ISO 9001:2015 Certified
Live Customer Support
4.5/5 on Trustpilot
100% Quality Guarantee

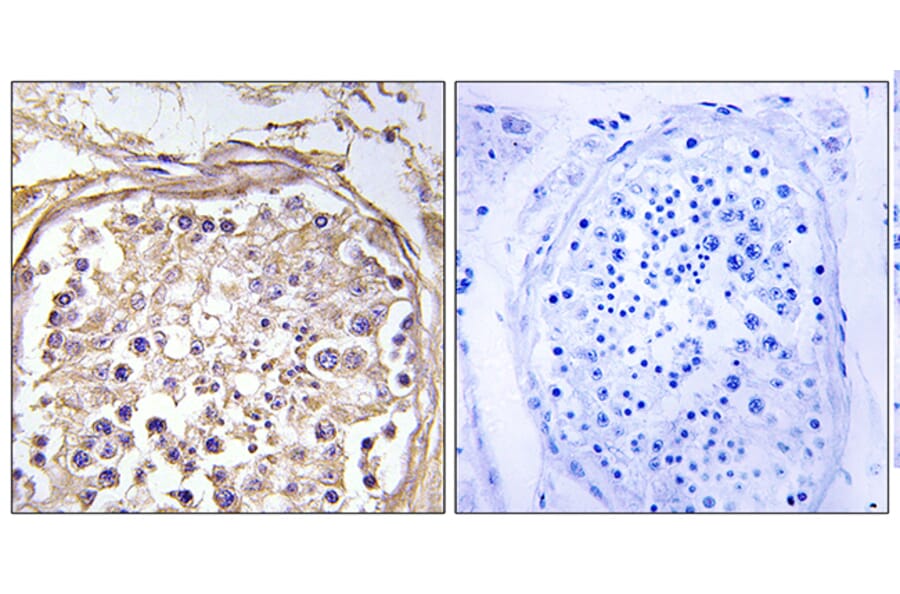
Anti-CHST9 Antibody (A97635)

Rabbit polyclonal antibody to CHST9 for IHC, IF and ELISA.

Shipping Information

$40
Dispatched from St. Louis, MO.
Lead Time: 6-8 business days.
Name
Anti-CHST9 Antibody
Description
Rabbit polyclonal antibody to CHST9.
Applications
IHC, IF, ELISA
Dilutions
IHC: 1:50~1:100, IF: 1:100~1:500, ELISA: 1:20000
Reactivity
Human, Mouse
Cross Reactivity
No reported cross-reactivity.
Immunogen
Synthetic peptide derived from human CHST9 (amino acids 361-410).
Host
Rabbit
Clonality
Polyclonal
Isotype
IgG
Conjugate

Unconjugated

Purification
Purified from rabbit serum by antigen affinity chromatography using the immunizing peptide.
Molecular Weight
51kDa
Product Form
Liquid
Formulation
Supplied in Phosphate Buffered Saline (without Mg2+ and Ca2+), pH 7.4, with 150mM NaCl, 0.02% Sodium Azide, and 50% Glycerol.
Storage
Shipped at 4°C. Upon delivery aliquot and store at -20°C. Avoid freeze / thaw cycles.
Synonyms
Carbohydrate sulfotransferase 9, GalNAc-4-O-sulfotransferase 2, GalNAc-4-ST2, GalNAc4ST-2, N-acetylgalactosamine-4-O-sulfotransferase 2
Disclaimer
This product is for research use only. It is not intended for diagnostic or therapeutic use.
Publishing research using Anti-CHST9 Antibody (A97635)? Please let us know so that we can list the citation on this page.

Proteins predicted to interact with CHST9

Predicted protein interactions based upon String database. Revelancy score correlates with probability of interaction.
86% Relevancy Score
62.5% Relevancy Score
53.8% Relevancy Score
48.7% Relevancy Score
48.5% Relevancy Score
43.8% Relevancy Score
43.6% Relevancy Score
43.1% Relevancy Score
42.9% Relevancy Score