Primary Antibodies
Secondary Antibodies
Proteins & Peptides
ELISA Kits
About Us
Contact Us
Sign In/Register
0
ISO 9001:2015 Certified
Live Customer Support
4.5/5 on Trustpilot
100% Quality Guarantee
Home
Primary Antibodies
OB Cadherin Antibodies
Anti-CDH11 Antibody (A14134)
Anti-CDH11 Antibody (A14134)
Overview
Specifications
Images
Enlarge Image
Enlarge Image
Enlarge Image
$375
Product Datasheet
Rabbit polyclonal antibody to CDH11 for WB and IHC.
100% Guarantee
Price Match Guarantee
Product Size:
100µl
Quantity:
1
2
3
4
5
6
7
8
9
10
Add To Cart
Request a Quotation
Custom or Bulk Request
Shipping Information
Freight/Packing Charges:
$40
Dispatched from St. Louis, MO.
Lead Time: 7-10 business days.
Specifications
Name
Anti-CDH11 Antibody
Description
Rabbit polyclonal antibody to CDH11.
Applications
WB
,
IHC
Dilutions
WB: 1:500-1:2000, IHC: 1:50-1:200
Reactivity
Human, Rat
Immunogen
Recombinant fusion protein containing a sequence corresponding to amino acids 637-796 of human CDH11 (NP_001788.2).
Sequence
FVTLRRQKKEPLIVFEEEDVRENIITYDDEGGGEEDTEAFDIATLQNPDGINGFIPRKDIKPEYQYMPRPGLRPAPNSVDVDDFINTRIQEADNDPTAPPYDSIQIYGYEGRGSVAGSLSSLESATTDSDLDYDYLQNWGPRFKKLADLYGSKDTFDDDS
Host
Rabbit
Clonality
Polyclonal
Isotype
IgG
Conjugate
Unconjugated
Purification
Affinity purification.
Concentration
Lot Specific
Product Form
Liquid
Formulation
Supplied in Phosphate Buffered Saline, pH 7.30, with 0.02% Sodium Azide and 50% Glycerol.
Storage
Shipped at 4°C. Upon delivery aliquot and store at -20°C. Avoid freeze/thaw cycles.
Synonyms
Cadherin-11, OB-cadherin, OSF-4, Osteoblast cadherin
Isotype Controls
Rabbit IgG (A82272)
Rabbit IgG (A17360)
Suitable Secondaries
Goat Anti-Rabbit IgG H&L Antibody (AP) (A294874)
Goat Anti-Rabbit IgG H&L Antibody (Biotin) (A294795)
Goat Anti-Rabbit IgG H&L Antibody (FITC) (A294887)
Goat Anti-Rabbit IgG H&L Antibody (HRP) (A294888)
See all Anti-Rabbit IgG Secondaries →
Disclaimer
This product is for research use only. It is not intended for diagnostic or therapeutic use.
Scientific Validation Data
Validation Data
(3)
Enlarge Image
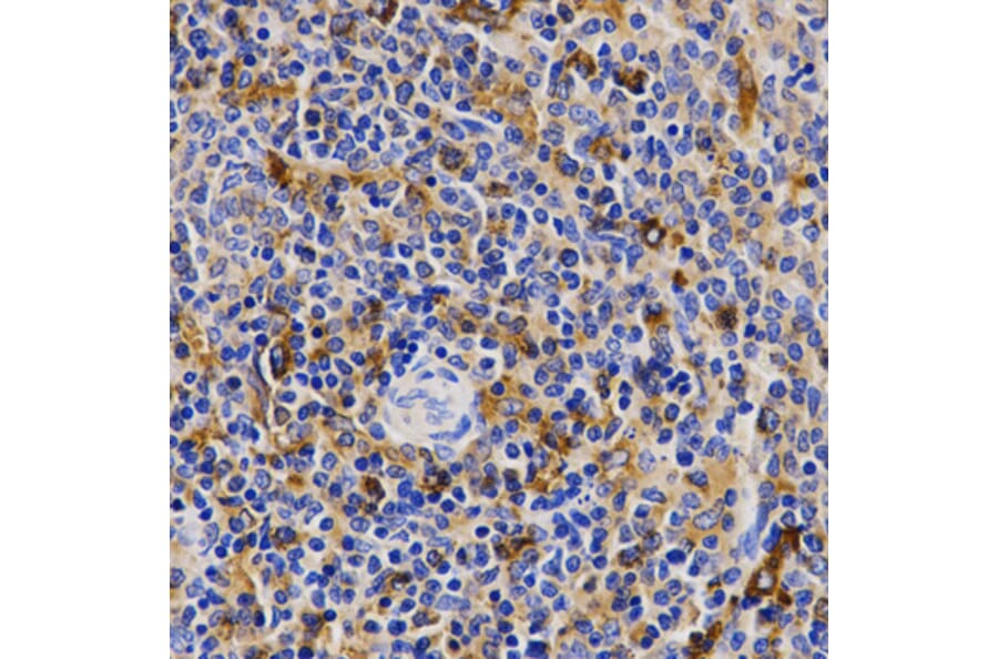
Immunohistochemistry - Anti-CDH11 Antibody (A14134)
Immunohistochemistry of paraffin-embedded rat spleen using CDK20 antibody (A14134) at dilution of 1:200 (40x lens).
Enlarge Image
Immunohistochemistry - Anti-CDH11 Antibody (A14134)
Immunohistochemistry of paraffin-embedded human kidney using CDK20 antibody (A14134) at dilution of 1:100 (40x lens).
Enlarge Image
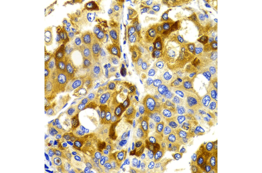
Immunohistochemistry - Anti-CDH11 Antibody (A14134)
Immunohistochemistry of paraffin-embedded human liver cancer using CDK20 antibody (A14134) at dilution of 1:100 (40x lens).
Publishing research using Anti-CDH11 Antibody (A14134)? Please
let us know
so that we can list the citation on this page.
Alternative products to Anti-CDH11 Antibody (A14134)
(2)
A80952
Anti-OB Cadherin Antibody
Rabbit polyclonal antibody to OB Cadherin for WB and ICC/IF.
(3)
A11917
Anti-CDH11 Antibody
Rabbit polyclonal antibody to CDH11 for WB.
A16074
Anti-OB Cadherin Antibody
Rabbit polyclonal antibody to OB Cadherin for WB.
(2)
A324167
Anti-OB Cadherin Antibody [RG6125] - Low endotoxin, Azide free
Recombinant human monoclonal [RG6125] antibody to OB Cadherin for ELISA, FACS, Functional Assay and In Vivo.
A340803
Anti-OB Cadherin Antibody [RG6125] Biosimilar - BSA and Azide free
Human antibody to OB Cadherin Research grade RG6125 biosimilar for ELISA, Flow Cytometry, Functional Studies and in vivo Research.
(2)
A99149
Anti-CDH11 Antibody
Rabbit polyclonal antibody to CDH11 for WB and ELISA.
A115521
Anti-OB Cadherin Antibody [16A]
Mouse monoclonal [16A] antbody to OB Cadherin for ICC, IHC-Fr and WB.
A84824
Anti-OB Cadherin Antibody
Goat polyclonal antibody to OB Cadherin for ELISA and WB.
A84823
Anti-OB Cadherin Antibody
Goat polyclonal antibody to OB Cadherin for ELISA and WB.
A42193
Anti-CDH11 Antibody
Rabbit polyclonal antibody to CDH11 for WB.
A121641
Anti-CDH11 Antibody
Goat polyclonal antibody to CDH11 for WB.
A121642
Anti-CDH11 Antibody
Goat polyclonal antibody to CDH11 for WB.
(2)
A80952
Anti-OB Cadherin Antibody
Rabbit polyclonal antibody to OB Cadherin for WB and ICC/IF.
(3)
A11917
Anti-CDH11 Antibody
Rabbit polyclonal antibody to CDH11 for WB.
A16074
Anti-OB Cadherin Antibody
Rabbit polyclonal antibody to OB Cadherin for WB.
(2)
A324167
Anti-OB Cadherin Antibody [RG6125] - Low endotoxin, Azide free
Recombinant human monoclonal [RG6125] antibody to OB Cadherin for ELISA, FACS, Functional Assay and In Vivo.
A340803
Anti-OB Cadherin Antibody [RG6125] Biosimilar - BSA and Azide free
Human antibody to OB Cadherin Research grade RG6125 biosimilar for ELISA, Flow Cytometry, Functional Studies and in vivo Research.
(2)
A99149
Anti-CDH11 Antibody
Rabbit polyclonal antibody to CDH11 for WB and ELISA.
A115521
Anti-OB Cadherin Antibody [16A]
Mouse monoclonal [16A] antbody to OB Cadherin for ICC, IHC-Fr and WB.
A84824
Anti-OB Cadherin Antibody
Goat polyclonal antibody to OB Cadherin for ELISA and WB.
A84823
Anti-OB Cadherin Antibody
Goat polyclonal antibody to OB Cadherin for ELISA and WB.
A42193
Anti-CDH11 Antibody
Rabbit polyclonal antibody to CDH11 for WB.
A121641
Anti-CDH11 Antibody
Goat polyclonal antibody to CDH11 for WB.
A121642
Anti-CDH11 Antibody
Goat polyclonal antibody to CDH11 for WB.
See all CDH11 Antibodies
Proteins predicted to interact with OB Cadherin
Predicted protein interactions based upon String database. Revelancy score correlates with probability of interaction.
beta Catenin Antibodies
99.3% Relevancy Score
N-Cadherin Antibodies
95.8% Relevancy Score
delta Catenin Antibodies
91.9% Relevancy Score
alpha E-Catenin Antibodies
81.5% Relevancy Score
gamma Catenin Antibodies
80.3% Relevancy Score
P-Cadherin Antibodies
80.1% Relevancy Score
M-Cadherin Antibodies
78.4% Relevancy Score
E-Cadherin Antibodies
77.4% Relevancy Score
Cadherin-13 Antibodies
75.9% Relevancy Score
Top