Primary Antibodies
Secondary Antibodies
Proteins & Peptides
ELISA Kits
About Us
Contact Us
Sign In/Register
0
ISO 9001:2015 Certified
Live Customer Support
4.5/5 on Trustpilot
100% Quality Guarantee
Home
Primary Antibodies
CHRDL2 Antibodies
Anti-CHRDL2 Antibody (A37290)
Anti-CHRDL2 Antibody (A37290)
Overview
Specifications
Images
Enlarge Image
Enlarge Image
$430
Product Datasheet
Rabbit polyclonal antibody to CHRDL2 for WB and IHC.
100% Guarantee
Price Match Guarantee
Product Size:
100µl
Quantity:
1
2
3
4
5
6
7
8
9
10
Add To Cart
Request a Quotation
Custom or Bulk Request
Shipping Information
Freight/Packing Charges:
$40
Dispatched from St. Louis, MO.
Lead Time: 6-9 business days.
Specifications
Name
Anti-CHRDL2 Antibody
Description
Rabbit polyclonal antibody to CHRDL2
Specificity
The antibody detects endogenous levels of total CHRDL2 protein.
Applications
WB
,
IHC
Reactivity
Human, Mouse
Immunogen
Synthetic peptide corresponding to a region derived from internal residues of human chordin-like 2
Host
Rabbit
Clonality
Polyclonal
Conjugate
Unconjugated
Purification
Antigen affinity purification.
Concentration
1.2 mg/mL
Formulation
Supplied in PBS, pH 7.3, containing 0.05% sodium azide and 50% glycerol.
Storage
Shipped at 4°C. Upon delivery aliquot and store at -20°C. Avoid freeze/thaw cycles.
Synonyms
BNF-1, BNF1, Breast tumor novel factor 1, CHL2, Chordin-like protein 2, Chordin-related protein 2
Suitable Secondaries
Goat Anti-Rabbit IgG H&L Antibody (AP) (A294874)
Goat Anti-Rabbit IgG H&L Antibody (Biotin) (A294795)
Goat Anti-Rabbit IgG H&L Antibody (FITC) (A294887)
Goat Anti-Rabbit IgG H&L Antibody (HRP) (A294888)
See all Anti-Rabbit IgG Secondaries →
Disclaimer
This product is for research use only. It is not intended for diagnostic or therapeutic use.
Scientific Validation Data
Validation Data
(2)
Enlarge Image
Anti-CHRDL2 Antibody (A37290)
Gel: 8% SDS-PAGE Lysates (from left to right): Human fetal brain tissue Amount of lysate: 40ug per lane Primary antibody: 1/600 dilution Secondary antibody dilution: 1/8000 Exposure time: 1 minute
Enlarge Image
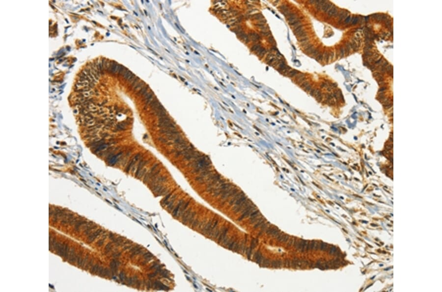
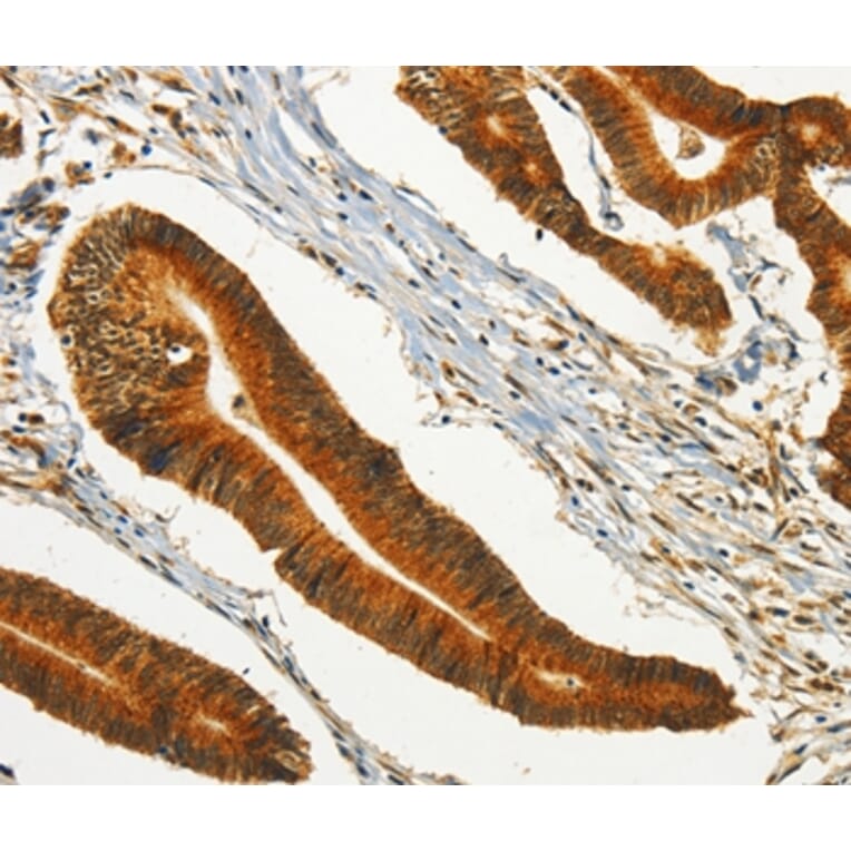
Immunohistochemistry - Anti-CHRDL2 Antibody (A37290)
Immunohistochemical analysis of paraffin-embedded Human colon cancer tissue using #37486 at dilution 1/30.
Publishing research using Anti-CHRDL2 Antibody (A37290)? Please
let us know
so that we can list the citation on this page.
Proteins predicted to interact with CHRDL2
Predicted protein interactions based upon String database. Revelancy score correlates with probability of interaction.
TWSG1 Antibodies
82% Relevancy Score
GDF 5 Antibodies
74.5% Relevancy Score
BMP7 Antibodies
72.8% Relevancy Score
BMP5 Antibodies
69.3% Relevancy Score
ENPEP Antibodies
67.7% Relevancy Score
BMP2 Antibodies
66.1% Relevancy Score
BMP6 Antibodies
61% Relevancy Score
CD13 Antibodies
56.3% Relevancy Score
BMPR1A Antibodies
56.3% Relevancy Score
Top