Supplied in Phosphate Buffered Saline, pH 7.3, with 50% Glycerol, 0.05% BSA, and 0.02% Sodium Azide.
Storage
Shipped at 4°C. Upon delivery aliquot and store at -20°C. Avoid freeze/thaw cycles.
Synonyms
Clathrin heavy chain 1, Clathrin heavy chain 2, Clathrin heavy chain on chromosome 17, Clathrin heavy chain on chromosome 22, CLH-17, CLH-22, CLH17, CLH22, CLTC, CLTCL, CLTCL1, CLTCL2, CLTD, KIAA0034
Western Blot - Anti-Clathrin heavy chain Antibody [ARC1228] (A308642)
Western blot analysis of extracts of various cell lines, using Anti-Clathrin heavy chain Antibody [ARC1228] (A308642) at 1:1,000 dilution. The secondary antibody was Goat Anti-Rabbit IgG H&L Antibody (HRP) at 1:10,000 dilution. Lysates/proteins were present at 25µg per lane. The blocking buffer used was 3% non-fat dry milk in TBST. Detection was with a ECL Basic Kit. Exposure time: 10s.
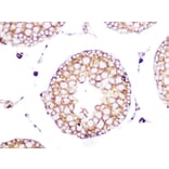
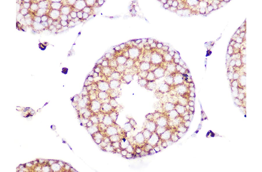
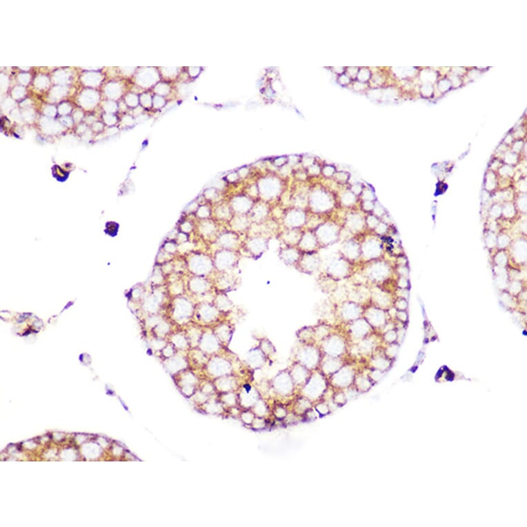
Immunohistochemistry - Anti-Clathrin heavy chain Antibody [ARC1228] (A308642)
Immunohistochemistry analysis of paraffin-embedded rat testis using Anti-Clathrin heavy chain Antibody [ARC1228] (A308642) at a dilution of 1:100 (40x lens). Perform microwave antigen retrieval with 10 mM Tris/EDTA buffer pH 9.0 before commencing with IHC staining protocol.
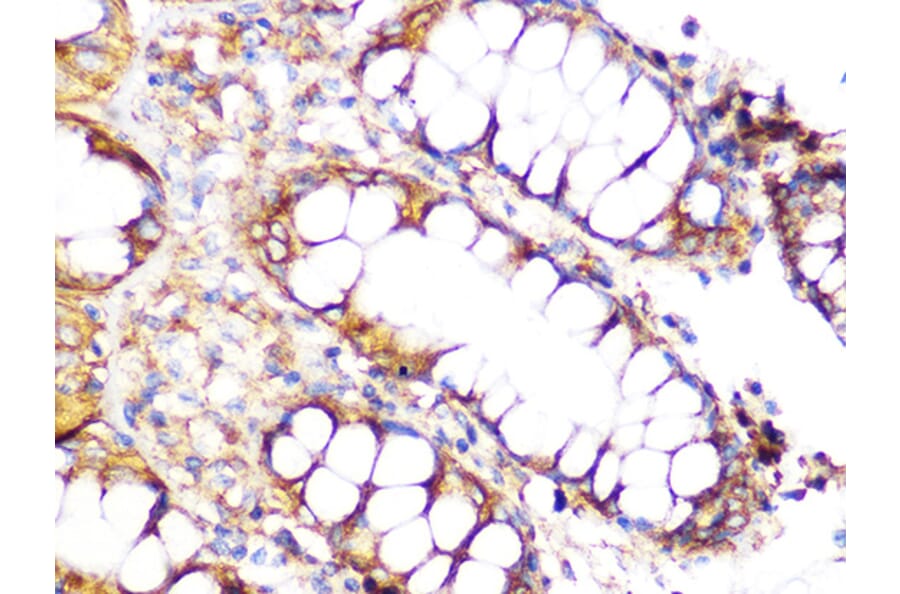
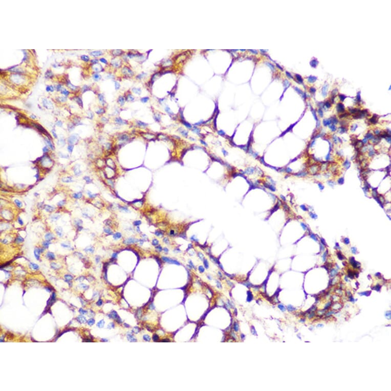
Immunohistochemistry - Anti-Clathrin heavy chain Antibody [ARC1228] (A308642)
Immunohistochemistry analysis of paraffin-embedded human colon tissue using Anti-Clathrin heavy chain Antibody [ARC1228] (A308642) at a dilution of 1:100 (40x lens). Perform microwave antigen retrieval with 10 mM Tris/EDTA buffer pH 9.0 before commencing with IHC staining protocol.
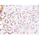
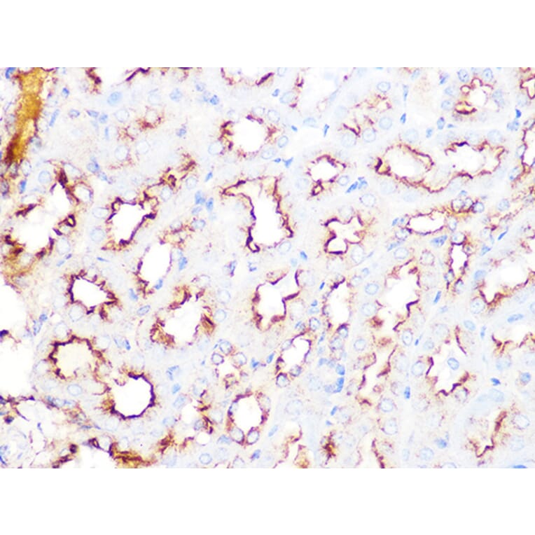
Immunohistochemistry - Anti-Clathrin heavy chain Antibody [ARC1228] (A308642)
Immunohistochemistry analysis of paraffin-embedded mouse kidney using Anti-Clathrin heavy chain Antibody [ARC1228] (A308642) at a dilution of 1:100 (40x lens). Perform microwave antigen retrieval with 10 mM Tris/EDTA buffer pH 9.0 before commencing with IHC staining protocol.
Immunofluorescence - Anti-Clathrin heavy chain Antibody [ARC1228] (A308642)
Confocal imaging of HeLa cells using Anti-Clathrin heavy chain Antibody [ARC1228] (A308642), at a dilution of 1:100, (red). The cells were counterstained with Anti-alpha Tubulin Antibody, at a dilution of 1:100, (green). DAPI was used for nuclear staining (Blue). Objective: 60x.
Western Blot - Anti-Clathrin heavy chain Antibody [ARC1228] (A308642)
Immunoprecipitation analysis of 300µg extracts of NIH/3T3 cells using 3µg of Anti-Clathrin heavy chain Antibody [ARC1228] (A308642). This Western blot was performed on the immunoprecipitate using Anti-Clathrin heavy chain Antibody [ARC1228] (A308642) at a dilution of 1:1000.