Primary Antibodies
Secondary Antibodies
Proteins & Peptides
ELISA Kits
About Us
Contact Us
Sign In/Register
0
ISO 9001:2015 Certified
Live Customer Support
4.5/5 on Trustpilot
100% Quality Guarantee
Home
Primary Antibodies
CERK Antibodies
Anti-CERK Antibody (A46772)
Anti-CERK Antibody (A46772)
Overview
Specifications
Images
Enlarge Image
Enlarge Image
$430
Product Datasheet
Rabbit polyclonal antibody to CERK for IHC.
100% Guarantee
Price Match Guarantee
Product Size:
100µl
Quantity:
1
2
3
4
5
6
7
8
9
10
Add To Cart
Request a Quotation
Custom or Bulk Request
Shipping Information
Freight/Packing Charges:
$40
Dispatched from St. Louis, MO.
Lead Time: 6-9 business days.
Specifications
Name
Anti-CERK Antibody
Description
Rabbit polyclonal antibody to CERK
Specificity
The antibody detects endogenous levels of total CERK protein.
Applications
IHC
Reactivity
Human
Immunogen
Fusion protein corresponding to a region derived from internal residues of human ceramide kinase
Host
Rabbit
Clonality
Polyclonal
Conjugate
Unconjugated
Purification
Antigen affinity purification.
Concentration
1.5 mg/mL
Formulation
Supplied in PBS, pH 7.3, containing 0.05% sodium azide and 50% glycerol.
Storage
Shipped at 4°C. Upon delivery aliquot and store at -20°C. Avoid freeze/thaw cycles.
Synonyms
Acylsphingosine kinase, Ceramide kinase, hCERK, KIAA1646, Lipid kinase 4, LK4
Suitable Secondaries
Goat Anti-Rabbit IgG H&L Antibody (AP) (A294874)
Goat Anti-Rabbit IgG H&L Antibody (Biotin) (A294795)
Goat Anti-Rabbit IgG H&L Antibody (FITC) (A294887)
Goat Anti-Rabbit IgG H&L Antibody (HRP) (A294888)
See all Anti-Rabbit IgG Secondaries →
Disclaimer
This product is for research use only. It is not intended for diagnostic or therapeutic use.
Scientific Validation Data
Validation Data
(2)
Enlarge Image
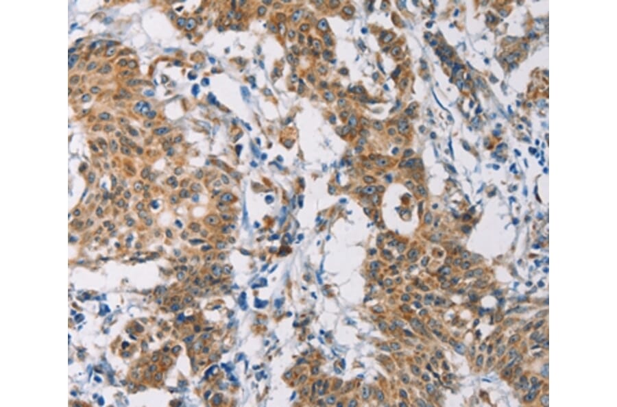
Immunohistochemistry - Anti-CERK Antibody (A46772)
Immunohistochemical analysis of paraffin-embedded Human liver cancer tissue using #36237 at dilution 1/30.
Enlarge Image
Immunohistochemistry - Anti-CERK Antibody (A46772)
Immunohistochemical analysis of paraffin-embedded Human gastric cancer tissue using #36237 at dilution 1/30.
Publishing research using Anti-CERK Antibody (A46772)? Please
let us know
so that we can list the citation on this page.
Alternative products to Anti-CERK Antibody (A46772)
A90641
Anti-CERK Antibody
Rabbit polyclonal antibody to CERK for WB.
A304573
Anti-Ceramide Kinase Antibody
Rabbit polyclonal antibody to Ceramide Kinase for IHC and IHC-P.
A90641
Anti-CERK Antibody
Rabbit polyclonal antibody to CERK for WB.
A304573
Anti-Ceramide Kinase Antibody
Rabbit polyclonal antibody to Ceramide Kinase for IHC and IHC-P.
Proteins predicted to interact with CERK
Predicted protein interactions based upon String database. Revelancy score correlates with probability of interaction.
ASAH1 Antibodies
97.9% Relevancy Score
Ceramide Glucosyltransferase Antibodies
97.7% Relevancy Score
ASAH2 Antibodies
97.5% Relevancy Score
ASAH3 Antibodies
97% Relevancy Score
LASS6 Antibodies
96.9% Relevancy Score
ASM Antibodies
96.8% Relevancy Score
Ceramide Synthase 2 Antibodies
96.7% Relevancy Score
Sphingomyelin Synthase 1 Antibodies
96.7% Relevancy Score
LASS4 Antibodies
96.5% Relevancy Score
Top