Primary Antibodies
Secondary Antibodies
Proteins & Peptides
ELISA Kits
About Us
Contact Us
Sign In/Register
0
ISO 9001:2015 Certified
Live Customer Support
4.5/5 on Trustpilot
100% Quality Guarantee
Home
Primary Antibodies
Anti-CDH3 Antibody (A38687)
Anti-CDH3 Antibody (A38687)
Overview
Specifications
Images
Enlarge Image
Enlarge Image
$430
Product Datasheet
Rabbit polyclonal antibody to CDH3 for WB and IHC.
100% Guarantee
Price Match Guarantee
Product Size:
100µl
Quantity:
1
2
3
4
5
6
7
8
9
10
Add To Cart
Request a Quotation
Custom or Bulk Request
Shipping Information
Freight/Packing Charges:
$40
Dispatched from St. Louis, MO.
Lead Time: 6-9 business days.
Specifications
Name
Anti-CDH3 Antibody
Description
Rabbit polyclonal antibody to CDH3
Specificity
The antibody detects endogenous levels of total CDH3 protein.
Applications
WB
,
IHC
Reactivity
Human, Mouse
Immunogen
Fusion protein corresponding to residues near the C terminal of human cadherin 3, type 1, P-cadherin (placental)
Host
Rabbit
Clonality
Polyclonal
Conjugate
Unconjugated
Purification
Antigen affinity purification.
Concentration
0.2 mg/mL
Formulation
Supplied in PBS, pH 7.3, containing 0.05% sodium azide and 50% glycerol.
Storage
Shipped at 4°C. Upon delivery aliquot and store at -20°C. Avoid freeze/thaw cycles.
Suitable Secondaries
Goat Anti-Rabbit IgG H&L Antibody (AP) (A294874)
Goat Anti-Rabbit IgG H&L Antibody (Biotin) (A294795)
Goat Anti-Rabbit IgG H&L Antibody (FITC) (A294887)
Goat Anti-Rabbit IgG H&L Antibody (HRP) (A294888)
See all Anti-Rabbit IgG Secondaries →
Disclaimer
This product is for research use only. It is not intended for diagnostic or therapeutic use.
Scientific Validation Data
Validation Data
(2)
Enlarge Image
Anti-CDH3 Antibody (A38687)
Gel: 8% SDS-PAGE Lysates (from left to right): HepG2 cell and mouse brain tissue Amount of lysate: 40ug per lane Primary antibody: 1/100 dilution Secondary antibody dilution: 1/8000 Exposure time: 1 minute
Enlarge Image
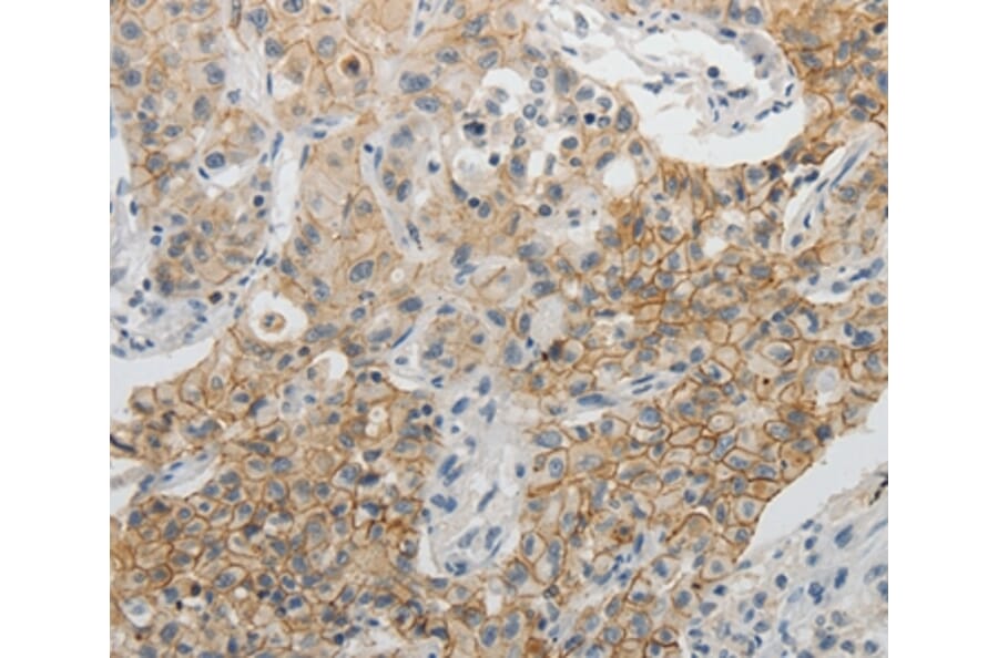
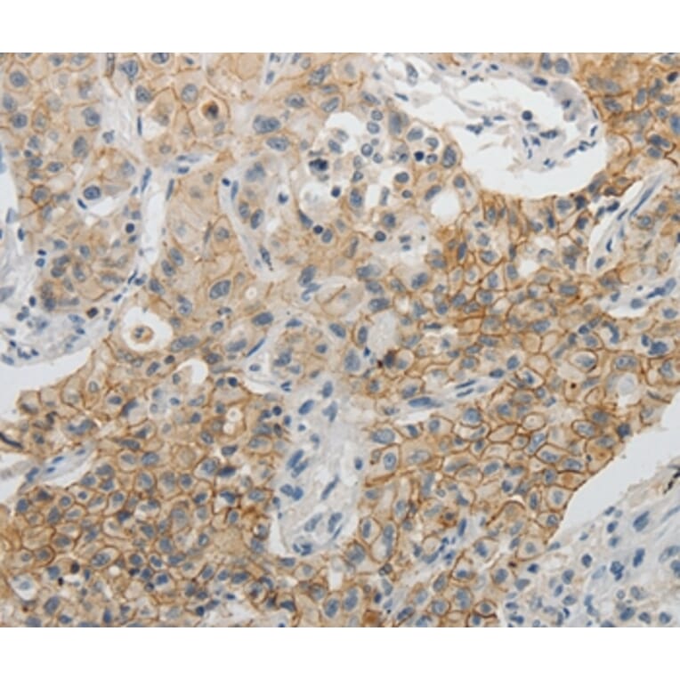
Immunohistochemistry - Anti-CDH3 Antibody (A38687)
Immunohistochemical analysis of paraffin-embedded Human lung cancer tissue using #35871 at dilution 1/5.
Publishing research using Anti-CDH3 Antibody (A38687)? Please
let us know
so that we can list the citation on this page.
Top