Primary Antibodies
Secondary Antibodies
Proteins & Peptides
ELISA Kits
About Us
Contact Us
Sign In/Register
0
ISO 9001:2015 Certified
Live Customer Support
4.5/5 on Trustpilot
100% Quality Guarantee
Home
Primary Antibodies
CDCA4 Antibodies
Anti-CDCA4 Antibody (A46196)
Anti-CDCA4 Antibody (A46196)
Overview
Specifications
Images
Enlarge Image
Enlarge Image
$430
Product Datasheet
Rabbit polyclonal antibody to CDCA4 for IHC.
100% Guarantee
Price Match Guarantee
Product Size:
100µl
Quantity:
1
2
3
4
5
6
7
8
9
10
Add To Cart
Request a Quotation
Custom or Bulk Request
Shipping Information
Freight/Packing Charges:
$40
Dispatched from St. Louis, MO.
Lead Time: 6-9 business days.
Specifications
Name
Anti-CDCA4 Antibody
Description
Rabbit polyclonal antibody to CDCA4
Specificity
The antibody detects endogenous levels of total CDCA4 protein.
Applications
IHC
Reactivity
Human
Immunogen
Synthetic peptide corresponding to residues near the C terminal of human cell division cycle associated 4
Host
Rabbit
Clonality
Polyclonal
Conjugate
Unconjugated
Purification
Antigen affinity purification.
Concentration
2.6 mg/mL
Formulation
Supplied in PBS, pH 7.3, containing 0.05% sodium azide and 50% glycerol.
Storage
Shipped at 4°C. Upon delivery aliquot and store at -20°C. Avoid freeze/thaw cycles.
Synonyms
Cell division cycle-associated protein 4, Hematopoietic progenitor protein, HEPP
Suitable Secondaries
Goat Anti-Rabbit IgG H&L Antibody (AP) (A294874)
Goat Anti-Rabbit IgG H&L Antibody (Biotin) (A294795)
Goat Anti-Rabbit IgG H&L Antibody (FITC) (A294887)
Goat Anti-Rabbit IgG H&L Antibody (HRP) (A294888)
See all Anti-Rabbit IgG Secondaries →
Disclaimer
This product is for research use only. It is not intended for diagnostic or therapeutic use.
Scientific Validation Data
Validation Data
(2)
Enlarge Image
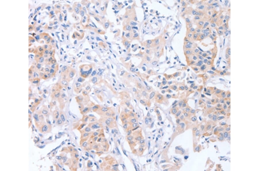
Immunohistochemistry - Anti-CDCA4 Antibody (A46196)
Immunohistochemical analysis of paraffin-embedded Human lung cancer tissue using #37481 at dilution 1/50.
Enlarge Image
Immunohistochemistry - Anti-CDCA4 Antibody (A46196)
Immunohistochemical analysis of paraffin-embedded Human brain tissue using #37481 at dilution 1/50.
Publishing research using Anti-CDCA4 Antibody (A46196)? Please
let us know
so that we can list the citation on this page.
Alternative products to Anti-CDCA4 Antibody (A46196)
(2)
A97651
Anti-CDCA4 Antibody
Rabbit polyclonal antibody to CDCA4 for IHC, IF, WB and ELISA.
(2)
A44582
Anti-CDCA4 Antibody
Rabbit polyclonal antibody to CDCA4 for IHC and ICC/IF.
(2)
A97651
Anti-CDCA4 Antibody
Rabbit polyclonal antibody to CDCA4 for IHC, IF, WB and ELISA.
(2)
A44582
Anti-CDCA4 Antibody
Rabbit polyclonal antibody to CDCA4 for IHC and ICC/IF.
Proteins predicted to interact with CDCA4
Predicted protein interactions based upon String database. Revelancy score correlates with probability of interaction.
Sertad1 Antibodies
89% Relevancy Score
PPP2R2C Antibodies
81.8% Relevancy Score
PPP2R2A Antibodies
78.5% Relevancy Score
PPP2R1A Antibodies
76.1% Relevancy Score
CDCA8 Antibodies
72.3% Relevancy Score
CDCA5 Antibodies
72.1% Relevancy Score
E2F2 Antibodies
66.3% Relevancy Score
Cyclin A2 Antibodies
64.7% Relevancy Score
CDCA2 Antibodies
63.4% Relevancy Score
Top