Primary Antibodies
Secondary Antibodies
Proteins & Peptides
ELISA Kits
About Us
Contact Us
Sign In/Register
0
ISO 9001:2015 Certified
Live Customer Support
4.5/5 on Trustpilot
100% Quality Guarantee
Home
Primary Antibodies
CDYL2 Antibodies
Anti-CDYL2 Antibody (A100687)
Anti-CDYL2 Antibody (A100687)
Overview
Specifications
Images
Enlarge Image
Enlarge Image
Enlarge Image
$190
Product Datasheet
Rabbit polyclonal antibody to CDYL2 for IHC and ELISA.
100% Guarantee
Price Match Guarantee
Product Size:
10µg
100µg
Quantity:
1
2
3
4
5
6
7
8
9
10
Add To Cart
Request a Quotation
Custom or Bulk Request
Shipping Information
Freight/Packing Charges:
$40
Dispatched from St. Louis, MO.
Lead Time: 6-8 business days.
Specifications
Name
Anti-CDYL2 Antibody
Description
Rabbit polyclonal antibody to CDYL2.
Applications
IHC
,
ELISA
Dilutions
IHC: 1:50-1:100, ELISA: 1:20000
Reactivity
Human
Immunogen
Synthetic peptide derived from human CDYL2 (amino acids 31-80).
Host
Rabbit
Clonality
Polyclonal
Isotype
IgG
Conjugate
Unconjugated
Purification
Purified from rabbit serum by antigen affinity chromatography using the immunizing peptide.
Molecular Weight
56kDa
Product Form
Liquid
Formulation
Supplied in Phosphate Buffered Saline (without Mg2+ and Ca2+), pH 7.4, with 150mM NaCl, 0.02% Sodium Azide, and 50% Glycerol.
Storage
Shipped at 4°C. Upon delivery aliquot and store at -20°C. Avoid freeze / thaw cycles.
Synonyms
CDY-like 2, Chromodomain Y-like protein 2
Isotype Controls
Rabbit IgG (A82272)
Rabbit IgG (A17360)
Suitable Secondaries
Goat Anti-Rabbit IgG H&L Antibody (AP) (A294874)
Goat Anti-Rabbit IgG H&L Antibody (Biotin) (A294795)
Goat Anti-Rabbit IgG H&L Antibody (FITC) (A294887)
Goat Anti-Rabbit IgG H&L Antibody (HRP) (A294888)
See all Anti-Rabbit IgG Secondaries →
Disclaimer
This product is for research use only. It is not intended for diagnostic or therapeutic use.
Scientific Validation Data
Validation Data
(3)
Enlarge Image
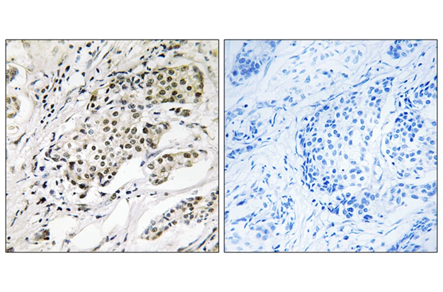
Immunohistochemistry - Anti-CDYL2 Antibody (A100687)
Immunohistochemical analysis of paraffin-embedded human breast carcinoma using Anti-CDYL2 Antibody. The right hand panel represents a negative control, where the antibody was pre-incubated with the immunising peptide.
Enlarge Image
Western Blot - Anti-CDYL2 Antibody (A100687)
Western blot analysis of various cells using Anti-CDYL2 Antibody.
Enlarge Image
Western Blot - Anti-CDYL2 Antibody (A100687)
Western blot analysis of HEPG2 cells using Anti-CDYL2 Antibody.
Publishing research using Anti-CDYL2 Antibody (A100687)? Please
let us know
so that we can list the citation on this page.
Alternative products to Anti-CDYL2 Antibody (A100687)
(2)
A35694
Anti-CDYL2 Antibody
Rabbit polyclonal antibody to CDYL2 for WB, IHC, ICC and ELISA.
A10139
Anti-CDYL2 Antibody
Rabbit polyclonal antibody to CDYL2 for WB.
A32047
Anti-CDYL2 Antibody
Rabbit polyclonal antibody to CDYL2 for WB and IHC.
(2)
A35694
Anti-CDYL2 Antibody
Rabbit polyclonal antibody to CDYL2 for WB, IHC, ICC and ELISA.
A10139
Anti-CDYL2 Antibody
Rabbit polyclonal antibody to CDYL2 for WB.
A32047
Anti-CDYL2 Antibody
Rabbit polyclonal antibody to CDYL2 for WB and IHC.
Proteins predicted to interact with CDYL2
Predicted protein interactions based upon String database. Revelancy score correlates with probability of interaction.
Sterol Carrier Protein 2 Antibodies
82.6% Relevancy Score
ACAA1 Antibodies
64% Relevancy Score
ACAT1 Antibodies
63.6% Relevancy Score
ACAA2 Antibodies
63.6% Relevancy Score
ACAT2 Antibodies
63.6% Relevancy Score
CART Antibodies
63.6% Relevancy Score
HADHB Antibodies
63.6% Relevancy Score
DAZ2 Antibodies
63.5% Relevancy Score
Deleted in Azoospermia 4 Antibodies
63% Relevancy Score
Top