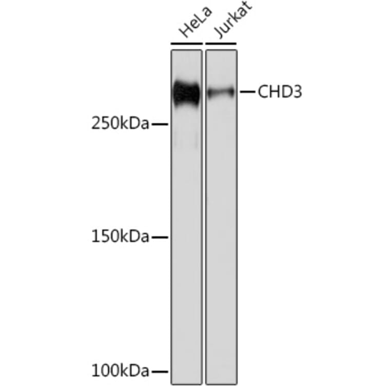
Western Blot - Anti-CHD3 Antibody [ARC1975] (A307446)
Western blot analysis of extracts of various cell lines, using Anti-CHD3 Antibody [ARC1975] (A307446) at 1:1,000 dilution. The secondary antibody was Goat Anti-Rabbit IgG H&L Antibody (HRP) at 1:10,000 dilution. Lysates/proteins were present at 25µg per lane. The blocking buffer used was 3% non-fat dry milk in TBST. Detection was with a ECL Basic Kit. Exposure time: 1s.
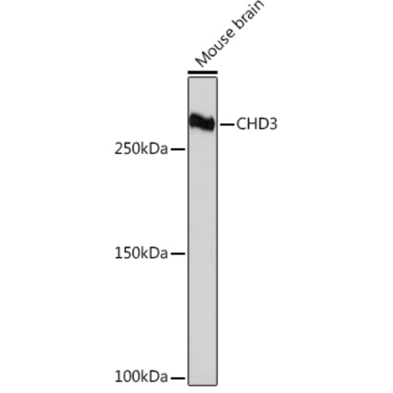
Western Blot - Anti-CHD3 Antibody [ARC1975] (A307446)
Western blot analysis of extracts of Mouse brain, using Anti-CHD3 Antibody [ARC1975] (A307446) at 1:1,000 dilution. The secondary antibody was Goat Anti-Rabbit IgG H&L Antibody (HRP) at 1:10,000 dilution. Lysates/proteins were present at 25µg per lane. The blocking buffer used was 3% non-fat dry milk in TBST. Detection was with a ECL Basic Kit. Exposure time: 3min.
Western Blot - Anti-CHD3 Antibody [ARC1975] (A307446)
Western blot analysis of extracts of Rat brain, using Anti-CHD3 Antibody [ARC1975] (A307446) at 1:1,000 dilution. The secondary antibody was Goat Anti-Rabbit IgG H&L Antibody (HRP) at 1:10,000 dilution. Lysates/proteins were present at 25µg per lane. The blocking buffer used was 3% non-fat dry milk in TBST. Detection was with a ECL Enhanced Kit (RM00021). Exposure time: 3min.
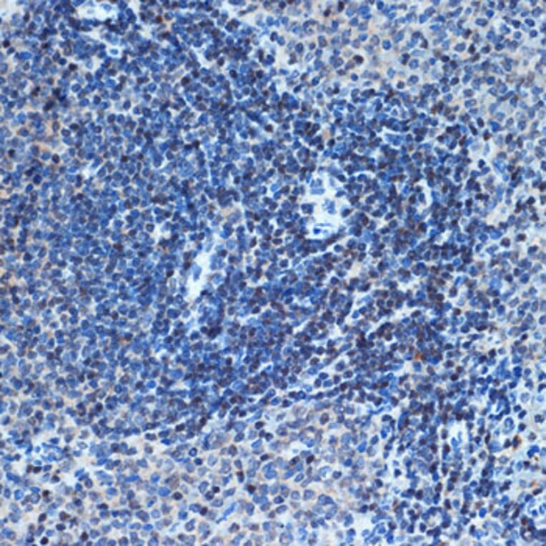
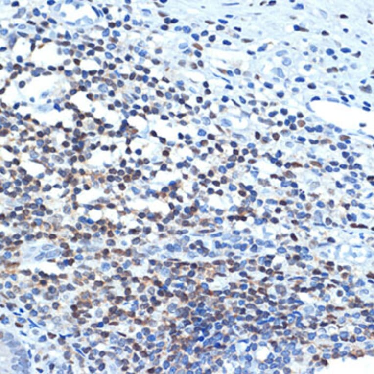
Immunohistochemistry analysis of paraffin-embedded rat spleen using Anti-CHD3 Antibody [ARC1975] (A307446) at a dilution of 1:100 (40x lens). Perform microwave antigen retrieval with 10 mM Tris/EDTA buffer pH 9.0 before commencing with IHC staining protocol.
Immunohistochemistry analysis of paraffin-embedded human appendix tissue using Anti-CHD3 Antibody [ARC1975] (A307446) at a dilution of 1:100 (40x lens). Perform microwave antigen retrieval with 10 mM Tris/EDTA buffer pH 9.0 before commencing with IHC staining protocol.
Immunohistochemistry analysis of paraffin-embedded mouse brain using Anti-CHD3 Antibody [ARC1975] (A307446) at a dilution of 1:100 (40x lens). Perform microwave antigen retrieval with 10 mM Tris/EDTA buffer pH 9.0 before commencing with IHC staining protocol.
Immunofluorescence analysis of NIH-3T3 cells using Anti-CHD3 Antibody [ARC1975] (A307446) at a dilution of 1:100 (40x lens). DAPI was used to stain the cell nuclei (blue).