ISO 9001:2015 Certified
Live Customer Support
4.5/5 on Trustpilot
100% Quality Guarantee

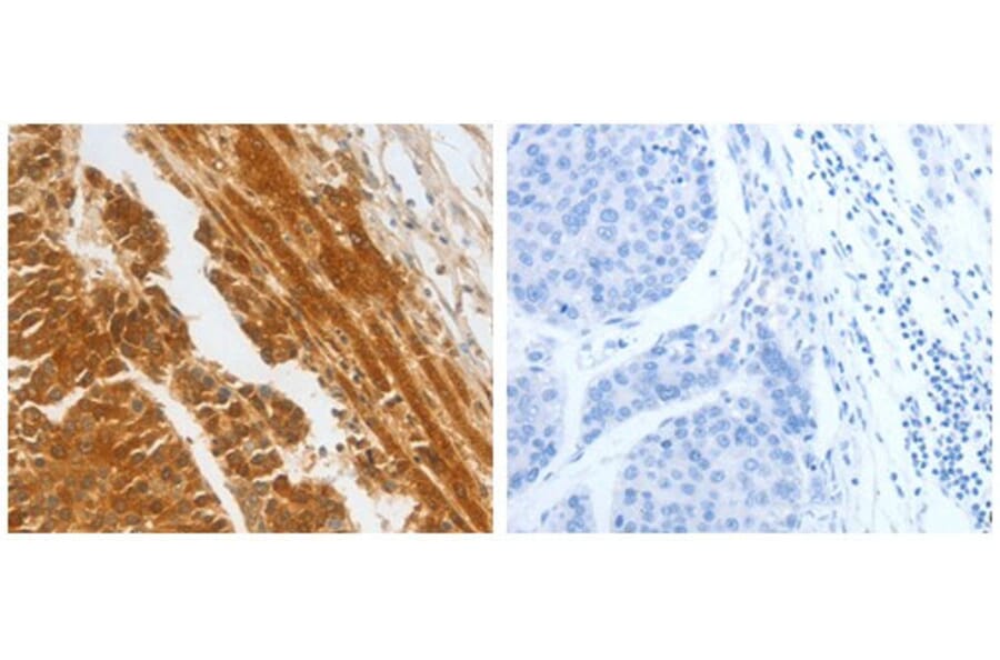
Anti-CFHR1 Antibody (A48101)

Rabbit polyclonal antibody to CFHR1 for ELISA, WB and IHC.

Shipping Information

$40
Dispatched from St. Louis, MO.
Lead Time: 6-9 business days.
Name
Anti-CFHR1 Antibody
Description
Rabbit polyclonal antibody to CFHR1
Specificity
The antibody detects endogenous level of total CFHR1 protein.
Applications
ELISA, WB, IHC
Dilutions
ELISA: 1:2000-1:5000 Western blotting: 1:500-1:2000 Immunohistochemistry: 1:50-1:200
Reactivity
Human, Mouse
Immunogen
Fusion protein corresponding to a region derived from 22-330 amino acids of human complement factor H-related 1
Host
Rabbit
Clonality
Polyclonal
Conjugate

Unconjugated

Predicted MW
38kd
Formulation
Supplied in phosphate-buffered saline (without Mg²? and Ca²?), pH 7.3, containing 150 mM NaCl, 0.05% sodium azide, and 50% glycerol.
Storage
Shipped at 4°C. Upon delivery aliquot and store at -20°C. Avoid freeze/thaw cycles.
Synonyms
CFHL, CFHL1, CFHL1P, CFHR1P, Complement factor H-related protein 1, FHL-1, FHR-1, FHR1, H factor-like protein 1, H-factor-like 1, H36, HFL1, HFL2
Disclaimer
This product is for research use only. It is not intended for diagnostic or therapeutic use.
Publishing research using Anti-CFHR1 Antibody (A48101)? Please let us know so that we can list the citation on this page.

Alternative products to Anti-CFHR1 Antibody (A48101)

Proteins predicted to interact with CFHR1

Predicted protein interactions based upon String database. Revelancy score correlates with probability of interaction.
99.9% Relevancy Score
92.1% Relevancy Score
91% Relevancy Score
89.8% Relevancy Score
86.1% Relevancy Score
83.3% Relevancy Score
79.2% Relevancy Score
77.6% Relevancy Score
76.9% Relevancy Score