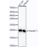
Western Blot - Anti-Claudin 1 Antibody [ARC54475] (A305830)
Western blot analysis of extracts of various cell lines, using Anti-Claudin 1 Antibody (A305830) at 1:2,000 dilution. The secondary antibody was Goat Anti-Rabbit IgG H&L Antibody (HRP) at 1:10,000 dilution. Lysates/proteins were present at 25µg per lane. The blocking buffer used was 3% non-fat dry milk in TBST. Detection was with a ECL Basic Kit. Exposure time: 1s.
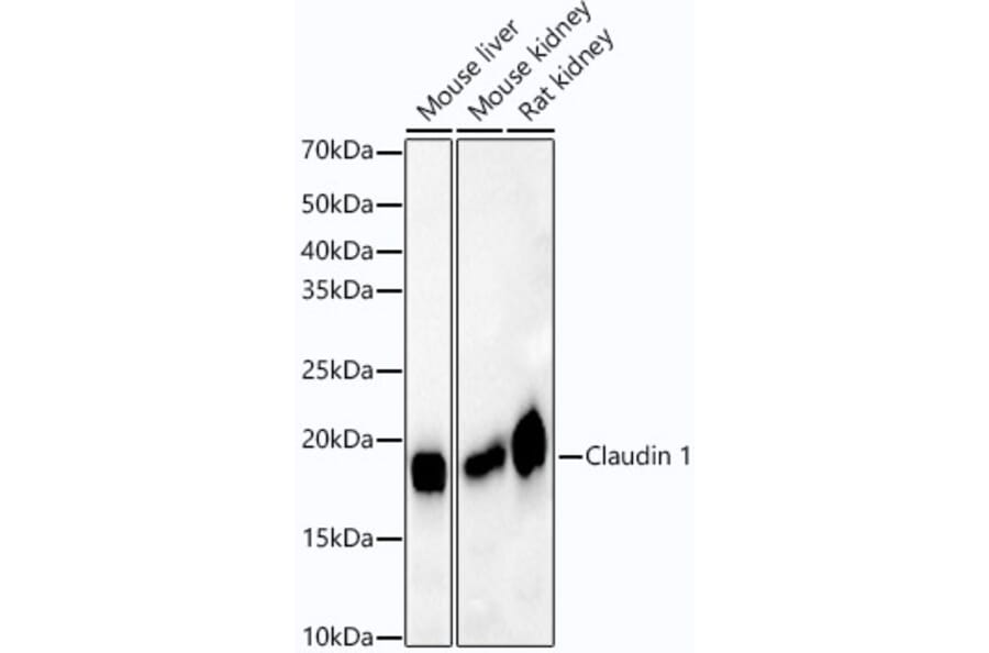
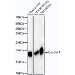
Western Blot - Anti-Claudin 1 Antibody [ARC54475] (A305830)
Western blot analysis of extracts of various cell lines, using Anti-Claudin 1 Antibody (A305830) at 1:2,000 dilution. The secondary antibody was Goat Anti-Rabbit IgG H&L Antibody (HRP) at 1:10,000 dilution. Lysates/proteins were present at 25µg per lane. The blocking buffer used was 3% non-fat dry milk in TBST. Detection was with a ECL Basic Kit. Exposure time: 30s.
Immunofluorescence analysis of HepG2 using Anti-Claudin 1 Antibody (A305830) at a dilution of 1:100(40x lens). DAPI was used to stain the cell nuclei (blue).
Publishing research using Anti-Claudin 1 Antibody [ARC54475] (A305830)? Please let us know so that we can list the citation on this page.
Alternative products to Anti-Claudin 1 Antibody [ARC54475] (A305830)
Recombinant human monoclonal antibody to Claudin 1 for use as a research grade Lixudebart biosimilar for ELISA, Flow Cytometry, Functional Studies and in vivo Research.
Recombinant human monoclonal antibody to Claudin-1 for use as a research grade Anti-Human CLDN1 [ALE for ELISA, Flow Cytometry, Functional Studies and in vivo Research.
Recombinant human monoclonal antibody to Claudin 1 for use as a research grade eclutatug biosimilar for ELISA, Flow Cytometry, Functional Studies and in vivo Research.
Recombinant human monoclonal antibody to Claudin 1 for use as a research grade Lixudebart biosimilar for ELISA, Flow Cytometry, Functional Studies and in vivo Research.
Recombinant human monoclonal antibody to Claudin-1 for use as a research grade Anti-Human CLDN1 [ALE for ELISA, Flow Cytometry, Functional Studies and in vivo Research.
Recombinant human monoclonal antibody to Claudin 1 for use as a research grade eclutatug biosimilar for ELISA, Flow Cytometry, Functional Studies and in vivo Research.