ISO 9001:2015 Certified
Live Customer Support
4.5/5 on Trustpilot
100% Quality Guarantee

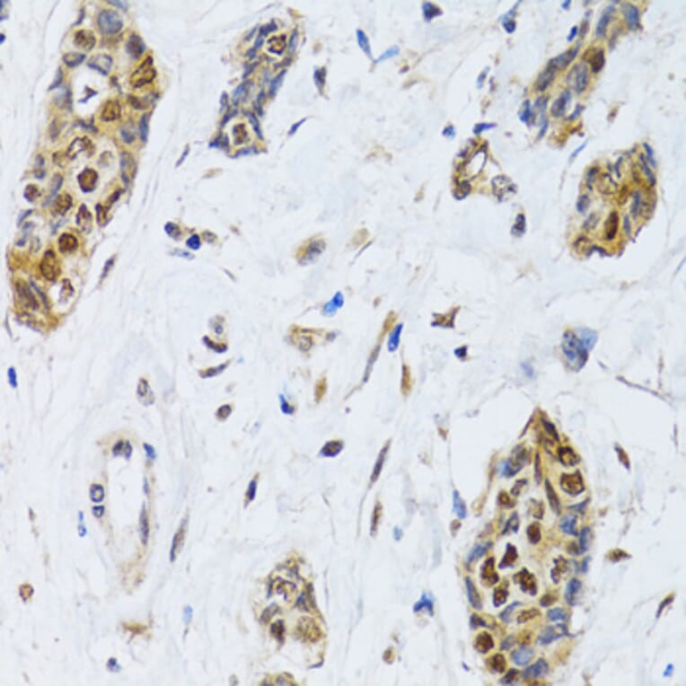
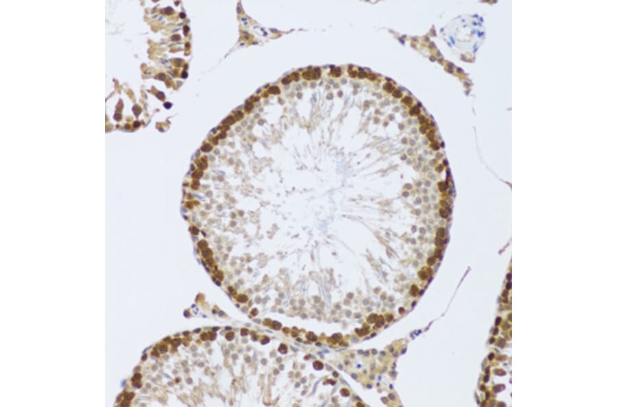
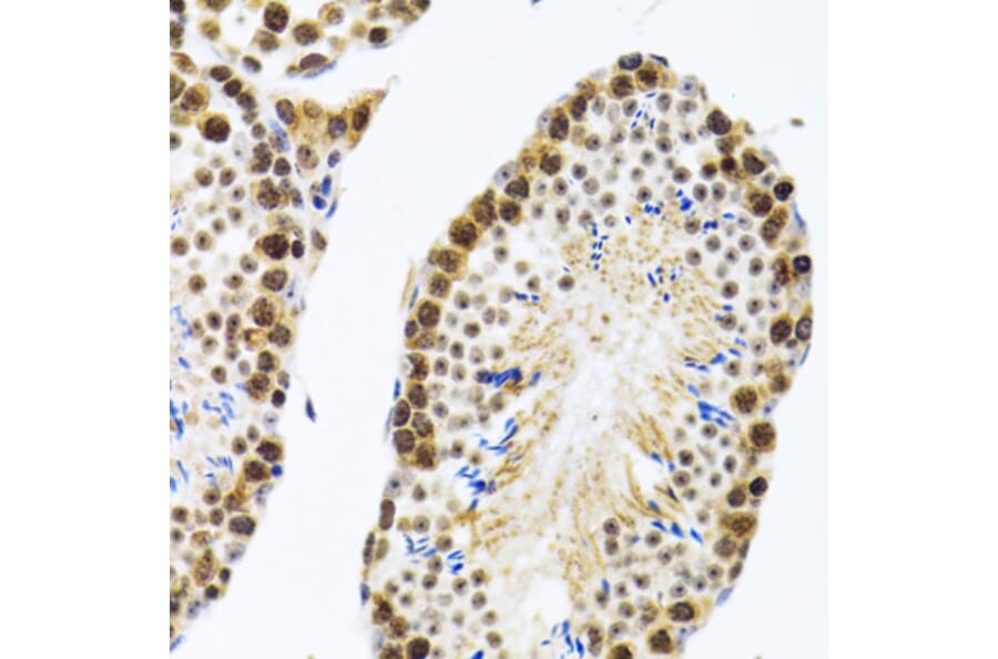
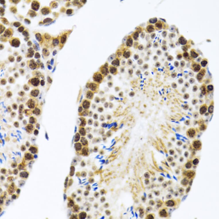
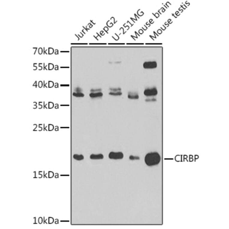
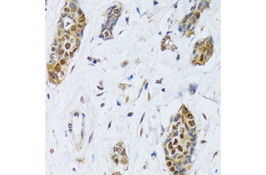
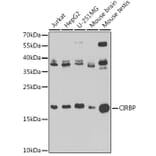
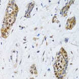
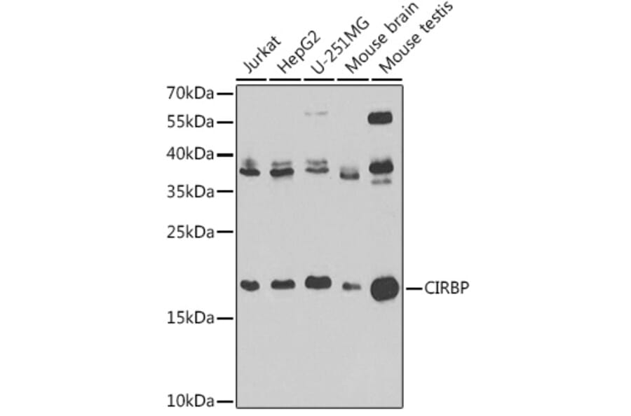
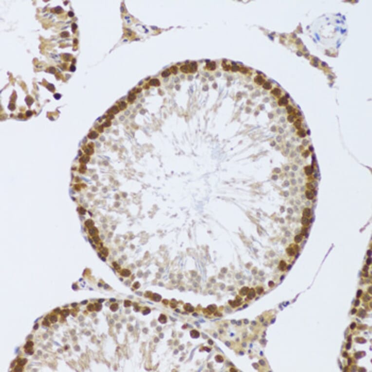
Anti-CIRP Antibody (A15277)

Rabbit polyclonal antibody to CIRP for WB, IHC and ICC/IF.

Shipping Information

$40
Dispatched from St. Louis, MO.
Lead Time: 7-10 business days.
Name
Anti-CIRP Antibody
Description
Rabbit polyclonal antibody to CIRP.
Applications
WB, IHC, ICC/IF
Dilutions
WB: 1:500-1:1,000, IHC: 1:50-1:100, ICC/IF: 1:10-1:100
Reactivity
Human, Mouse, Rat
Immunogen
Recombinant fusion protein containing a sequence corresponding to amino acids 1-172 of human CIRBP (NP_001271.1).
Sequence
MASDEGKLFVGGLSFDTNEQSLEQVFSKYGQISEVVVVKDRETQRSRGFGFVTFENIDDAKDAMMAMNGKSVDGRQIRVDQAGKSSDNRSRGYRGGSAGGRGFFRGGRGRGRGFSRGGGDRGYGGNRFESRSGGYGGSRDYYSSRSQSGGYSDRSSGGSYRDSYDSYATHNE
Host
Rabbit
Clonality
Polyclonal
Isotype
IgG
Conjugate

Unconjugated

Purification
Affinity purification.
Concentration
Lot Specific
Molecular Weight
18 kDa
Product Form
Liquid
Formulation
Supplied in Phosphate Buffered Saline, pH 7.3, with 50% Glycerol and 0.02% Sodium Azide.
Storage
Shipped at 4°C. Upon delivery aliquot and store at -20°C. Avoid freeze/thaw cycles.
Synonyms
A18 hnRNP, A18HNRNP, Cold-inducible RNA-binding protein, Glycine-rich RNA-binding protein CIRP
Disclaimer
This product is for research use only. It is not intended for diagnostic or therapeutic use.
Publishing research using Anti-CIRP Antibody (A15277)? Please let us know so that we can list the citation on this page.

Alternative products to Anti-CIRP Antibody (A15277)

Proteins predicted to interact with CIRBP

Predicted protein interactions based upon String database. Revelancy score correlates with probability of interaction.
88% Relevancy Score
85.4% Relevancy Score
82.9% Relevancy Score
76.8% Relevancy Score
72.6% Relevancy Score
67% Relevancy Score
65.6% Relevancy Score
60.8% Relevancy Score
59.1% Relevancy Score