ISO 9001:2015 Certified
Live Customer Support
4.5/5 on Trustpilot
100% Quality Guarantee

Anti-CFTR Antibody [rCFTR/6476] - BSA and Azide free (A278122)

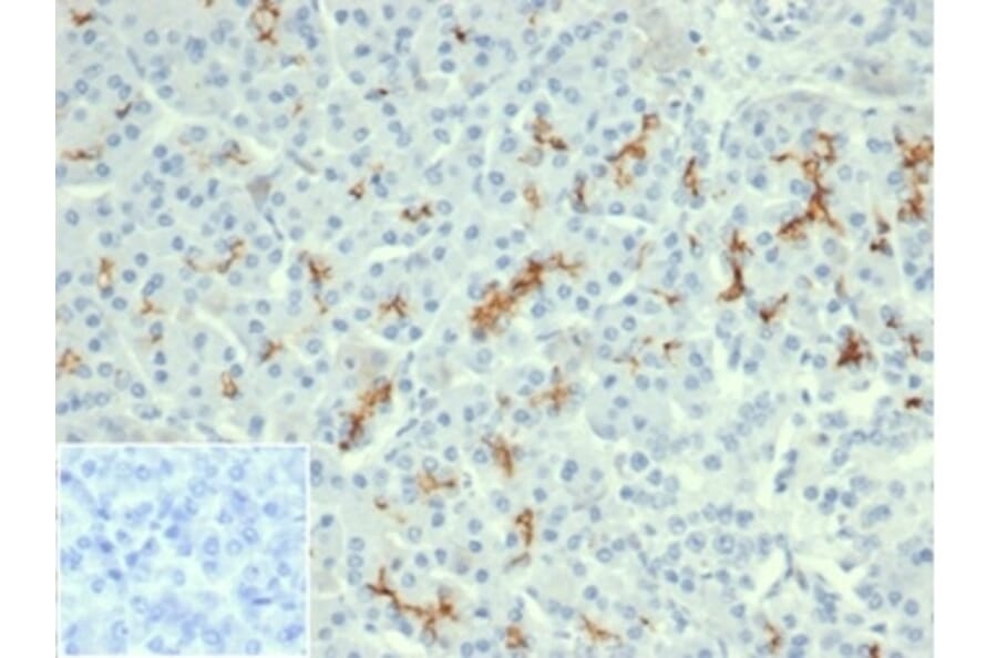
Mouse monoclonal [rCFTR/6476] antibody to CFTR for IHC-P.

Alternative Formats and ConjugatesAlternative Formats

Shipping Information

$40
Dispatched from St. Louis, MO.
Lead Time: 5-8 business days.
Name
Anti-CFTR Antibody [rCFTR/6476] - BSA and Azide free
Description
Mouse monoclonal [rCFTR/6476] antibody to CFTR.
Specificity
This antibody recognizes a protein of 165-170kDa, identified as cystic fibrosis transmembrane conductance regulator (CFTR). CFTR is composed of two membrane-spanning domains (MSD), two nucleotide-binding domains (NBD), and an R domain. It is structurally similar to multidrug resistance (Mdr1) protein and both are members of the superfamily of ATP-binding cassette (ABC) transporters, also known as traffic ATPases, which are implicated in the movement of various substrates. The CFTR protein is a small conductance adenosine 3',5'-cyclic monophosphate (cAMP)-activated chloride ion channel found in the apical membranes of epithelia within the pancreas, airway, intestine, bile duct, sweat gland, and male genital ducts. CFTR is a valuable marker of human pancreatic duct cell development and differentiation.
Applications
IHC-P
Dilutions
IHC-P: 0.5-2 µg/ml
Reactivity
Human
Immunogen
Recombinant fragment, around amino acids 258-385, of human CFTR protein. The exact sequence is proprietary.
Host
Mouse
Clonality
Monoclonal
Clone ID
rCFTR/6476
Isotype
IgG1
Light Chains
kappa
Conjugate

Unconjugated

Purification
Protein A chromatography.
Concentration
1 mg/ml
Molecular Weight
165-170 kDa
Product Form
Liquid
Formulation
Supplied in 10mM Phosphate Buffered Saline; without Sodium Azide and carrier free.
Storage
Shipped at 4°C. Upon delivery aliquot and store at -20°C. Avoid freeze / thaw cycles.
General Notes
This monoclonal antibody is also available in a different formulation with BSA and Sodium Azide - Anti-CFTR Antibody [rCFTR/6476] (A277534).
Synonyms
ABCC7, ATP-binding cassette sub-family C member 7, cAMP-dependent chloride channel, Channel conductance-controlling ATPase, Cystic fibrosis transmembrane conductance regulator, EC:5.6.1.6
Disclaimer
This product is for research use only. It is not intended for diagnostic or therapeutic use.
Publishing research using Anti-CFTR Antibody [rCFTR/6476] - BSA and Azide free (A278122)? Please let us know so that we can list the citation on this page.

Alternative products to Anti-CFTR Antibody [rCFTR/6476] - BSA and Azide free (A278122)

Proteins predicted to interact with CFTR

Predicted protein interactions based upon String database. Revelancy score correlates with probability of interaction.
99.9% Relevancy Score
99.2% Relevancy Score
98.6% Relevancy Score
98.6% Relevancy Score
98.2% Relevancy Score
97.9% Relevancy Score
97.6% Relevancy Score
97.6% Relevancy Score
97.5% Relevancy Score