ISO 9001:2015 Certified
Live Customer Support
4.5/5 on Trustpilot
100% Quality Guarantee

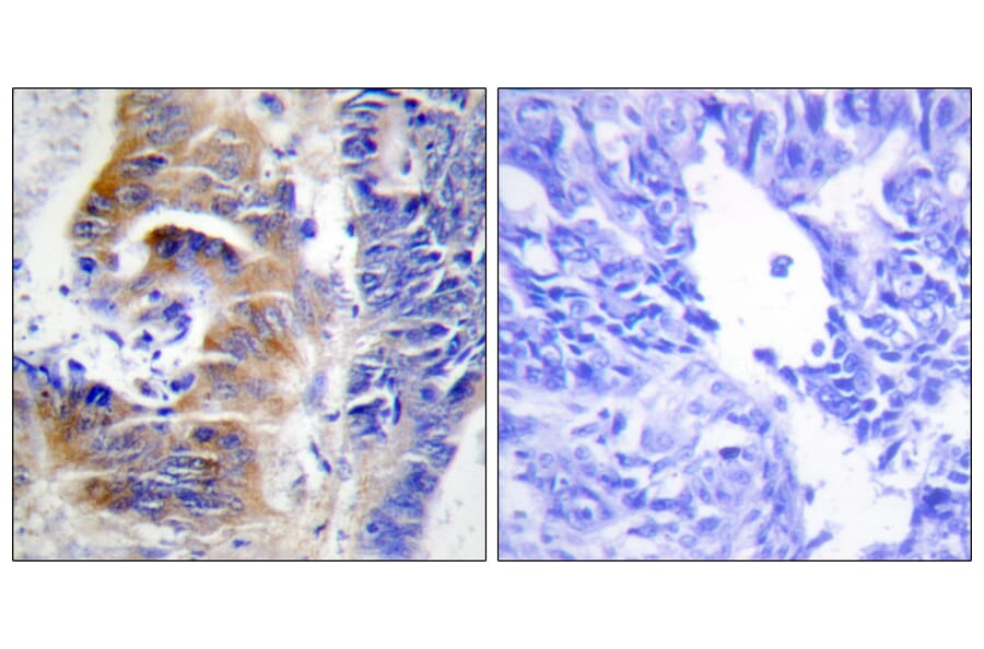
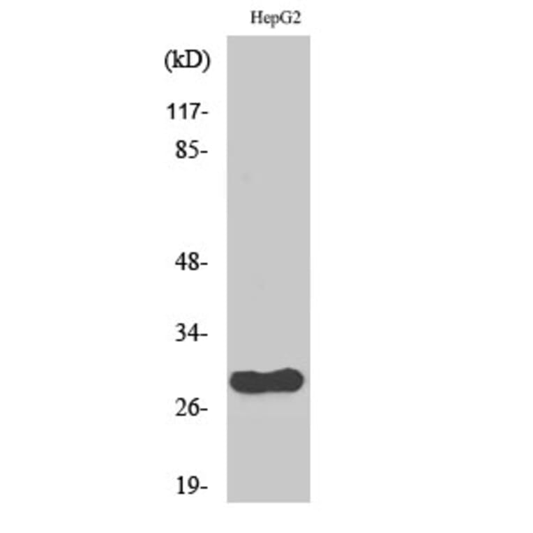
Anti-CDCA3 Antibody (A95917)

Rabbit polyclonal antibody to CDCA3 for WB, IHC, IF and ELISA.

Shipping Information

$40
Dispatched from St. Louis, MO.
Lead Time: 6-8 business days.
Name
Anti-CDCA3 Antibody
Description
Rabbit polyclonal antibody to CDCA3.
Applications
WB, IHC, IF, ELISA
Dilutions
WB: 1:500~1:1000, IHC: 1:50~1:100, ELISA: 1:1000
Reactivity
Human, Mouse, Rat
Cross Reactivity
No reported cross-reactivity.
Immunogen
Synthetic peptide derived from human CDCA3 (amino acids 219-268).
Host
Rabbit
Clonality
Polyclonal
Isotype
IgG
Conjugate

Unconjugated

Purification
Purified from rabbit serum by antigen affinity chromatography using the immunizing peptide.
Molecular Weight
28kDa
Product Form
Liquid
Formulation
Supplied in Phosphate Buffered Saline (without Mg2+ and Ca2+), pH 7.4, with 150mM NaCl, 0.02% Sodium Azide, and 50% Glycerol.
Storage
Shipped at 4°C. Upon delivery aliquot and store at -20°C. Avoid freeze / thaw cycles.
Synonyms
C8, Cell division cycle-associated protein 3, Gene-rich cluster protein C8, GRCC8, TOME-1, TOME1, Trigger of mitotic entry protein 1
Disclaimer
This product is for research use only. It is not intended for diagnostic or therapeutic use.
Publishing research using Anti-CDCA3 Antibody (A95917)? Please let us know so that we can list the citation on this page.

Alternative products to Anti-CDCA3 Antibody (A95917)

Proteins predicted to interact with CDCA3

Predicted protein interactions based upon String database. Revelancy score correlates with probability of interaction.
98.1% Relevancy Score
97.5% Relevancy Score
97.3% Relevancy Score
96.2% Relevancy Score
96% Relevancy Score
95.1% Relevancy Score
94.6% Relevancy Score
94% Relevancy Score
93.6% Relevancy Score