ISO 9001:2015 Certified
Live Customer Support
4.5/5 on Trustpilot
100% Quality Guarantee

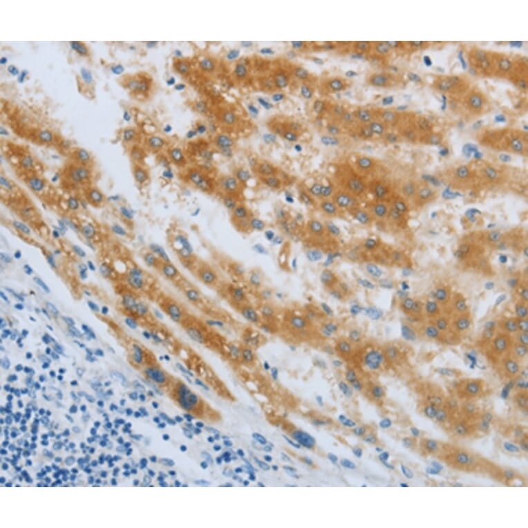
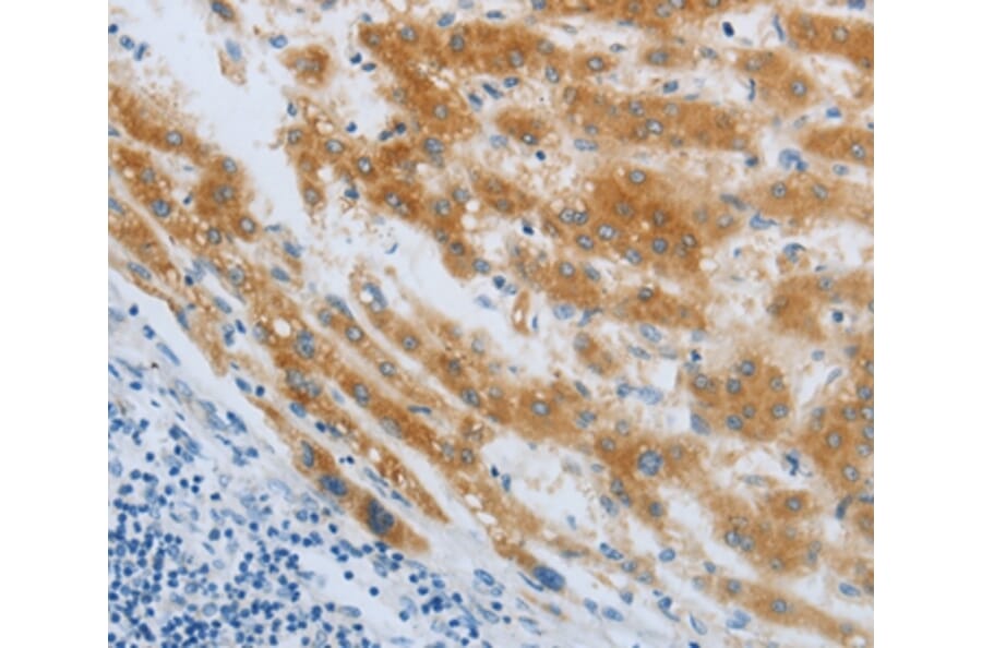
Anti-CHRFAM7A Antibody (A36718)

Rabbit polyclonal antibody to CHRFAM7A for WB and IHC.

Shipping Information

$40
Dispatched from St. Louis, MO.
Lead Time: 6-9 business days.
Name
Anti-CHRFAM7A Antibody
Description
Rabbit polyclonal antibody to CHRFAM7A
Specificity
The antibody detects endogenous levels of total CHRFAM7A protein.
Applications
WB, IHC
Reactivity
Human, Mouse
Immunogen
Synthetic peptide corresponding to a region derived from internal residues of human CHRNA7 (cholinergic receptor, nicotinic, alpha 7, exons 5-10) and FAM7A (family with sequence similarity 7A, exons A-E) fusion
Host
Rabbit
Clonality
Polyclonal
Conjugate

Unconjugated

Purification
Antigen affinity purification.
Concentration
1.4 mg/mL
Formulation
Supplied in PBS, pH 7.3, containing 0.05% sodium azide and 50% glycerol.
Storage
Shipped at 4°C. Upon delivery aliquot and store at -20°C. Avoid freeze/thaw cycles.
Synonyms
CHRNA7-DR1, CHRNA7-FAM7A fusion protein, D-10
Disclaimer
This product is for research use only. It is not intended for diagnostic or therapeutic use.
Publishing research using Anti-CHRFAM7A Antibody (A36718)? Please let us know so that we can list the citation on this page.

Alternative products to Anti-CHRFAM7A Antibody (A36718)

Proteins predicted to interact with CHRFAM7A

Predicted protein interactions based upon String database. Revelancy score correlates with probability of interaction.
70.1% Relevancy Score
68.6% Relevancy Score
59.9% Relevancy Score
58.9% Relevancy Score
58.2% Relevancy Score
58% Relevancy Score