Notice: Error: The total number of locks exceeds the lock table size
Error No: 1206
INSERT INTO oc_analytics set ip = '', agent = 'Mozilla/5.0 AppleWebKit/537.36 (KHTML, like Gecko; compatible; ClaudeBot/1.0; +claudebot@anthropic.com)', url = '/catalog/primary-antibodies/cki-epsilon-antibody-a95061', route = 'product/product', port = '62345', country_code ='US', country_name='United States', city='Columbus', organisation='', referrer='', adflag='N', adcampaign='', adurl='', product_id='95061' in D:\wwwroot_antibodies\system\library\db\mysqli.php on line 42 Anti-CKI-epsilon Antibody (A95061) | Antibodies.com
ISO 9001:2015 Certified
Live Customer Support
4.5/5 on Trustpilot
100% Quality Guarantee

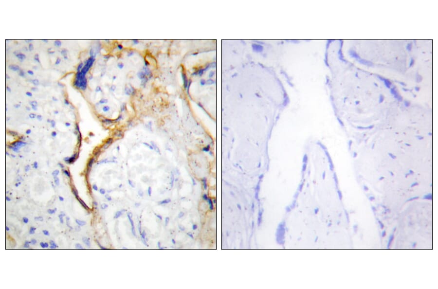
Anti-CKI-epsilon Antibody (A95061)

Rabbit polyclonal antibody to CKI-epsilon for WB, IHC, IF and ELISA.

Shipping Information

$40
Dispatched from St. Louis, MO.
Lead Time: 6-8 business days.
Name
Anti-CKI-epsilon Antibody
Description
Rabbit polyclonal antibody to CKI-epsilon.
Applications
WB, IHC, IF, ELISA
Dilutions
WB: 1:500-1:1000, IHC: 1:50-1:100, IF: 1:100-1:500, ELISA: 1:20000
Reactivity
Human, Mouse
Immunogen
Synthetic peptide derived from human CKI-epsilon (amino acids 276-325).
Host
Rabbit
Clonality
Polyclonal
Isotype
IgG
Conjugate

Unconjugated

Purification
Purified from rabbit serum by antigen affinity chromatography using the immunizing peptide.
Molecular Weight
47kDa
Product Form
Liquid
Formulation
Supplied in Phosphate Buffered Saline (without Mg2+ and Ca2+), pH 7.4, with 150mM NaCl, 0.02% Sodium Azide, and 50% Glycerol.
Storage
Shipped at 4°C. Upon delivery aliquot and store at -20°C. Avoid freeze / thaw cycles.
Synonyms
Casein kinase 1 epsilon, Casein kinase I, Casein kinase I epsilon, Casein kinase I isoform epsilon, CKI epsilon, CKI-epsilon, CKIe, CKIepsilon, CSNK 1E, CSNK1E, DBT, Doubletime, Drosophila, homolog of, EC 2.7.11.1, epsilon isoform, HCK IE, KC1E, KC1E_HUMAN, kinase CK1 epsilon, MGC 10398
Disclaimer
This product is for research use only. It is not intended for diagnostic or therapeutic use.
Publishing research using Anti-CKI-epsilon Antibody (A95061)? Please let us know so that we can list the citation on this page.

Alternative products to Anti-CKI-epsilon Antibody (A95061)