795)
Goat Anti-Rabbit IgG H&L Antibody (FITC) (A294887)
Goat Anti-Rabbit IgG H&L Antibody (HRP) (A294888)
See all Anti-Rabbit IgG Secondaries →
Disclaimer
This product is for research use only. It is not intended for diagnostic or therapeutic use.
Scientific Validation Data
Validation Data
(2)
Enlarge Image
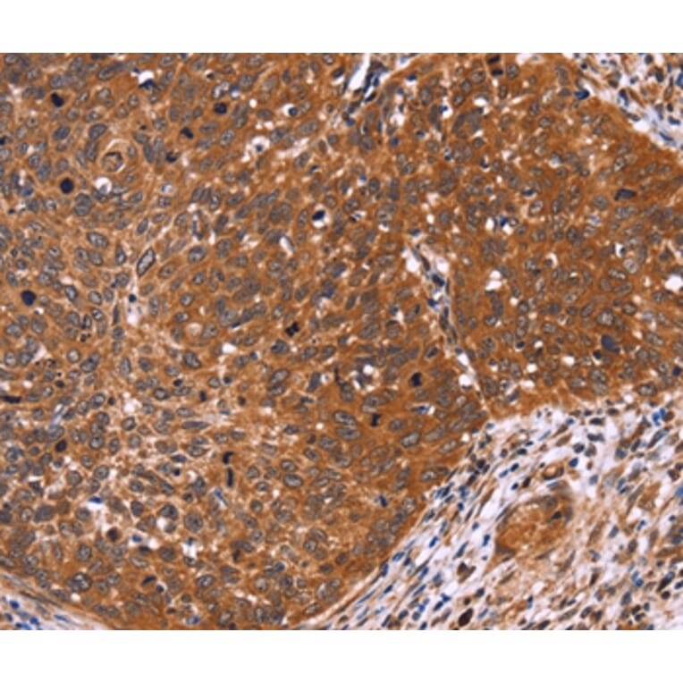
Immunohistochemistry - Anti-CDC37L1 Antibody (A45123)
Immunohistochemical analysis of paraffin-embedded Human cervical cancer tissue using #36333 at dilution 1/60.
Enlarge Image
Immunohistochemistry - Anti-CDC37L1 Antibody (A45123)
Immunohistochemical analysis of paraffin-embedded Human colon cancer tissue using #36333 at dilution 1/60.
Publishing research using Anti-CDC37L1 Antibody (A45123)? Please
let us know
so that we can list the citation on this page.
Alternative products to Anti-CDC37L1 Antibody (A45123)
A41797
Anti-CDC37L1 Antibody
Rabbit polyclonal antibody to CDC37L1 for WB.
A41797
Anti-CDC37L1 Antibody
Rabbit polyclonal antibody to CDC37L1 for WB.
Proteins predicted to interact with CDC37L1
Predicted protein interactions based upon String database. Revelancy score correlates with probability of interaction.
HSP90 alpha Antibodies
97.2% Relevancy Score
HSP90 beta Antibodies
95.4% Relevancy Score
STIP1 Antibodies
92.8% Relevancy Score
p23 Antibodies
84% Relevancy Score
FKBP52 Antibodies
73.4% Relevancy Score
GRP94 Antibodies
71.7% Relevancy Score
HSPA4 Antibodies
71.6% Relevancy Score
Hck Antibodies
71.1% Relevancy Score
PPID Antibodies
68.1% Relevancy Score
Top