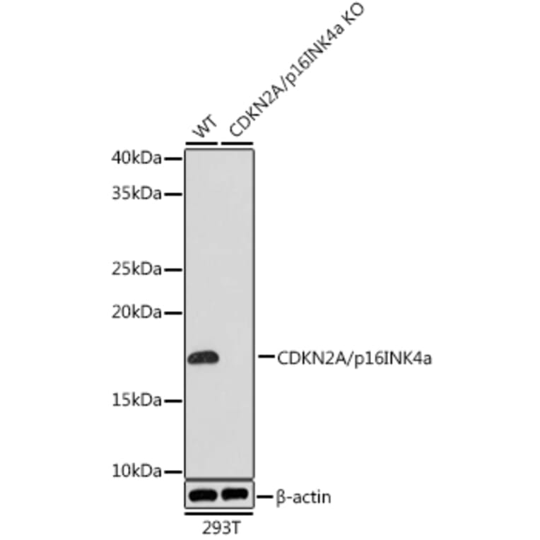
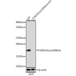
Western Blot - Anti-CDKN2A/p16INK4aF Antibody [ARC0661] (A80851)
Western blot analysis of extracts from wild type (WT) and CDKN2A/p16INK4a knockout (KO) 293T cells, using Anti-CDKN2A/p16INK4aF Antibody (A80851) at 1:1,000 dilution. The secondary antibody was Goat Anti-Rabbit IgG H&L Antibody (HRP) at 1:10,000 dilution. Lysates/proteins were present at 25µg per lane. The blocking buffer used was 3% non-fat dry milk in TBST. Detection was with a ECL Basic Kit. Exposure time: 3min.
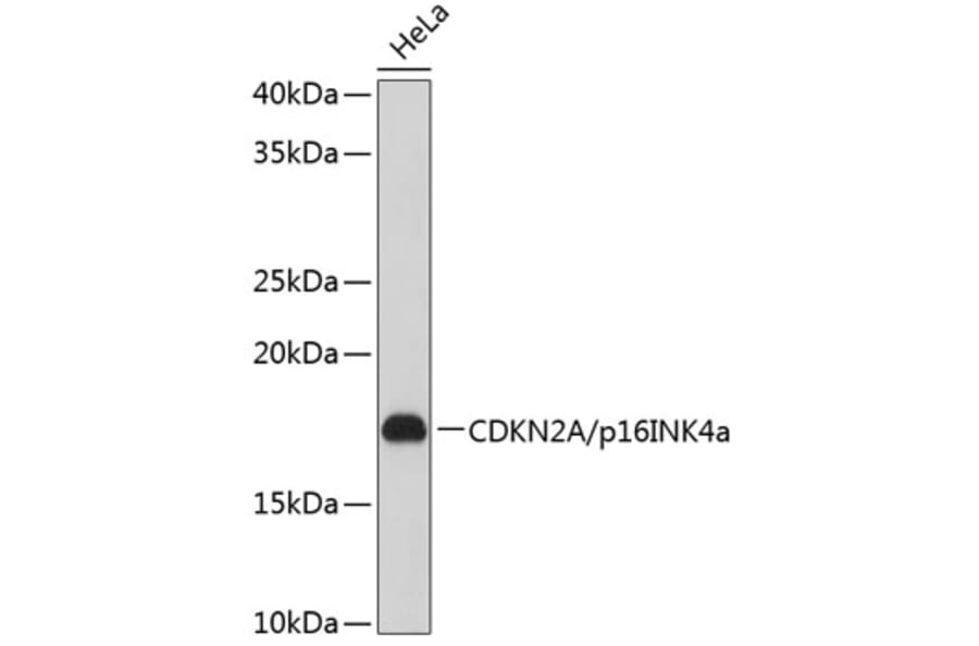
Western Blot - Anti-CDKN2A/p16INK4aF Antibody [ARC0661] (A80851)
Western blot analysis of extracts of HeLa cells, using Anti-CDKN2A/p16INK4aF Antibody (A80851) at 1:1,000 dilution. The secondary antibody was Goat Anti-Rabbit IgG H&L Antibody (HRP) at 1:10,000 dilution. Lysates/proteins were present at 25µg per lane. The blocking buffer used was 3% non-fat dry milk in TBST. Detection was with a ECL Basic Kit. Exposure time: 3min.
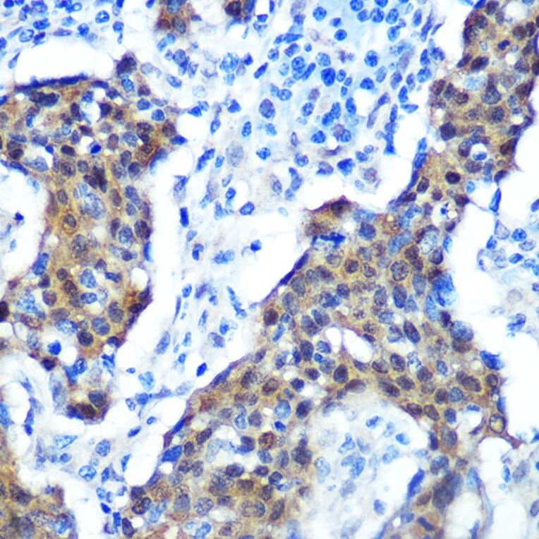
Immunohistochemistry analysis of paraffin-embedded human cervix cancer tissue using Anti-CDKN2A/p16INK4aF Antibody (A80851) at a dilution of 1:100 (40x lens). Perform microwave antigen retrieval with 10 mM PBS buffer pH 7.2 before commencing with IHC staining protocol.
Immunofluorescence analysis of HeLa cells using Anti-CDKN2A/p16INK4aF Antibody (A80851) at a dilution of 1:100 (40x lens). DAPI was used to stain the cell nuclei (blue).
Publishing research using Anti-CDKN2A/p16INK4aF Antibody [ARC0661] (A80851)? Please let us know so that we can list the citation on this page.