Primary Antibodies
Secondary Antibodies
Proteins & Peptides
ELISA Kits
About Us
Contact Us
Sign In/Register
0
ISO 9001:2015 Certified
Live Customer Support
4.5/5 on Trustpilot
100% Quality Guarantee
Home
Primary Antibodies
CHD5 Antibodies
Anti-CHD5 Antibody (A46881)
Anti-CHD5 Antibody (A46881)
Overview
Specifications
Images
Enlarge Image
Enlarge Image
$430
Product Datasheet
Rabbit polyclonal antibody to CHD5 for IHC.
100% Guarantee
Price Match Guarantee
Product Size:
100µl
Quantity:
1
2
3
4
5
6
7
8
9
10
Add To Cart
Request a Quotation
Custom or Bulk Request
Shipping Information
Freight/Packing Charges:
$40
Dispatched from St. Louis, MO.
Lead Time: 6-9 business days.
Specifications
Name
Anti-CHD5 Antibody
Description
Rabbit polyclonal antibody to CHD5
Specificity
The antibody detects endogenous levels of total CHD5 protein.
Applications
IHC
Reactivity
Human
Immunogen
Synthetic peptide corresponding to residues near the C terminal of human Cadherin 5, type 2 (vascular endothelium)
Host
Rabbit
Clonality
Polyclonal
Conjugate
Unconjugated
Purification
Antigen affinity purification.
Concentration
1.5 mg/mL
Formulation
Supplied in PBS, pH 7.3, containing 0.05% sodium azide and 50% glycerol.
Storage
Shipped at 4°C. Upon delivery aliquot and store at -20°C. Avoid freeze/thaw cycles.
Synonyms
ATP-dependent helicase CHD5, CHD-5, Chromodomain-helicase-DNA-binding protein 5, KIAA0444
Suitable Secondaries
Goat Anti-Rabbit IgG H&L Antibody (AP) (A294874)
Goat Anti-Rabbit IgG H&L Antibody (Biotin) (A294795)
Goat Anti-Rabbit IgG H&L Antibody (FITC) (A294887)
Goat Anti-Rabbit IgG H&L Antibody (HRP) (A294888)
See all Anti-Rabbit IgG Secondaries →
Disclaimer
This product is for research use only. It is not intended for diagnostic or therapeutic use.
Scientific Validation Data
Validation Data
(2)
Enlarge Image
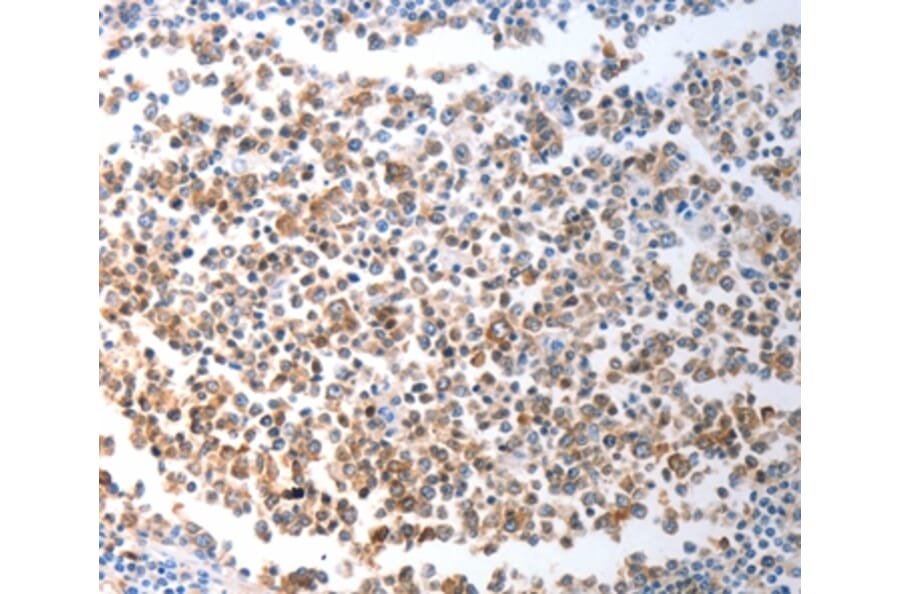
Immunohistochemistry - Anti-CHD5 Antibody (A46881)
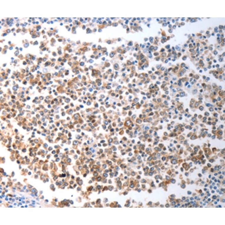
Immunohistochemical analysis of paraffin-embedded Human tonsil cancer tissue using #37208 at dilution 1/40.
Enlarge Image
Immunohistochemistry - Anti-CHD5 Antibody (A46881)
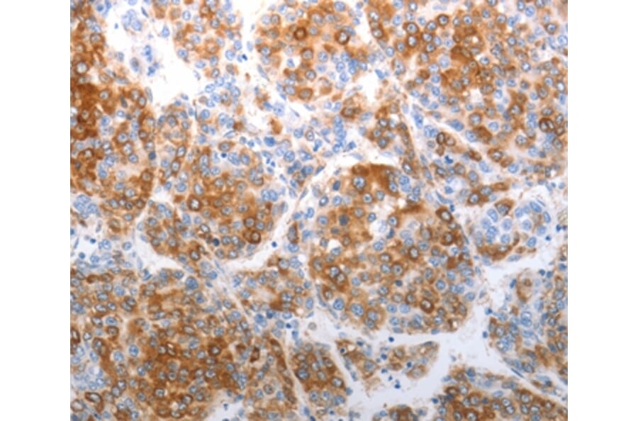
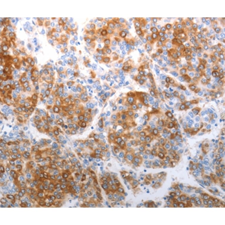
Immunohistochemical analysis of paraffin-embedded Human liver cancer tissue using #37208 at dilution 1/40.
Publishing research using Anti-CHD5 Antibody (A46881)? Please
let us know
so that we can list the citation on this page.
Alternative products to Anti-CHD5 Antibody (A46881)
(2)
A285975
Anti-CHD5 Antibody
Goat polyclonal antibody to CHD5 for ELISA, IF and Flow Cytometry.
(2)
A320276
Anti-CHD5 Antibody [5A10]
Rat monoclonal [5A10] antibody to CHD5 for IF and WB.
A29237
Anti-CHD5 Antibody
Rabbit polyclonal antibody to CHD5 for WB.
(2)
A285975
Anti-CHD5 Antibody
Goat polyclonal antibody to CHD5 for ELISA, IF and Flow Cytometry.
(2)
A320276
Anti-CHD5 Antibody [5A10]
Rat monoclonal [5A10] antibody to CHD5 for IF and WB.
A29237
Anti-CHD5 Antibody
Rabbit polyclonal antibody to CHD5 for WB.
Proteins predicted to interact with CHD5
Predicted protein interactions based upon String database. Revelancy score correlates with probability of interaction.
RbAp46 Antibodies
96.9% Relevancy Score
GATAD2A Antibodies
96.5% Relevancy Score
HDAC1 Antibodies
96.2% Relevancy Score
MTA1 Antibodies
95.9% Relevancy Score
GATAD2B Antibodies
95.5% Relevancy Score
MTA2 Antibodies
95.4% Relevancy Score
HDAC2 Antibodies
92.9% Relevancy Score
RBBP4 Antibodies
91.9% Relevancy Score
CHD4 Antibodies
89.7% Relevancy Score
Top