Western Blot - Anti-Chromogranin A Antibody [ARC1643] (A307702)
Western blot analysis of extracts of various cell lines, using Anti-Chromogranin A Antibody [ARC1643] (A307702) at 1:1,000 dilution. The secondary antibody was Goat Anti-Rabbit IgG H&L Antibody (HRP) at 1:10,000 dilution. Lysates/proteins were present at 25µg per lane. The blocking buffer used was 3% non-fat dry milk in TBST. Detection was with a ECL Enhanced Kit (RM00021). Exposure time: 180s.
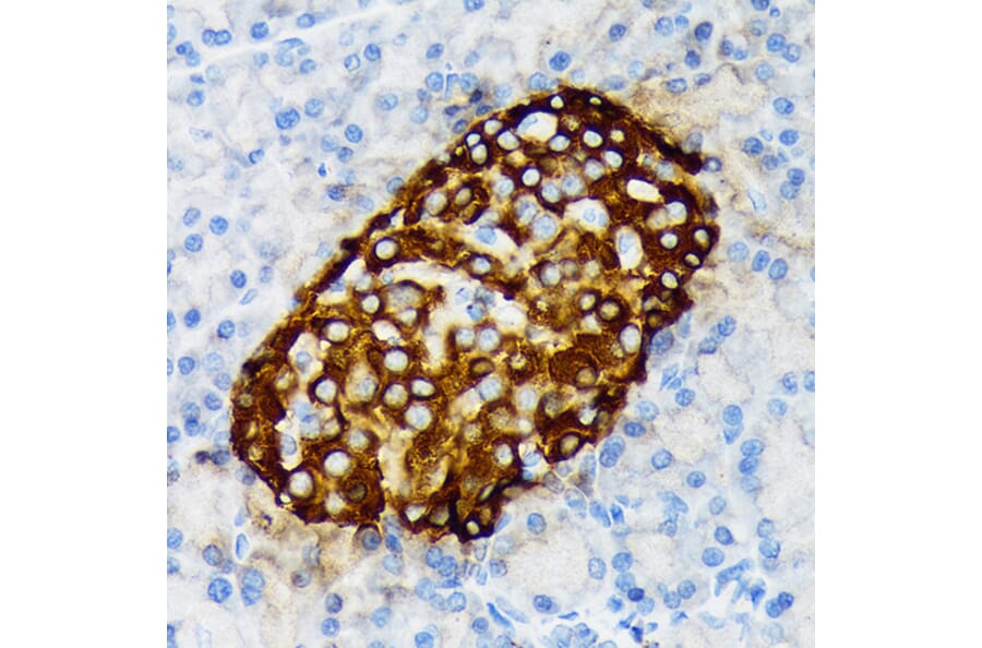
Immunohistochemistry - Anti-Chromogranin A Antibody [ARC1643] (A307702)
Immunohistochemistry analysis of paraffin-embedded rat pancreatic islet using Anti-Chromogranin A Antibody [ARC1643] (A307702) at a dilution of 1:100 (40x lens). Perform microwave antigen retrieval with 10 mM Tris/EDTA buffer pH 9.0 before commencing with IHC staining protocol.
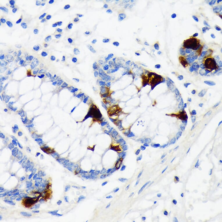
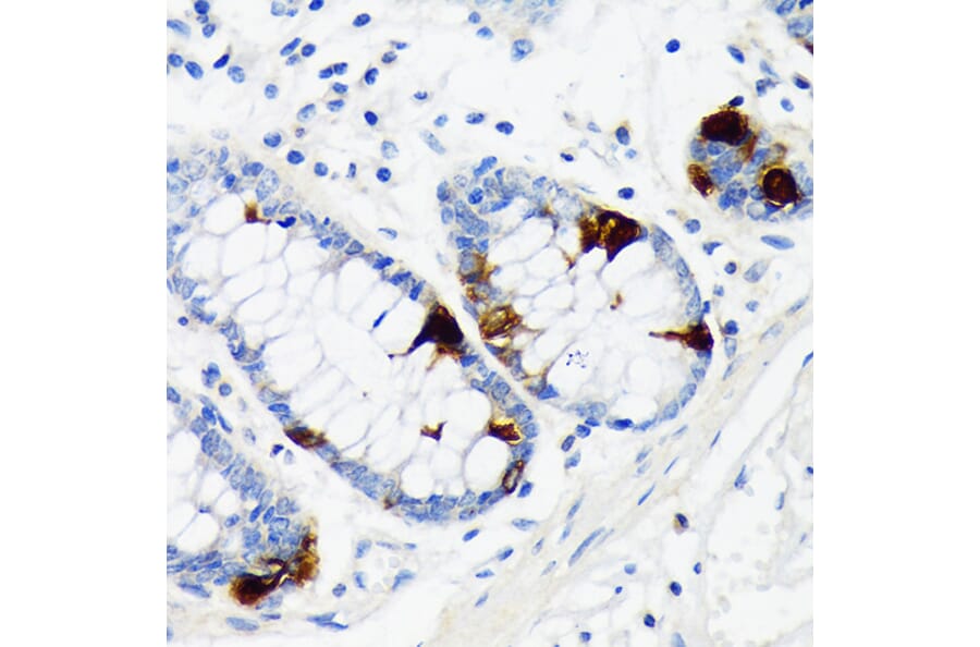
Immunohistochemistry - Anti-Chromogranin A Antibody [ARC1643] (A307702)
Immunohistochemistry analysis of paraffin-embedded human colon tissue using Anti-Chromogranin A Antibody [ARC1643] (A307702) at a dilution of 1:100 (40x lens). Perform microwave antigen retrieval with 10 mM Tris/EDTA buffer pH 9.0 before commencing with IHC staining protocol.
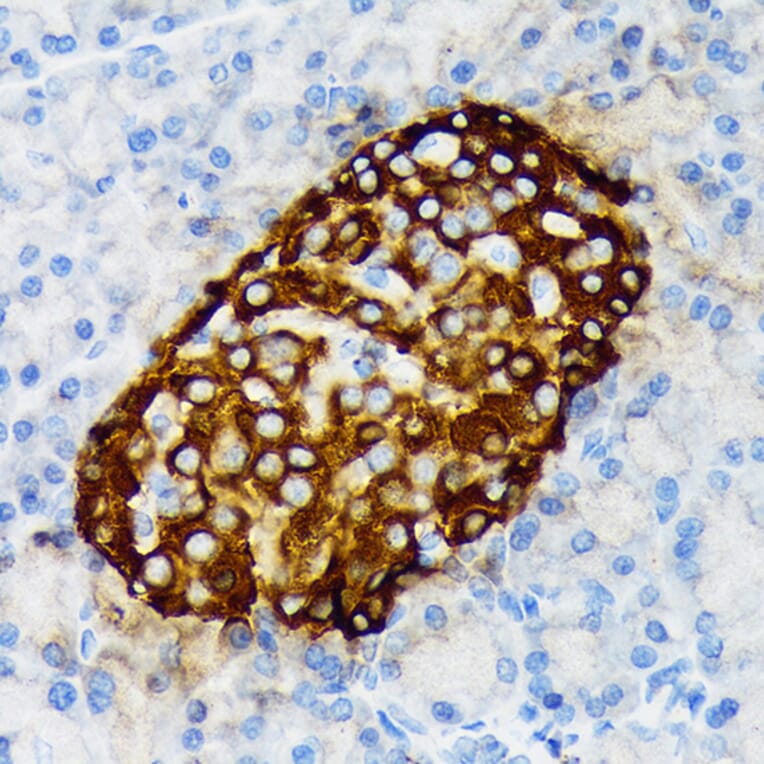
Immunohistochemistry - Anti-Chromogranin A Antibody [ARC1643] (A307702)
Immunohistochemistry analysis of paraffin-embedded mouse pancreatic islet using Anti-Chromogranin A Antibody [ARC1643] (A307702) at a dilution of 1:100 (40x lens). Perform microwave antigen retrieval with 10 mM Tris/EDTA buffer pH 9.0 before commencing with IHC staining protocol.
Immunofluorescence - Anti-Chromogranin A Antibody [ARC1643] (A307702)
Immunofluorescence analysis of rat pancreas using Anti-Chromogranin A Antibody [ARC1643] (A307702) at a dilution of 1:100 (40x lens). DAPI was used to stain the cell nuclei (blue).
Immunofluorescence - Anti-Chromogranin A Antibody [ARC1643] (A307702)
Immunofluorescence analysis of mouse pancreas using Anti-Chromogranin A Antibody [ARC1643] (A307702) at a dilution of 1:100 (40x lens). DAPI was used to stain the cell nuclei (blue).