ISO 9001:2015 Certified
Live Customer Support
4.5/5 on Trustpilot
100% Quality Guarantee

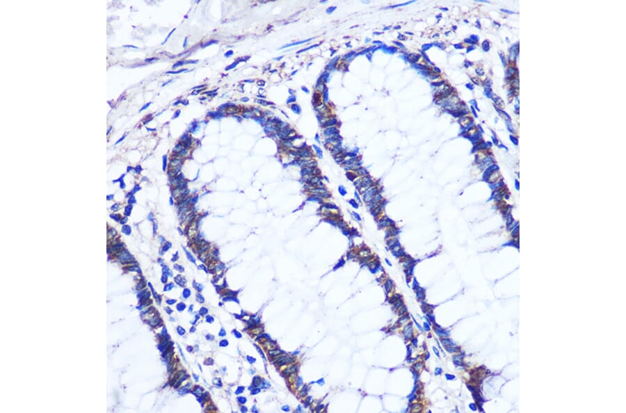
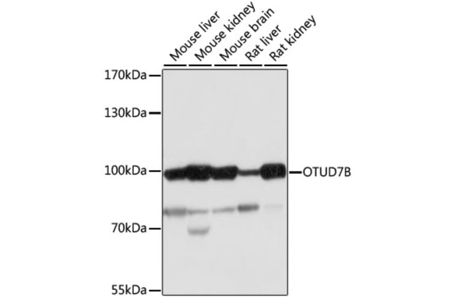
Anti-Cezanne Antibody (A91450)

Rabbit polyclonal antibody to Cezanne for WB, IHC and ICC/IF.

Shipping Information

$40
Dispatched from St. Louis, MO.
Lead Time: 7-10 business days.
Name
Anti-Cezanne Antibody
Description
Rabbit polyclonal antibody to Cezanne.
Applications
WB, IHC, ICC/IF
Dilutions
WB: 1:500-1:2,000, IHC: 1:50-1:200, ICC/IF: 1:50-1:200
Reactivity
Human, Mouse, Rat
Immunogen
Recombinant fusion protein containing a sequence corresponding to amino acids 530-700 of human OTUD7B (NP_064590.2).
Sequence
SKPGGVGTGLGGSSGTETLEKKKKNSLKSWKGGKEEAAGDGPVSEKPPAESVGNGGSKYSQEVMQSLSILRTAMQGEGKFIFVGTLKMGHRHQYQEEMIQRYLSDAEERFLAEQKQKEAERKIMNGGIGGGPPPAKKPEPDAREEQPTGPPAESRAMAFSTGYPGDFTIPR
Host
Rabbit
Clonality
Polyclonal
Isotype
IgG
Conjugate

Unconjugated

Purification
Affinity purification.
Concentration
Lot Specific
Molecular Weight
95 kDa
Product Form
Liquid
Formulation
Supplied in Phosphate Buffered Saline, pH 7.3, with 50% Glycerol and 0.01% Thiomersal.
Storage
Shipped at 4°C. Upon delivery aliquot and store at -20°C. Avoid freeze/thaw cycles.
Synonyms
Cellular zinc finger anti-NF-kappa-B protein, OTU domain-containing protein 7B, ZA20D1, Zinc finger A20 domain-containing protein 1, Zinc finger protein Cezanne
Disclaimer
This product is for research use only. It is not intended for diagnostic or therapeutic use.
Publishing research using Anti-Cezanne Antibody (A91450)? Please let us know so that we can list the citation on this page.

Proteins predicted to interact with OTUD7B

Predicted protein interactions based upon String database. Revelancy score correlates with probability of interaction.
99.3% Relevancy Score
96.2% Relevancy Score
96.2% Relevancy Score
93.8% Relevancy Score
88.8% Relevancy Score
87.2% Relevancy Score
86.5% Relevancy Score
84.9% Relevancy Score
84.6% Relevancy Score