ISO 9001:2015 Certified
Live Customer Support
4.5/5 on Trustpilot
100% Quality Guarantee

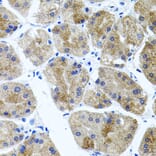
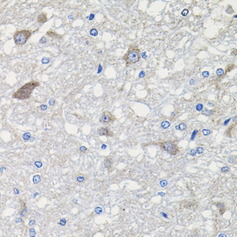
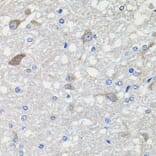
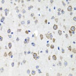
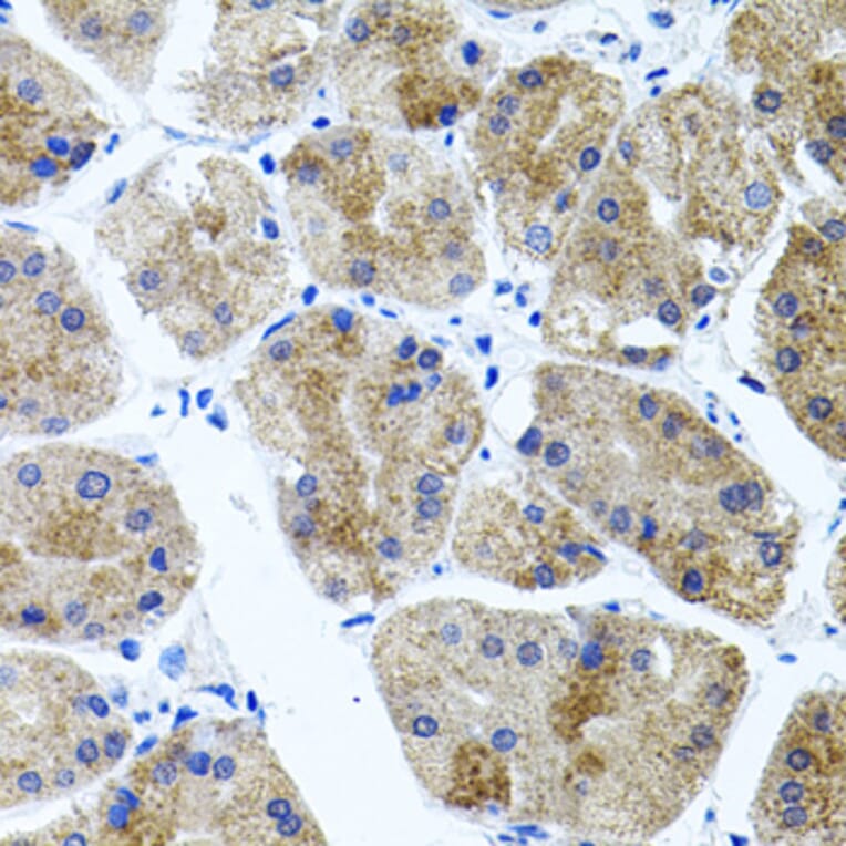
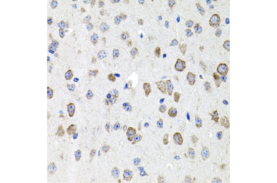
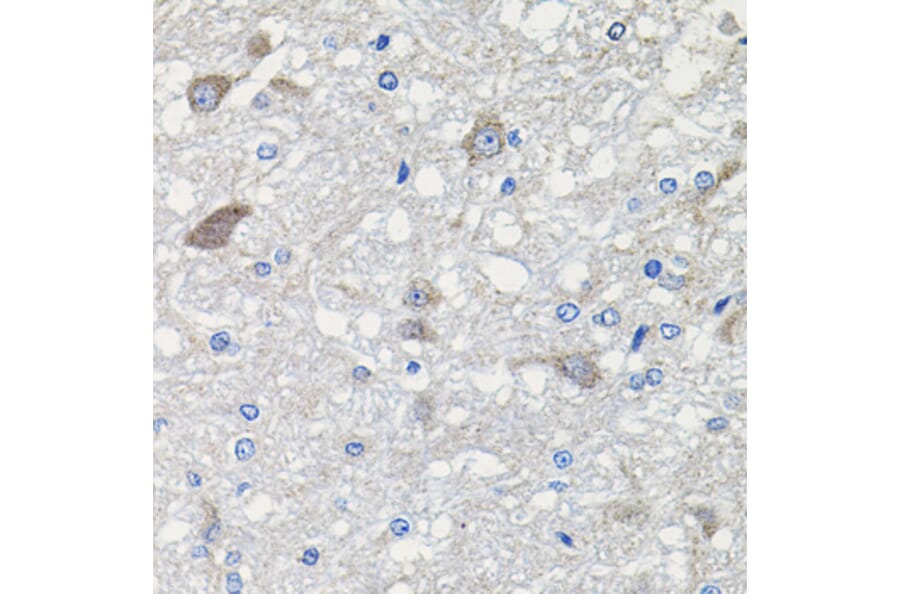
Anti-CDH23 Antibody (A14191)

This product is discontinued

Anti-CDH23 Antibody (A14191) has been discontinued and is no longer available.

View all CDH23 Antibodies.

Name
Anti-CDH23 Antibody
Description
Rabbit polyclonal antibody to CDH23.
Applications
WB, IHC
Dilutions
WB: 1:500-1:2,000, IHC: 1:100-1:200
Reactivity
Human, Mouse
Immunogen
Recombinant protein of human CDH23.
Host
Rabbit
Clonality
Polyclonal
Isotype
IgG
Conjugate

Unconjugated

Purification
Affinity purification.
Product Form
Liquid
Formulation
Supplied in Phosphate Buffered Saline, pH 7.3, with 50% Glycerol and 0.05% Proclin 300.
Storage
Shipped at 4°C. Upon delivery aliquot and store at -20°C. Avoid freeze / thaw cycles.
Synonyms
Cadherin-23, KIAA1774, KIAA1812, Otocadherin
Disclaimer
This product is for research use only. It is not intended for diagnostic or therapeutic use.

Alternative products to Anti-CDH23 Antibody (A14191)

Proteins predicted to interact with Cadherin Like 23

Predicted protein interactions based upon String database. Revelancy score correlates with probability of interaction.
99.9% Relevancy Score
99.9% Relevancy Score
99.8% Relevancy Score
94.7% Relevancy Score
94.6% Relevancy Score
88.1% Relevancy Score
84.1% Relevancy Score
84% Relevancy Score
77% Relevancy Score