ISO 9001:2015 Certified
Live Customer Support
4.5/5 on Trustpilot
100% Quality Guarantee

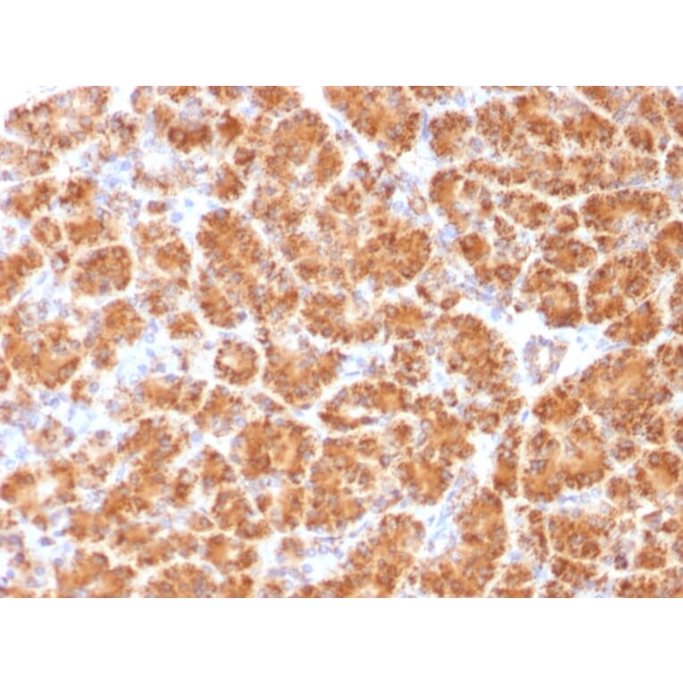
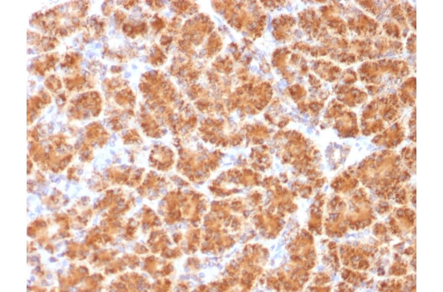
Anti-Clathrin Light Chain Antibody [CLC/1421] (A248225)

Mouse monoclonal [CLC/1421] antibody to Clathrin Light Chain for IHC-P.

Alternative Formats and ConjugatesAlternative Formats

Shipping Information

$40
Dispatched from St. Louis, MO.
Lead Time: 5-8 business days.
Name
Anti-Clathrin Light Chain Antibody [CLC/1421]
Description
Mouse monoclonal [CLC/1421] antibody to Clathrin Light Chain.
Specificity
This antibody recognizes proteins of 31-44kDa, which are identified as Clathrin Light Chains (both A B). Clathrin is composed of three heavy chains and three light chains, which associate non-covalently to form a triskelion structure. Clathrin light chain regulates the self-assembly of triskelions onto intracellular membranes. Clathrin light chain subunits (LCA and LCB) contribute to regulation of coated vesicle formation to sort proteins during receptor-mediated endocytosis and organelle biogenesis. LCA and LCB are encoded by two discrete genes. They share only 60% homology, and have certain features in common. Both LCA and LCB undergo alternative mRNA splicing, which results in the generation of tissue-specific isoforms.
Applications
IHC-P
Dilutions
IHC-P: 1-2 µg/ml
Reactivity
Human
Immunogen
Recombinant N terminal fragment of human Clathrin Light Chain.
Host
Mouse
Clonality
Monoclonal
Clone ID
CLC/1421
Isotype
IgG2b
Light Chains
kappa
Conjugate

Unconjugated

Purification
Protein A/G chromatography.
Concentration
200 µg/ml
Molecular Weight
31-44 kDa
Product Form
Liquid
Formulation
Supplied in 10mM Phosphate Buffered Saline with 0.05% BSA and 0.05% Sodium Azide.
Storage
Shipped at 4°C. Upon delivery aliquot and store at -20°C. Avoid freeze / thaw cycles.
General Notes
This monoclonal antibody is also available in a different formulation without BSA and Sodium Azide - Anti-Clathrin Light Chain Antibody [CLC/1421] - BSA and Azide free (A251408).
Synonyms
Clathrin light chain A, Clathrin light chain B, Clathrin light chain LCA, Clathrin light chain LCB, Clathrin light polypeptide, Clathrin light polypeptide A, Clathrin light polypeptide B, Clathrin light polypeptide LCA, Clathrin light polypeptide LCB, Clathrin, light chain (Lcb), Clathrin, light polypeptide (Lca), Clathrin, light polypeptide (Lcb), CLCA_HUMAN, CLTA, CLTB, Lca, LCB
Disclaimer
This product is for research use only. It is not intended for diagnostic or therapeutic use.
Publishing research using Anti-Clathrin Light Chain Antibody [CLC/1421] (A248225)? Please let us know so that we can list the citation on this page.

Alternative products to Anti-Clathrin Light Chain Antibody [CLC/1421] (A248225)