Primary Antibodies
Secondary Antibodies
Proteins & Peptides
ELISA Kits
About Us
Contact Us
Sign In/Register
0
ISO 9001:2015 Certified
Live Customer Support
4.5/5 on Trustpilot
100% Quality Guarantee
Home
Primary Antibodies
CDNF Antibodies
Anti-CDNF Antibody (A48382)
Anti-CDNF Antibody (A48382)
Overview
Specifications
Images
Enlarge Image
Enlarge Image
$780
Product Datasheet
Rabbit polyclonal antibody to CDNF for ELISA, WB and IHC.
100% Guarantee
Price Match Guarantee
Product Size:
100µl
Quantity:
1
2
3
4
5
6
7
8
9
10
Add To Cart
Request a Quotation
Custom or Bulk Request
Shipping Information
Freight/Packing Charges:
$40
Dispatched from St. Louis, MO.
Lead Time: 6-9 business days.
Specifications
Name
Anti-CDNF Antibody
Description
Rabbit polyclonal antibody to CDNF
Specificity
This antibody does not cross-react with MANF.
Applications
ELISA
,
WB
,
IHC
Reactivity
Human, Mouse, Rat
Immunogen
Raised against a 9 amino acid peptide from near the carboxy terminus of human CDNF.
Host
Rabbit
Clonality
Polyclonal
Conjugate
Unconjugated
Purification
Affinity chromatography purified via peptide column
Formulation
Supplied in phosphate-buffered saline with 0.02% Sodium Azide.
Storage
Shipped at 4°C. Upon delivery aliquot and store at -20°C. Avoid freeze/thaw cycles.
Synonyms
ARMET-like protein 1, ARMETL1, Cerebral dopamine neurotrophic factor, Conserved dopamine neurotrophic factor
Suitable Secondaries
Goat Anti-Rabbit IgG H&L Antibody (AP) (A294874)
Goat Anti-Rabbit IgG H&L Antibody (Biotin) (A294795)
Goat Anti-Rabbit IgG H&L Antibody (FITC) (A294887)
Goat Anti-Rabbit IgG H&L Antibody (HRP) (A294888)
See all Anti-Rabbit IgG Secondaries →
Disclaimer
This product is for research use only. It is not intended for diagnostic or therapeutic use.
Scientific Validation Data
Validation Data
(2)
Enlarge Image
Anti-CDNF Antibody (A48382)
Western blot analysis of CDNF in mouse brain tissue lysate with CDNF antibody at (A) 2 and (B) 4 µg/mL.
Enlarge Image
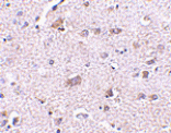
Immunohistochemistry - Anti-CDNF Antibody (A48382)
Immunohistochemistry of CDNF in human brain tissue with CDNF antibody at 2.5 µg/mL.
Publishing research using Anti-CDNF Antibody (A48382)? Please
let us know
so that we can list the citation on this page.
Alternative products to Anti-CDNF Antibody (A48382)
(2)
A48383
Anti-CDNF Antibody
Rabbit polyclonal antibody to CDNF for ELISA, WB and IHC.
(2)
A48383
Anti-CDNF Antibody
Rabbit polyclonal antibody to CDNF for ELISA, WB and IHC.
Proteins predicted to interact with CDNF
Predicted protein interactions based upon String database. Revelancy score correlates with probability of interaction.
GDNF Antibodies
85.5% Relevancy Score
Tyrosine Hydroxylase Antibodies
76.8% Relevancy Score
Neurturin Antibodies
72% Relevancy Score
BIP Antibodies
67.4% Relevancy Score
BDNF Antibodies
66.3% Relevancy Score
PSAP Antibodies
57.1% Relevancy Score
Persephin Antibodies
56.7% Relevancy Score
ANKRD45 Antibodies
54.1% Relevancy Score
XBP1 Antibodies
53.1% Relevancy Score
Top