ISO 9001:2015 Certified
Live Customer Support
4.5/5 on Trustpilot
100% Quality Guarantee

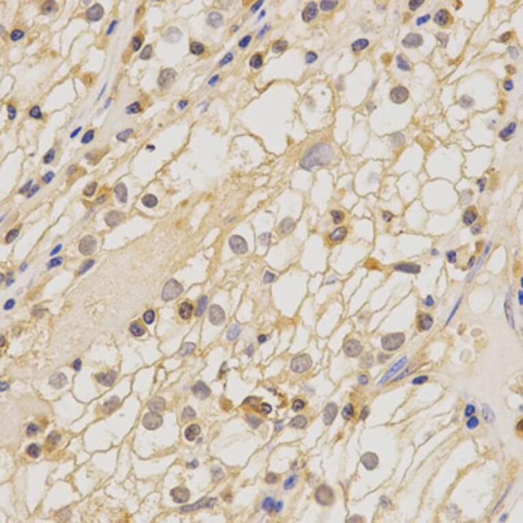
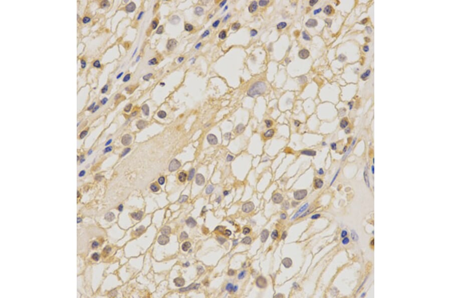
Anti-Claudin-11 Antibody (A30230)

$435

Rabbit polyclonal antibody to Claudin-11 for WB, IHC and IF.

Shipping Information

$40
Dispatched from St. Louis, MO.
Lead Time: 7-10 business days.
Name
Anti-Claudin-11 Antibody
Description
Rabbit polyclonal antibody to Claudin-11
Specificity
Claudin-11 pAb detects endogenous levels of Claudin-11 protein.
Applications
WB, IHC, IF
Reactivity
Human, Mouse, Rat
Immunogen
Recombinant full length Human Claudin-11.
Host
Rabbit
Clonality
Polyclonal
Conjugate

Unconjugated

Molecular Weight
~ 24 kDa
Purity
The antibody was affinity-purified from rabbit antiserum by affinity-chromatography using epitope-specific immunogen and the purity is > 95% (by SDS-PAGE).
Product Form
1mg/ml in PBS with 0.1% Sodium Azide, 50% Glycerol.
Synonyms
CLDN11, Oligodendrocyte-specific protein, OSP, OTM
Disclaimer
This product is for research use only. It is not intended for diagnostic or therapeutic use.
Publishing research using Anti-Claudin-11 Antibody (A30230)? Please let us know so that we can list the citation on this page.

Alternative products to Anti-Claudin-11 Antibody (A30230)

Proteins predicted to interact with Claudin-11

Predicted protein interactions based upon String database. Revelancy score correlates with probability of interaction.
98.1% Relevancy Score
95.8% Relevancy Score
87.2% Relevancy Score
85.6% Relevancy Score
84.3% Relevancy Score
81.8% Relevancy Score
81.3% Relevancy Score
78.5% Relevancy Score
76.9% Relevancy Score