ISO 9001:2015 Certified
Live Customer Support
4.5/5 on Trustpilot
100% Quality Guarantee

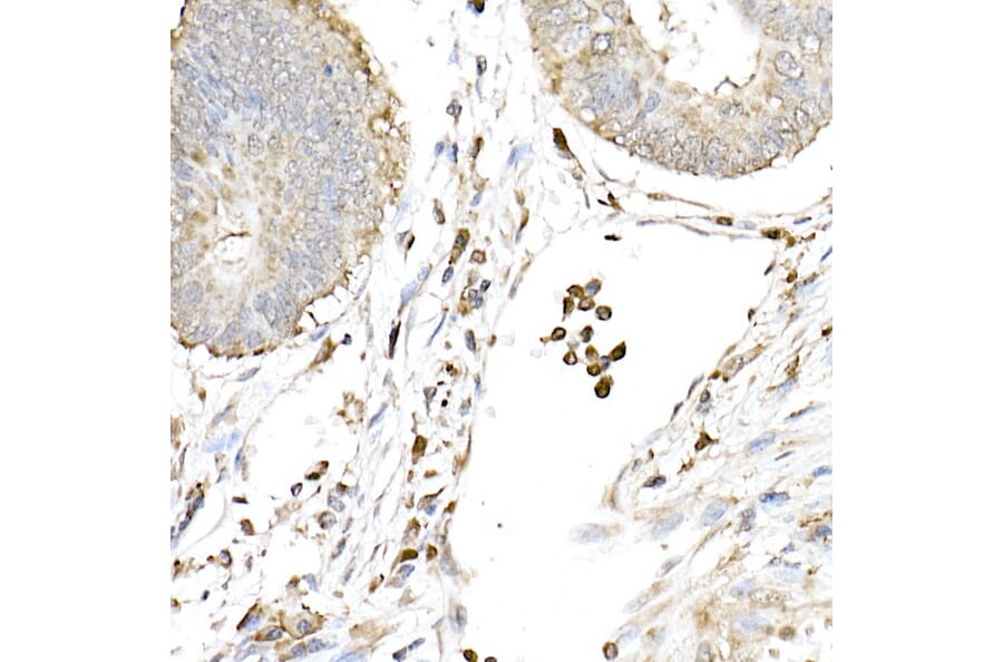
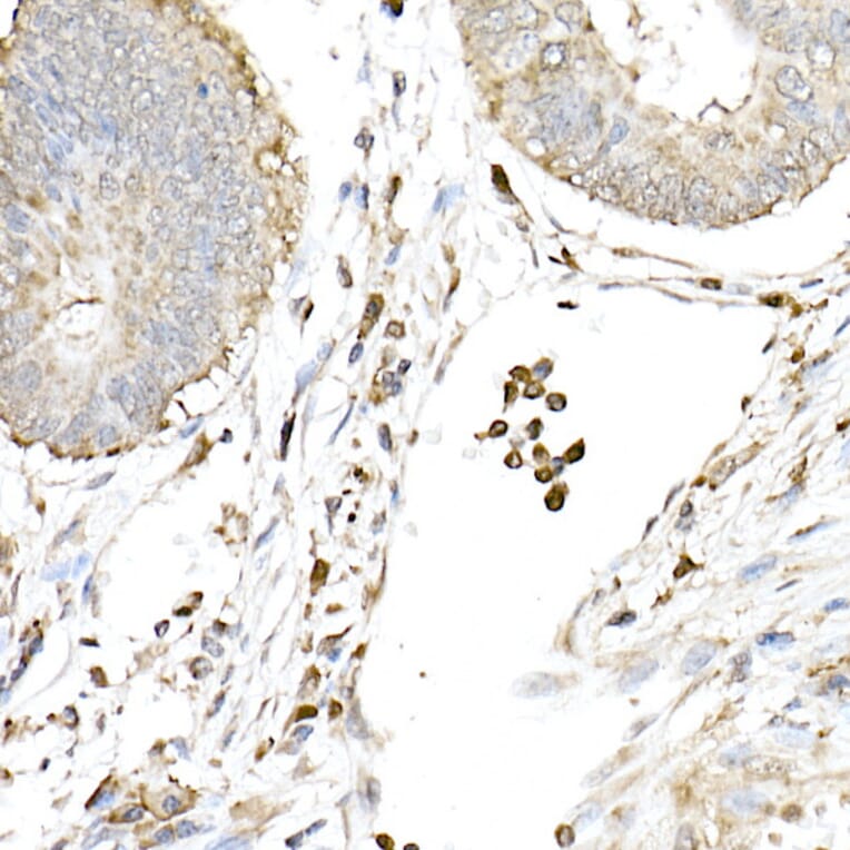
Anti-cGAS Antibody (A16161)

Rabbit polyclonal antibody to cGAS for WB, IHC and ICC/IF.

Shipping Information

$40
Dispatched from St. Louis, MO.
Lead Time: 7-10 business days.
Name
Anti-cGAS Antibody
Description
Rabbit polyclonal antibody to cGAS.
Applications
WB, IHC, ICC/IF
Dilutions
WB: 1:500-1:1,000, IHC: 1:50-1:200, ICC/IF: 1:50-1:200
Reactivity
Human, Mouse, Rat
Immunogen
Recombinant fusion protein containing a sequence corresponding to amino acids 400-522 of human cGAS (NP_612450.2).
Sequence
KEEKCCRKDCLKLMKYLLEQLKERFKDKKHLDKFSSYHVKTAFFHVCTQNPQDSQWDRKDLGLCFDNCVTYFLQCLRTEKLENYFIPEFNLFSSNLIDKRSKEFLTKQIEYERNNEFPVFDEF
Host
Rabbit
Clonality
Polyclonal
Isotype
IgG
Conjugate

Unconjugated

Purification
Affinity purification.
Concentration
Lot Specific
Molecular Weight
62 kDa
Product Form
Liquid
Formulation
Supplied in Phosphate Buffered Saline, pH 7.3, with 50% Glycerol and 0.02% Sodium Azide.
Storage
Shipped at 4°C. Upon delivery aliquot and store at -20°C. Avoid freeze/thaw cycles.
Synonyms
2'3'-cGAMP synthase, C6orf150, cGAMP synthase, Cyclic GMP-AMP synthase, Mab-21 domain-containing protein 1, MB21D1
Disclaimer
This product is for research use only. It is not intended for diagnostic or therapeutic use.
Publishing research using Anti-cGAS Antibody (A16161)? Please let us know so that we can list the citation on this page.

Alternative products to Anti-cGAS Antibody (A16161)

Proteins predicted to interact with cGAS

Predicted protein interactions based upon String database. Revelancy score correlates with probability of interaction.
99.1% Relevancy Score
98.8% Relevancy Score
92.2% Relevancy Score
92.1% Relevancy Score
91.3% Relevancy Score
91.3% Relevancy Score
89.9% Relevancy Score
89.2% Relevancy Score
87.3% Relevancy Score