CUT&Tag was performed using the CUT&Tag Assay Kit (pAG-Tn5) for Illumina from 105 K562 cells with 5µg of Anti-Cdk9 Antibody [ARC0527] (A81021), and Goat Anti-Rabbit IgG H&L Antibody. The CUT&Tag results indicate the enrichment pattern of CDK9 in representative gene loci (RAC1), as shown in figure.
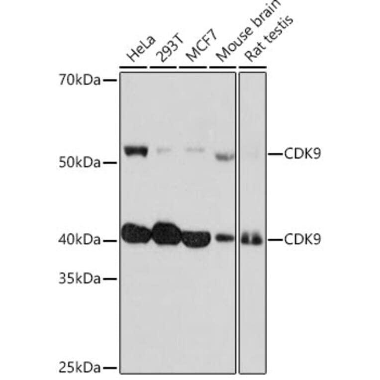
Western Blot - Anti-Cdk9 Antibody [ARC0527] (A81021)
Western blot analysis of extracts of various cell lines, using Anti-Cdk9 Antibody [ARC0527] (A81021) at 1:1,000 dilution. The secondary antibody was Goat Anti-Rabbit IgG H&L Antibody (HRP) at 1:10,000 dilution. Lysates/proteins were present at 25µg per lane. The blocking buffer used was 3% non-fat dry milk in TBST. Detection was with a ECL Basic Kit. Exposure time: 3min.
Western Blot - Anti-Cdk9 Antibody [ARC0527] (A81021)
Western blot analysis of extracts from wild type(WT) and CDK9 knockout (KO) 293T cells, using Anti-Cdk9 Antibody [ARC0527] (A81021) at 1:500 dilution. The secondary antibody was Goat Anti-Rabbit IgG H&L Antibody (HRP) at 1:10,000 dilution. Lysates/proteins were present at 25µg per lane. The blocking buffer used was 3% non-fat dry milk in TBST. Detection was with a ECL Basic Kit. Exposure time: 1s.
Immunohistochemistry analysis of paraffin-embedded rat ovary using Anti-Cdk9 Antibody [ARC0527] (A81021) at a dilution of 1:100 (40x lens). Perform microwave antigen retrieval with 10 mM PBS buffer pH 7.2 before commencing with IHC staining protocol.
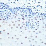
Immunohistochemistry analysis of paraffin-embedded human esophageal using Anti-Cdk9 Antibody [ARC0527] (A81021) at a dilution of 1:100 (40x lens). Perform microwave antigen retrieval with 10 mM PBS buffer pH 7.2 before commencing with IHC staining protocol.
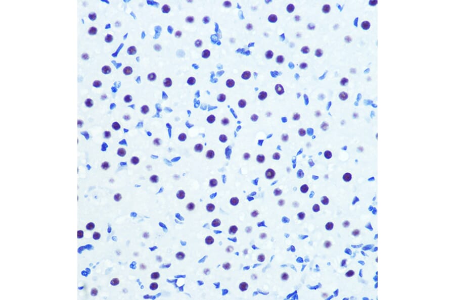
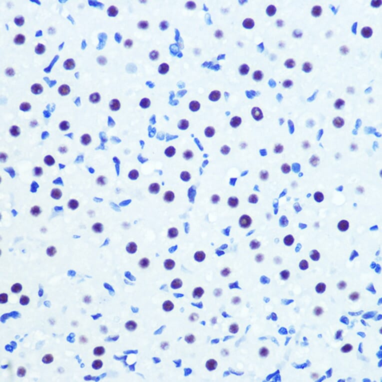
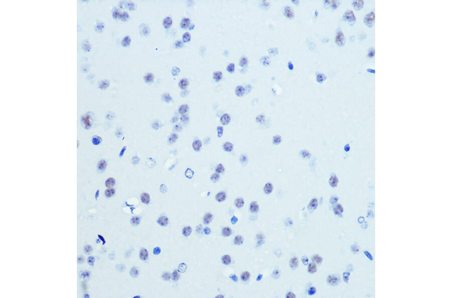
Immunohistochemistry analysis of paraffin-embedded mouse brain using Anti-Cdk9 Antibody [ARC0527] (A81021) at a dilution of 1:100 (40x lens). Perform microwave antigen retrieval with 10 mM PBS buffer pH 7.2 before commencing with IHC staining protocol.
Confocal imaging of U-2 0S cells using Anti-Cdk9 Antibody [ARC0527] (A81021), at a dilution of 1:50, (red). The cells were counterstained with Anti-alpha Tubulin Antibody, at a dilution of 1:400, (green). DAPI was used for nuclear staining (Blue). Objective: 60x.
Western Blot - Anti-Cdk9 Antibody [ARC0527] (A81021)
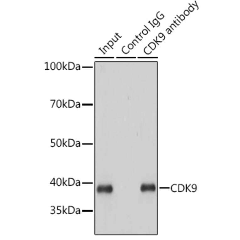
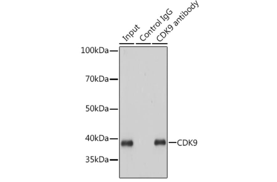
Immunoprecipitation analysis of 200µg extracts of HeLa cells using 3µg of Anti-Cdk9 Antibody [ARC0527] (A81021). This Western blot was performed on the immunoprecipitate using Anti-Cdk9 Antibody [ARC0527] (A81021) at a dilution of 1:1000.
Chromatin immunoprecipitations analysis of cross-linked chromatin from DLD-1 cells, using Anti-Cdk9 Antibody [ARC0527] (A81021). The ChIP sequencing results indicate the enrichment pattern of CDK9 in selected genomic region and representative gene loci (e. g. RAC1, GAPDH and ACTB), as shown in figure.