ISO 9001:2015 Certified
Live Customer Support
4.5/5 on Trustpilot
100% Quality Guarantee

Anti-CDw75 Antibody [ZB55] - BSA and Azide free (A254339)

Mouse monoclonal [ZB55] antibody to CDw75 for Flow Cytometry, IF and IHC-P.

Alternative Formats and ConjugatesAlternative Formats

Shipping Information

$40
Dispatched from St. Louis, MO.
Lead Time: 5-8 business days.
Name
Anti-CDw75 Antibody [ZB55] - BSA and Azide free
Description
Mouse monoclonal [ZB55] antibody to CDw75.
Specificity
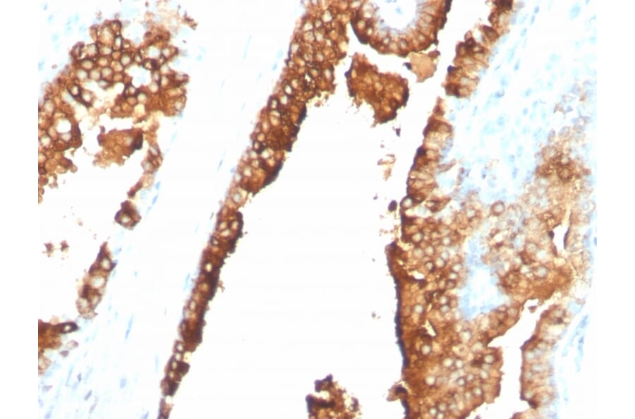
This antibody recognizes a neuraminidase-sensitive sialoprotein (CDw75), present on cell membrane and cytoplasm of germinal center B-cells and derived lymphomas. This MAb reacts with RBC precursors of bone marrow, ductal and ciliated epithelial cells of kidney, breast, prostate, pancreas, lung, and with glioblastomas, astrocytomas, and Reed Sternberg cells in lymphocyte predominant Hodgkin s disease. It is shown to be a helpful antibody for ascribing a B-cell phenotype in known lymphoid tissues.
Applications
Flow Cytometry, IF, IHC-P
Dilutions
Flow Cytometry: 1-2 µg/million cells, IF: 1-2 µg/ml, IHC-P: 1-2 µg/ml
Reactivity
Human
Immunogen
CD32 peptides.
Host
Mouse
Clonality
Monoclonal
Clone ID
ZB55
Isotype
IgM
Light Chains
kappa
Conjugate

Unconjugated

Purification
PEG precipitation.
Concentration
1 mg/ml
Product Form
Liquid
Formulation
Supplied in 10mM Phosphate Buffered Saline; without Sodium Azide and carrier free.
Storage
Shipped at 4°C. Upon delivery aliquot and store at -20°C. Avoid freeze / thaw cycles.
General Notes
This monoclonal antibody is also available in a different formulation with BSA and Sodium Azide - Anti-CDw75 Antibody [ZB55] (A251062).
Isotype Controls
Disclaimer
This product is for research use only. It is not intended for diagnostic or therapeutic use.
Publishing research using Anti-CDw75 Antibody [ZB55] - BSA and Azide free (A254339)? Please let us know so that we can list the citation on this page.

Alternative products to Anti-CDw75 Antibody [ZB55] - BSA and Azide free (A254339)