Primary Antibodies
Secondary Antibodies
Proteins & Peptides
ELISA Kits
About Us
Contact Us
Sign In/Register
0
ISO 9001:2015 Certified
Live Customer Support
4.5/5 on Trustpilot
100% Quality Guarantee
Home
Primary Antibodies
CEP164 Antibodies
Anti-CEP164 Antibody (A47611)
Anti-CEP164 Antibody (A47611)
Overview
Specifications
Images
Enlarge Image
Enlarge Image
$780
Product Datasheet
Rabbit polyclonal antibody to CEP164 for ELISA, WB and IHC.
100% Guarantee
Price Match Guarantee
Product Size:
100µl
Quantity:
1
2
3
4
5
6
7
8
9
10
Add To Cart
Request a Quotation
Custom or Bulk Request
Shipping Information
Freight/Packing Charges:
$40
Dispatched from St. Louis, MO.
Lead Time: 6-9 business days.
Specifications
Name
Anti-CEP164 Antibody
Description
Rabbit polyclonal antibody to CEP164
Applications
ELISA
,
WB
,
IHC
Reactivity
Human, Mouse, Rat
Immunogen
Raised against an 18 amino acid peptide near the amino terminus of human CEP164.
Host
Rabbit
Clonality
Polyclonal
Conjugate
Unconjugated
Purification
Affinity chromatography purified via peptide column
Formulation
Supplied in phosphate-buffered saline with 0.02% Sodium Azide.
Storage
Shipped at 4°C. Upon delivery aliquot and store at -20°C. Avoid freeze/thaw cycles.
Synonyms
Centrosomal protein of 164 kDa, KIAA1052, NPHP15
Suitable Secondaries
Goat Anti-Rabbit IgG H&L Antibody (AP) (A294874)
Goat Anti-Rabbit IgG H&L Antibody (Biotin) (A294795)
Goat Anti-Rabbit IgG H&L Antibody (FITC) (A294887)
Goat Anti-Rabbit IgG H&L Antibody (HRP) (A294888)
See all Anti-Rabbit IgG Secondaries →
Disclaimer
This product is for research use only. It is not intended for diagnostic or therapeutic use.
Scientific Validation Data
Validation Data
(2)
Enlarge Image
Anti-CEP164 Antibody (A47611)
Western blot analysis of CEP164 in rat heart tissue lysate with CEP164 antibody at (A) 1 and (B) 2 µg/mL.
Enlarge Image
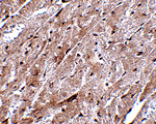
Immunohistochemistry - Anti-CEP164 Antibody (A47611)
Immunohistochemistry of CEP164 in mouse heart tissue with CEP164 antibody at 5 µg/mL.
Publishing research using Anti-CEP164 Antibody (A47611)? Please
let us know
so that we can list the citation on this page.
Alternative products to Anti-CEP164 Antibody (A47611)
A338371
Anti-CEP164 Nanobody [10Z]
Recombinant alpaca monoclonal [10Z] nanobody to CEP164 for ELISA.
A338372
Anti-CEP164 Nanobody [36Z]
Recombinant alpaca monoclonal [36Z] nanobody to CEP164 for ELISA.
A338371
Anti-CEP164 Nanobody [10Z]
Recombinant alpaca monoclonal [10Z] nanobody to CEP164 for ELISA.
A338372
Anti-CEP164 Nanobody [36Z]
Recombinant alpaca monoclonal [36Z] nanobody to CEP164 for ELISA.
Proteins predicted to interact with CEP164
Predicted protein interactions based upon String database. Revelancy score correlates with probability of interaction.
CCDC41 Antibodies
99.7% Relevancy Score
TTBK2 Antibodies
99.3% Relevancy Score
RAB3IP Antibodies
89.4% Relevancy Score
PLK1 Antibodies
87.8% Relevancy Score
RAB8A Antibodies
87.1% Relevancy Score
ARL13B Antibodies
82.7% Relevancy Score
IFT88 Antibodies
82% Relevancy Score
ODF2 Antibodies
81.4% Relevancy Score
Dishevelled 3 Antibodies
80.5% Relevancy Score
Top