Primary Antibodies
Secondary Antibodies
Proteins & Peptides
ELISA Kits
About Us
Contact Us
Sign In/Register
0
ISO 9001:2015 Certified
Live Customer Support
4.5/5 on Trustpilot
100% Quality Guarantee
Home
Primary Antibodies
CFTR Antibodies
Anti-CFTR Antibody (A46826)
Anti-CFTR Antibody (A46826)
Overview
Specifications
Images
Enlarge Image
$430
Product Datasheet
Rabbit polyclonal antibody to CFTR for IHC.
100% Guarantee
Price Match Guarantee
Product Size:
100µl
Quantity:
1
2
3
4
5
6
7
8
9
10
Add To Cart
Request a Quotation
Custom or Bulk Request
Shipping Information
Freight/Packing Charges:
$40
Dispatched from St. Louis, MO.
Lead Time: 6-9 business days.
Tags:
Endosomal Marker
Specifications
Name
Anti-CFTR Antibody
Description
Rabbit polyclonal antibody to CFTR
Specificity
The antibody detects endogenous levels of total CFTR protein.
Applications
IHC
Reactivity
Human
Immunogen
Synthetic peptide corresponding to a region derived from internal residues of human Cystic fibrosis transmembrane conductance regulator
Host
Rabbit
Clonality
Polyclonal
Conjugate
Unconjugated
Purification
Antigen affinity purification.
Concentration
0.4 mg/mL
Formulation
Supplied in PBS, pH 7.3, containing 0.05% sodium azide and 50% glycerol.
Storage
Shipped at 4°C. Upon delivery aliquot and store at -20°C. Avoid freeze/thaw cycles.
Synonyms
ABCC7, ATP-binding cassette sub-family C member 7, cAMP-dependent chloride channel, Channel conductance-controlling ATPase, Cystic fibrosis transmembrane conductance regulator, EC:5.6.1.6
Suitable Secondaries
Goat Anti-Rabbit IgG H&L Antibody (AP) (A294874)
Goat Anti-Rabbit IgG H&L Antibody (Biotin) (A294795)
Goat Anti-Rabbit IgG H&L Antibody (FITC) (A294887)
Goat Anti-Rabbit IgG H&L Antibody (HRP) (A294888)
See all Anti-Rabbit IgG Secondaries →
Disclaimer
This product is for research use only. It is not intended for diagnostic or therapeutic use.
Scientific Validation Data
Validation Data
(1)
Enlarge Image
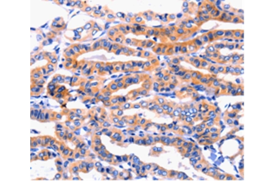
Immunohistochemistry - Anti-CFTR Antibody (A46826)
Immunohistochemical analysis of paraffin-embedded Human thyroid cancer tissue using #36791 at dilution 1/8.
Publishing research using Anti-CFTR Antibody (A46826)? Please
let us know
so that we can list the citation on this page.
Alternative products to Anti-CFTR Antibody (A46826)
(4)
A96225
Anti-CFTR Antibody
Rabbit polyclonal antibody to CFTR for WB, IHC and ELISA.
(2)
A36005
Anti-CFTR Antibody
Rabbit polyclonal antibody to CFTR for ELISA, WB and IHC.
(2)
A25551
Anti-CFTR (E733) Antibody
Rabbit polyclonal antibody to CFTR (E733) for WB and IHC.
(2)
A12248
Anti-CFTR Antibody
Rabbit polyclonal antibody to CFTR for WB and ICC/IF.
(2)
A326231
Anti-CFTR Antibody
Goat polyclonal antibody to CFTR for ELISA and IHC.
(3)
A251341
Anti-CFTR Antibody [CFTR/1643] - BSA and Azide free
Mouse monoclonal [CFTR/1643] antibody to CFTR for Flow Cytometry and IHC-P.
A251340
Anti-CFTR Antibody [SPM176] - BSA and Azide free
Mouse monoclonal [SPM176] antibody to CFTR for IF, WB and IHC-P.
(3)
A248158
Anti-CFTR Antibody [CFTR/1643]
Mouse monoclonal [CFTR/1643] antibody to CFTR for Flow Cytometry and IHC-P.
A248157
Anti-CFTR Antibody [SPM176]
Mouse monoclonal [SPM176] antibody to CFTR for IF, WB and IHC-P.
(2)
A251345
Anti-CFTR Antibody [CFTR/2290R] - BSA and Azide free
Recombinant rabbit monoclonal [CFTR/2290R] antibody to CFTR for IHC-P.
(2)
A251343
Anti-CFTR Antibody [rCFTR/1342] - BSA and Azide free
Recombinant mouse monoclonal [rCFTR/1342] antibody to CFTR for IHC-P.
(2)
A248162
Anti-CFTR Antibody [CFTR/2290R]
Recombinant rabbit monoclonal [CFTR/2290R] antibody to CFTR for IHC-P.
(4)
A96225
Anti-CFTR Antibody
Rabbit polyclonal antibody to CFTR for WB, IHC and ELISA.
(2)
A36005
Anti-CFTR Antibody
Rabbit polyclonal antibody to CFTR for ELISA, WB and IHC.
(2)
A25551
Anti-CFTR (E733) Antibody
Rabbit polyclonal antibody to CFTR (E733) for WB and IHC.
(2)
A12248
Anti-CFTR Antibody
Rabbit polyclonal antibody to CFTR for WB and ICC/IF.
(2)
A326231
Anti-CFTR Antibody
Goat polyclonal antibody to CFTR for ELISA and IHC.
(3)
A251341
Anti-CFTR Antibody [CFTR/1643] - BSA and Azide free
Mouse monoclonal [CFTR/1643] antibody to CFTR for Flow Cytometry and IHC-P.
A251340
Anti-CFTR Antibody [SPM176] - BSA and Azide free
Mouse monoclonal [SPM176] antibody to CFTR for IF, WB and IHC-P.
(3)
A248158
Anti-CFTR Antibody [CFTR/1643]
Mouse monoclonal [CFTR/1643] antibody to CFTR for Flow Cytometry and IHC-P.
A248157
Anti-CFTR Antibody [SPM176]
Mouse monoclonal [SPM176] antibody to CFTR for IF, WB and IHC-P.
(2)
A251345
Anti-CFTR Antibody [CFTR/2290R] - BSA and Azide free
Recombinant rabbit monoclonal [CFTR/2290R] antibody to CFTR for IHC-P.
(2)
A251343
Anti-CFTR Antibody [rCFTR/1342] - BSA and Azide free
Recombinant mouse monoclonal [rCFTR/1342] antibody to CFTR for IHC-P.
(2)
A248162
Anti-CFTR Antibody [CFTR/2290R]
Recombinant rabbit monoclonal [CFTR/2290R] antibody to CFTR for IHC-P.
See all CFTR Antibodies
Proteins predicted to interact with CFTR
Predicted protein interactions based upon String database. Revelancy score correlates with probability of interaction.
PIST Antibodies
99.2% Relevancy Score
Hsc70 Antibodies
98.6% Relevancy Score
HSP90 alpha Antibodies
98.6% Relevancy Score
PKA C alpha Antibodies
98.2% Relevancy Score
RNF5 Antibodies
97.9% Relevancy Score
PRKACG Antibodies
97.6% Relevancy Score
PRKACB Antibodies
97.6% Relevancy Score
NHERF2 Antibodies
97.5% Relevancy Score
STUB1 Antibodies
97% Relevancy Score
Top